HomeVeterinaryCum abordez... Pacientul canin cu enzime hepatice în afara limitelor normale

Cum abordez... Pacientul canin cu enzime hepatice în afara limitelor normale

Articol semnat de Jordi Puig

Valorile crescute ale enzimelor hepatice la analizele biochimice de rutină sunt la ordinea zilei în clinica veterinară. Jordi Puig discută modul în care decide dacă astfel de rezultate sunt semnificative sau nu

Article

Reading time5 - 15 min
Cum abordez... Pacientul canin cu enzime hepatice în afara limitelor normale

Puncte cheie

Group 15 1

Nivelurile enzimelor hepatice nu sunt un indicator al funcției hepatice; pentru aceasta, este necesară evaluarea parametrilor care reflectă capacitatea ficatului de a sintetiza și/sau de a excreta anumiți compuși, cum ar fi acizii biliari.

Group 15 2

n majoritatea cazurilor, un singur rezultat nu furnizează informații suficiente, fiind mult mai utilă monitorizarea periodică prin serii repetate de analize.

Group 15 3

Modificările biochimice observate la pacienții cu afecțiuni hepatice secundare sunt de obicei cauzate de o hepatită reactivă nespecifică.

Group 15 4

n prezența unei boli hepatice avansate, cum ar fi ciroza, creșterea nivelurilor enzimelor hepatice poate fi nesemnificativă.

Introducere

Stabilirea diagnosticului corect de boală hepato-biliară poate fi o sarcină dificilă. În clinica veterinară  sunt frecvent întâlnite valori crescute ale enzimelor hepatice și trebuie să înțelegem semnificația lor reală pentru a putea stabili diagnosticul și tratamentul adecvat. Este esențial să cunoaștem avantajele și dezavantajele investigațiilor diagnostice de laborator pentru a evita interpretarea eronată a rezultatelor.

Principiile de bază ale enzimologiei hepatice

Majoritatea metodelor de măsurare a nivelurilor enzimelor se bazează pe calcularea activității acestora. Unitatea enzimatică (U) este cantitatea de enzimă care catalizează conversia unui µmol de substrat pe minut [1]. Intervalele de referință variază în funcție de laborator și de metodologie, prin urmare compararea rezultatelor trebuie să țină cont întotdeauna de magnitudinea creșterii, și nu doar de cifrele absolute. Totodată, nu uitați că hemoliza, icterul sau lipemia pot modifica rezultatele probelor, în funcție de metoda analitică utilizată.

Intensitatea creșterii activității enzimatice tinde să fie proporțională cu gradul de afectare hepatică; totuși, testele de acest tip nu indică starea funcției hepatice, cauza problemei sau prognosticul. De exemplu, în cazurile de boală avansată, cum ar fi ciroza, creșterea enzimelor hepatice poate fi minoră. În mod similar, durata oricărei creșteri depinde în principal de timpul mediu de înjumătățire al enzimei, de cauza afectării și de gravitatea procesului. Din acest motiv, rezultatele unei singure măsurări oferă rareori informații suficiente pentru medic, fiind mult mai relevantă monitorizarea repetată. Orice creștere a nivelurilor enzimelor hepatice poate fi clasificată în 3 stadii: [2]:

  • Ușor: < 5 ori peste limita superioară a intervalului de referință
  • Moderat: 5-10 ori peste limita superioară a intervalului de referință
  • Sever: > 10 ori peste limita superioară a intervalului de referință

Principalele mecanisme care determină creșterea concentrației serice a enzimelor hepatice sunt deteriorarea celulară și inducerea sintezei enzimelor. Enzimele se găsesc cu precădere în mitocondriile, citoplasma și membrana hepatocitelor. Atunci când nivelul enzimelor  crește din cauza deteriorării celulelor, extravazarea enzimelor depinde de concentrația și de localizarea acestora în celulă. De exemplu, o creștere a enzimelor mitocondriale sugerează o deteriorare mai accentuată decât o creștere a enzimelor prezente doar în citoplasmă. Enzimele hepatice sunt în general clasificate în două categorii: cele care indică afectare celulară (alaninaminotransferaza și aspartataminotransferaza) și cele care indică sinteza enzimatică (fosfataza alcalină și gama-glutamiltransferaza) [3].

În cele din urmă, măsurarea enzimelor hepatice nu este o dovadă a capacității funcționale. Evaluarea funcției hepatice se bazează pe acei parametri care reflectă capacitatea de sinteză și/sau excreție a ficatului, cum ar fi bilirubina, glucoza, colesterolul, ureea, albumina sau testul de stimulare a acizilor biliari (Tabelul 1).

Enzimele hepatice nu ne oferă informații despre capacitatea funcțională a ficatului. Cele mai frecvente investigații utilizate pentru a evalua funcția hepatică sunt:

  • Bilirubina: valorile crescute ale bilirubinei apar în disfuncții hepatice sau colestază (intra- sau extrahepatică). Unii pacienți prezintă colestază funcțională, în care hepatocitele nu pot excreta bilirubina conjugată în canalele biliare din cauza prezenței factorilor inflamatori. Orice câine care suferă un proces infecțios sau inflamator sever poate avea colestază funcțională. Totodată, factorii inflamatori afectează transportul acizilor biliari, ceea ce determină niveluri serice ridicate.
  • Glucoza: hipoglicemia apare atunci când mai mult de 75% din masa hepatică este nefuncțională, din cauza scăderii nivelului de glicogen și a reducerii metabolismului insulinei.
  • Colesterolul: nivelurile ridicate de colesterol sunt asociate cu colestaza; nivelurile scăzute sunt rezultatul unei producții reduse de colesterol.
  • Uree și aminiac: în cazurile de boală hepatică, alterarea ciclului ureei poate duce la scăderea nivelului de uree și la creșterea nivelului de amoniac.
  • Factori de coagulare: deoarece factorii de coagulare sunt produși în ficat, boala hepatică poate duce la prelungirea timpului de coagulare. Colestaza induce anomalii hemostatice atribuite absorbției reduse a vitaminei K și activității reduse a factorilor II, VII, IX și X.
  • Proteina C: Această proteină anticoagulantă contribuie la diferențierea între hipoplazia venei porte și anastomoză (4). Este important să nu fie confundată cu proteina C reactivă.
  • Albumina: nivelurile scăzute sunt cauzate de reducerea producției atunci când mai mult de 70% din masa hepatică este nefuncțională.
  • Testul de stimulare a acizilor biliari: nivelurile ridicate indică o patologie hepatică sau o anastomoză porto-sistemică.

Tabelul 1. Testele funcției hepatice 

 

Alaniniaminotransferaza (ALT)

ALT, cunoscută și sub denumirea de glutamat piruvat transaminază serică (SGPT), se găsește în principal în citoplasma hepatocitelor, cu niveluri mai ridicate în zona 1, zona periportală (Caseta 1) [2]. Este prezentă și în alte organe (mușchii cardiaci și scheletici, rinichi și hematii), dar în ficat nivelul ALT este de 4 ori mai mare decât în mușchiul cardiac și de 10 ori mai mare decât în rinichi. În cazul în care se observă o creștere a nivelurilor ALT, este important să se excludă o origine non-hepatică (de exemplu, hemoliză sau leziuni musculare grave). Timpul mediu de înjumătățire al enzimei este estimat la aproximativ 2-3 zile.

Caseta 1. Ficatul este împărțit histologic în lobuli hexagonali. În centrul fiecărui lobul se află vena centro-lobulară , iar la periferie se află triadele portale (formate din artera hepatică, vena portă și canalul biliar). Lobulul hepatic poate fi descris în „zone” metabolice, fiecare dintre acestea fiind centrată pe o linie care leagă două triade portale și se extinde spre exterior până la două vene centro-lobulare adiacente. Zona 1, zona periportală, este cea mai apropiată de aportul vascular și primește sângele cel mai oxigenat sânge, în timp ce zona 3, zona centro-lobulară, este cea mai puțin oxigenată; zona 2 se află între zonele 1 și 3. © Sandrine Fontègne
Caseta 1. Ficatul este mpărțit histologic n lobuli hexagonali. n centrul fiecărui lobul se află vena centro-lobulară , iar la periferie se află triadele portale (formate din artera hepatică, vena portă și canalul biliar). Lobulul hepatic poate fi descris n zone metabolice, fiecare dintre acestea fiind centrată pe o linie care leagă două triade portale și se extinde spre exterior pnă la două vene centro-lobulare adiacente. Zona 1, zona periportală, este cea mai apropiată de aportul vascular și primește sngele cel mai oxigenat snge, n timp ce zona 3, zona centro-lobulară, este cea mai puțin oxigenată; zona 2 se află ntre zonele 1 și 3. Sandrine Fontgne

Eliberarea acestei enzime este de obicei asociată cu modificări ale permeabilității membranei celulelor hepatice, cel mai adesea cauzate de toxine, procese inflamatorii, hipoxie, traumatisme tisulare sau neoplazii (Tabelul 2). Cele mai mari creșteri sunt observate în cazuri de necroză și inflamație. Magnitudinea creșterii se corelează cu numărul de celule afectate, dar nu este specifică unui anumit proces. În cazul cirozei avansate sau al bolii vasculare, se constată adesea doar creșteri ușoare. Este important de reținut că o creștere a valorilor ALT nu înseamnă întotdeauna o boală hepatică primară; multe afecțiuni pot determina creșterea nivelurilor enzimelor hepatice, cauza primară fiind extrahepatică (de exemplu, afecțiuni metabolice, procese inflamatorii sistemice). În cazul bolii acute, o scădere a nivelurilor ALT cu 50% în primele zile ale bolii este considerată un factor de prognostic favorabil.

  • Toxicitate medicamentoasă sau cauzată de substanțe toxice: AINS, azatioprină, Cycas revoluta, fenobarbital, lomustină, paracetamol, sulfonamide, xilitol etc
  • Inflamație: poate fi infecțioasă (de exemplu, leptospiroză, colangiohepatită / colangită, septicemie) sau neinfecțioasă (de exemplu, hepatită cronică, acumulare de cupru, hepatită reactivă)
  • Ciroză
  • Afecțiuni metabolice: lipidoză, diabet, glucocorticoizi, hipertiroidism
  • Hipoxie / tulburări degenerative: anemie, congestie, boală respiratorie, anastomoză portosistemică
  • Traumatisme
  • Neoplazie: primară sau secundară
  • Regenerarea țesutului hepatic
Tabelul 2. Diagnosticul diferențial în cazul creșterii nivelurilor alaninaminotransferazei

 

Aspartataminotransferaza (AST)

AST (cunoscută anterior sub numele de transaminază glutamic oxaloacetică serică, SGOT) se găsește în mitocondriile hepatocitelor în concentrații mai mari decât ALT, predominând în zona 3 a acinilor hepatici (Caseta 1) [2]. AST are o specificitate mai mică decât ALT și este de asemenea prezentă în mușchi și în hematii. La fel ca în cazul ALT, este important să se excludă o origine non-hepatică (de exemplu, hemoliză sau traumatisme musculare) atunci când sunt detectate niveluri ridicate, iar diagnosticul diferențial este similar cu cel pentru ALT. La câini, timpul de înjumătățire al AST este de 5-12 ore. În cele mai multe cazuri, creșterea activității AST și ALT se produce în paralel, dar la unii pacienți nivelurile AST se normalizează înaintea nivelurilor ALT, dat fiind timpul de înjumătățire mai scurt și localizarea mitocondrială.

Fosfataza alcalină (ALP)

ALP este codificată de două gene: o genă tisulară nespecifică și o genă intestinală. Gena tisulară nespecifică transcrie izoenzimele care se găsesc în ficat, rinichi, placentă și oase [2]; gena intestinală codifică izoenzimele intestinale și pe cele induse de corticosteroizi. Izoenzimele catalizează aceeași reacție chimică, dar au o secvență diferită de aminoacizi. Timpul de înjumătățire al enzimei ALP intestinale, renale și placentare este foarte scurt (mai puțin de 6 minute). Pe de altă parte, timpul de înjumătățire al ALP hepatice, osoase și induse de corticosteroizi este de aproape 60 de ore. La animalele cu vârsta sub un an, ALP derivată din oase reprezintă cea mai mare parte din totalul ALP [5]. La animalele mai în vârstă, predomină izoenzima hepatică. Enzima ALP indusă de corticosteroizi reprezintă 10-30% din totalul ALP, cu cel mai mare procent la câinii mai în vârstă. Din acest motiv, specificitatea enzimei este de aproximativ 51% pentru bolile hepatobiliare, deși are o sensibilitate de 80% (Tabelul 3) (Caseta 2).

  • Colestază intrahepatică:
    • Hiperplazie nodulară
    • Hepatopatie vacuolară
    • Lipidoză
    • Neoplazie: primară sau secundară
    • Hepatită
    • Secundară / reactivă la o boală inflamatorie sistemică
  • Colestază extrahepatică:
    • Pancreatită
    • Afecțiune biliară: mucocel, colangită / colangiohepatită
    • Neoplazie: tractul biliar, duoden sau pancreas
  • Inducție:
    • Corticosteroizi
    • Fenobarbital
    • Tiroxină
  • Creșterea activității osteoblastice: osteosarcom, remodelare osoasă
  • Hiperfosfatemie familială benignă (Husky Siberian)
Tabelul 3. Diagnosticul diferențial în cazul creșterii nivelurilor fosfatazei alcaline
  • Sensibilitatea unui test indică proporția de pacienți bolnavi care sunt identificați corect ca având o anumită afecțiune. Așadar, aceasta evaluează capacitatea testului de a detecta o afecțiune într-o populație de animale bolnave. Dacă există multe rezultate fals negative (adică un animal bolnav nu este detectat de test), sensibilitatea este scăzută.
  • Specificitatea unui test indică proporția de pacienți sănătoși care sunt identificați corect ca neavând o anumită afecțiune. Așadar, aceasta evaluează capacitatea testului de a stabili că un animal sănătos nu are boala pentru care a fost testat. Dacă există multe rezultate fals pozitive (adică test pozitiv la un animal care nu are boala respectivă), specificitatea este scăzută.
Caseta 2. Sensibilitate și specificitate

 

ALP de origine hepatică este localizată în membrana hepatocitară din canalele biliare și sinusoidale. Cele două mecanisme principale care sunt responsabile pentru creșterea nivelurilor ALP hepatice sunt colestaza și inducția medicamentoasă. Colestaza determină acumularea de acizi biliari, ceea ce induce producerea de ALP. Medicamente precum fenobarbitalul și corticosteroizii vor duce de asemenea la creșterea valorilor ALP hepatice.

ALP indusă de corticosteroizi este produsă în ficat. Nivelurile tind să crească în caz de hiperadrenocorticism, dar izoenzima poate să crească și în prezența altor afecțiuni, cum ar fi diabetul zaharat, boli hepatice primare sau alte procese cronice; acest lucru îi limitează utilizarea în stabilirea diagnosticului de hiperadrenocorticism.

ALP osoasă se găsește în membrana osteoblastelor. În cazurile de osteosarcom, creșterea valorilor tinde să fie mică. La cânii din rasa Husky Siberian a fost descrisă o hiperfosfatemie familială benignă (cu o creștere predominantă a ALP specifice oaselor) [5].

Cele mai importante creșteri ale nivelurilor ALP se observă în colestază (focală sau difuză), în hepatită sau în cazul utilizării de corticosteroizi. Unele tumori hepatice, cum ar fi carcinomul hepatocelular, pot determina de asemenea creșteri semnificative. Nivelul de activitate ALP nu este util pentru a diferenția colestaza hepatică de cea post-hepatică (Tabelul 3).

Gamma-glutamiltransferaza (GGT)

GGT este o enzimă care se găsește în celulele epiteliale ale sistemului biliar și în hepatocite, dar este prezentă și în pancreas, în tubulii renali și în celulele epiteliale ale țesutului mamar. La câini, timpul de înjumătățire este de 72 de ore. Valorile GGT crescute sunt asociate colestazei sau hiperplaziei biliare, dar și corticosteroizii cresc activitatea GGT. Enzima este considerată mai specifică (87%) decât ALP, dar mai puțin sensibilă (50%) [3].

Abordarea pacientului cu enzime hepatice crescute

Atunci când rezultatele investigațiilor biochimice ridică suspiciunea de boală hepatobiliară, principalele mele obiective sunt următoarele:

  • Trebuie stabilit dacă există boală hepatobiliară;
  • Evaluarea funcției hepatice;
  • Stabilirea originii, ca primară sau secundară;
  • Stabilirea unui diagnostic corect;
  • Monitorizarea răspunsului la tratament.
Cățel în vârstă de 3 luni cu ascită ca urmare a hipoplaziei venei portale și a hipertensiunii portale.
Figura 1. Cățel în vârstă de 3 luni cu ascită ca urmare a hipoplaziei venei portale și a hipertensiunii portale.© Jordi Puig

Chiar dacă situația pare clară în principiu, modificările valorilor enzimelor hepatice sunt  provocatoare, deoarece semnele clinice pot fi foarte nespecifice și în unele cazuri chiar absente. În plus, ficatul îndeplinește un rol major în eliminarea toxinelor endogene și exogene și multe procese extra-hepatice îl pot afecta în mod secundar. Ficatul are o mare capacitate de rezervă, iar semnele de disfuncție hepatică sunt observate doar în procesele patologice avansate (Figura 1).

Primul pas implică istoricul medical, semnele clinice și examinarea fizică. Istoricul complet este extrem de important pentru a identifica orice posibilă cauză toxică (alimentație, medicamente, plante etc.) și pentru a stabili dacă există factori de risc pentru boli infecțioase (de exemplu, nerespectarea schemei de vaccinare). Date fiind caracteristicile sale anatomice și funcționale și capacitatea de a metaboliza elemente străine (xenobiotice), ficatul poate fi expus la concentrații ridicate de substanțe potențial toxice [6]. Totodată, este cunoscut faptul că unele rase de câini sunt predispuse la anumite afecțiuni hepatice.


Hepatotoxicitatea cauzată de medicamente poate fi împărțită în două categorii: intrinsecă și idiosincratică. Prima cauzează afectare hepatică oricărui animal expus la o anumită doză de medicament; cea de-a doua apare la nivel individual, cauzând leziuni hepatice imprevizibile și fără o corelație aparentă cu doza de medicament administrată.

  • Medicamentele AINS au fost asociate cu reacții idiosincratice. Majoritatea cazurilor raportate au fost induse de carprofen, însă toate medicamentele AINS pot avea efecte adverse. Gravitatea reacției variază de la un pacient la altul și se observă de obicei în decurs de trei săptămâni de la începerea tratamentului. Simptomele sunt variabile, iar creșterea valorilor enzimelor hepatice (în special a ALT) este severă. Deși majoritatea câinilor se recuperează după întreruperea tratamentului cu AINS și administrarea terapiei de susținere, insuficiența hepatică acută poate fi fatală în unele cazuri.
  • Doza toxică de paracetamol la câini este de aproximativ 150 mg/kg și reprezintă un exemplu de hepatotoxicitate intrinsecă. Metaboliții acestui medicament (în special N-acetil-p / benzochinonimina sau NAPBQ) sunt implicați în oxidarea globulelor roșii și a hepatocitelor. Rezultatele investigațiilor de laborator includ methemoglobinemia, o creștere semnificativă a valorilor ALT, și hiperbilirubinemia la majoritatea câinilor afectați  [7]. Tratamentul electiv în astfel de cazuri constă în administrarea intravenoasă de acetilcisteină, care reduce toxicitatea NAPBQ. Cimetidina, vitamina C și S-adenozilmetionina (SAM) pot fi de asemenea benefice.
  • Hepatotoxicitatea fenobarbitalului a fost descrisă ca fiind atât intrinsecă, cât și idiosincratică. Deși teoria propusă cel mai frecvent pentru explicarea creșterii ALP se referă la inducție, acest lucru este discutabil, fiind posibil să apară și leziuni hepatice [8] [9]. Practic, creșterea ALP este mică și, în unele cazuri, se observă o creștere moderată a ALT. Întreruperea tratamentului cu fenobarbital este indicată atunci când ALT este mai mare decât ALP și/sau dacă apar semne de disfuncție hepatică (hipocolesterolemie, hiperbilirubinemie, creșterea acizilor biliari sau hipoalbuminemie). Deși modificările clinice și histopatologice pot fi severe, refacerea funcției hepatice este posibilă la unii  pacienți [10].
  • Azatioprina este un analog purinic utilizat pe scară largă pentru tratarea tulburărilor imunomediate. Hepatotoxicitatea sa (definită ca o creștere de > 2 ori a activității ALT) a fost descrisă la 15% din câinii tratați, de obicei fără semne clinice [11]. Hepatotoxicitatea apare în mod normal în primele două săptămâni de tratament, înainte de mielotoxicitate (care se poate dezvolta, în medie, în 53 de zile), și se suspectează o predispoziție mai pronunțată la cânii din rasa Ciobănesc German. Totuși, în unele cazuri, creșterea enzimei apare mai târziu. Atunci când există o creștere ușoară a valorilor ALT, este prudent să se monitorizeze pacientul cu regularitate, în timp ce în cazul unei creșteri moderate sau severe, se recomandă reducerea dozei sau întreruperea tratamentului medicamentos.
  • Creșterea valorilor ALP la câinii tratați cu glucocorticoizi este variabilă și nu este de obicei asociată cu leziuni hepatice. Cu toate acestea, în unele cazuri, dezvoltarea unei hepatopatii vacuolare poate provoca semne de colestază și leziuni celulare. Efectele vor fi atenuate prin reducerea dozei, deși remisiunea completă poate necesita câteva luni. O ușoară creștere a acizilor biliari la pacienții cărora li se administrează glucocorticoizi în absența unei boli hepatice nu este ceva neobișnuit. Administrarea de hepatoprotectoare, cum ar fi SAMe, nu afectează nici histopatologia, nici modificările enzimatice la animalele care primesc glucocorticoizi [12].
  • Lomustina (CCNU) este un compus alchilant pentru care s-a raportat hepatotoxicitate la 6% dintre câinii tratați. Efectele toxice au fost descrise ca având debut tardiv în timpul tratamentului și ca fiind cumulative, dependente de doză și ireversibile. Modificările enzimatice variază de la creșteri moderate până la severe ale nivelurilor ALT, în medie de 11 ori mai mari decât limitele superioare ale intervalului de referință. Prognosticul este nefavorabil din cauza insuficienței hepatice, dar administrarea de SAMe și silibinină în timpul tratamentului ar putea contribui la minimizarea leziunilor hepatice [13].

Ce alte investigații mai pot fi efectuate?

La câinii cu enzime hepatice crescute, efectuez întotdeauna o hemoleucogramă completă, profilul biochimic general și sumar de urină. Rezultatele hemolecucogramei pot să varieze foarte mult. Dacă există anemie, aceasta este de obicei neregenerativă, deși este posibil să apară hemoragii intestinale secundare coagulopatiei. Microcitoza este adesea apare adesea în cazurile de anastomoză portosistemică. La pacienții cu insuficiență hepatică sau anastomoză portosistemică, în sedimentul urinar sunt prezente adesea cristale de urat de amoniu.

Magnitudinea creșterii activității enzimelor hepatice tinde să fie proporțională cu gradul de afectare hepatică; totuși, aceasta nu indică starea funcției hepatice, cauza problemei sau prognosticul.

Jordi Puig

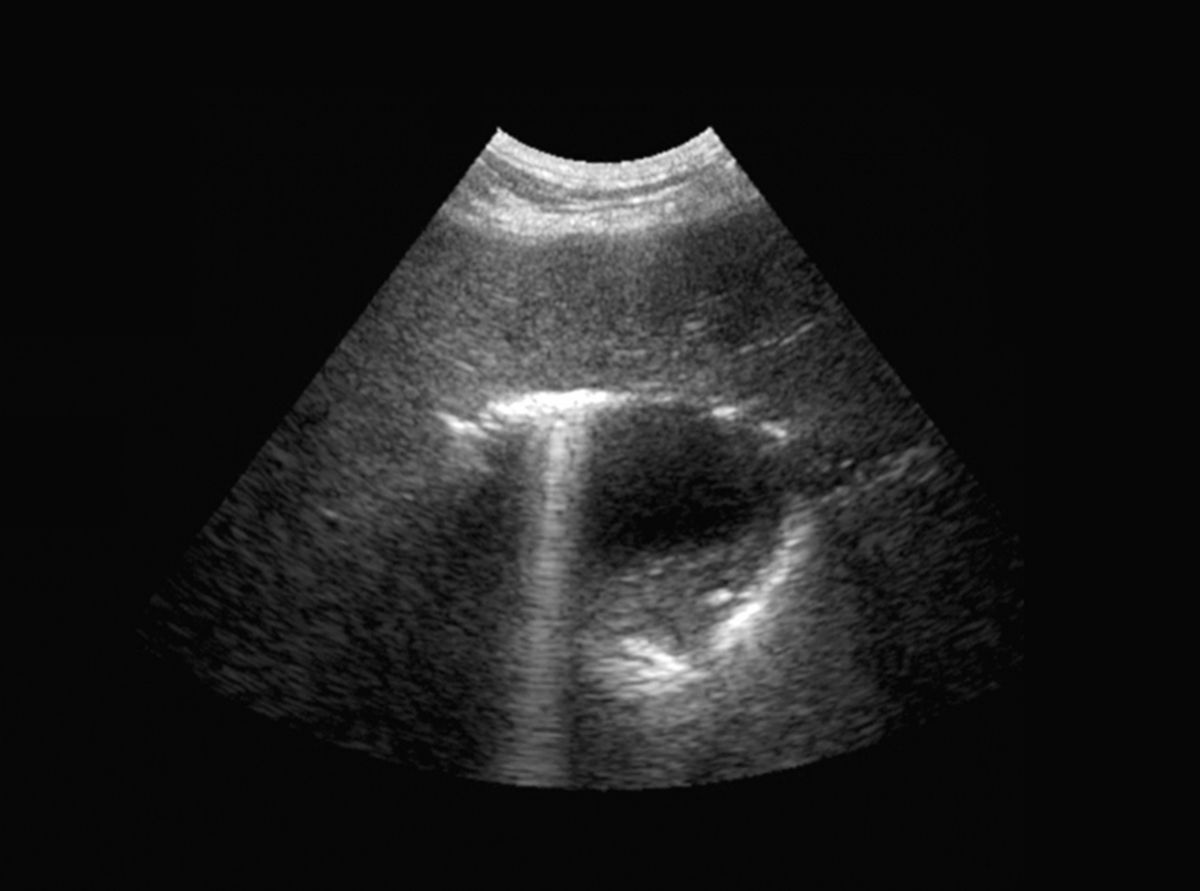
Radiografia poate contribui la evaluarea dimensiunii, formei, poziției, opacității și marginilor ficatului, precum și la detectarea prezenței gazelor sau a mineralizării (Figura 2). Ecografia contribuie la determinarea gradului de afectare hepatică (focală, multifocală sau difuză), precum și la evaluarea vascularizației și poate facilita prelevarea de probe (pentru citologie, cultură și biopsie) (Figura 3). Rețineți că absența modificărilor ecografice nu înseamnă neapărat că ficatul este sănătos.

Radiografie toracică laterală și abdominală anterioară a unui câine: există gaz în vezicabiliară (a se vedea săgeata) din cauza colangitei emfizematoase.
Figura 2. Radiografie toracică laterală și abdominală anterioară a unui cine: există gaz n vezicabiliară (a se vedea săgeata) din cauza colangitei emfizematoase. Jordi Puig
 Ecografie abdominală a unui câine care prezintă gaz în vezica biliară din cauza colangitei emfizematoase.
Figura 3. Ecografie abdominală a unui câine care prezintă gaz în vezica biliară din cauza colangitei emfizematoase.© Jordi Puig
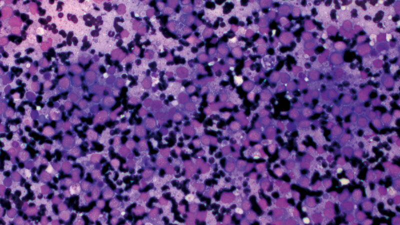
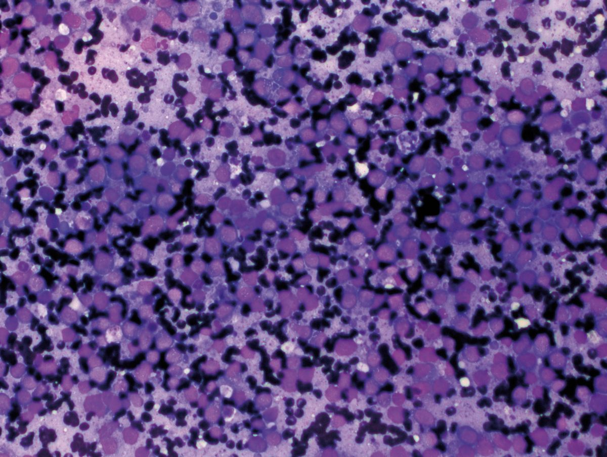
Probă citologică hepatică care prezintă proliferare mononucleară cu nucleoli proeminenți, sugestivă pentru limfom.
Figura 4. Probă citologică hepatică care prezintă proliferare mononucleară cu nucleoli proeminenți, sugestivă pentru limfom. Cristina Huguet (Idexx)

Citologia hepatică este relevantă mai ales în cazul proceselor metabolice sau neoplazice multifocale sau difuze (de exemplu, tumoră cu celule rotunde, boli hepatice vacuolare) (Figura 4). Sensibilitatea este scăzută comparativ cu examenul histopatologic, totuși, deoarece procesul este rapid, minim invaziv și sigur, îl recomand în multe cazuri ca prim pas pentru prelevarea probelor hepatice. Colecistocenteza ghidată ecografic este o altă investigație minim invazivă și utilă, cu puține complicații asociate [14].

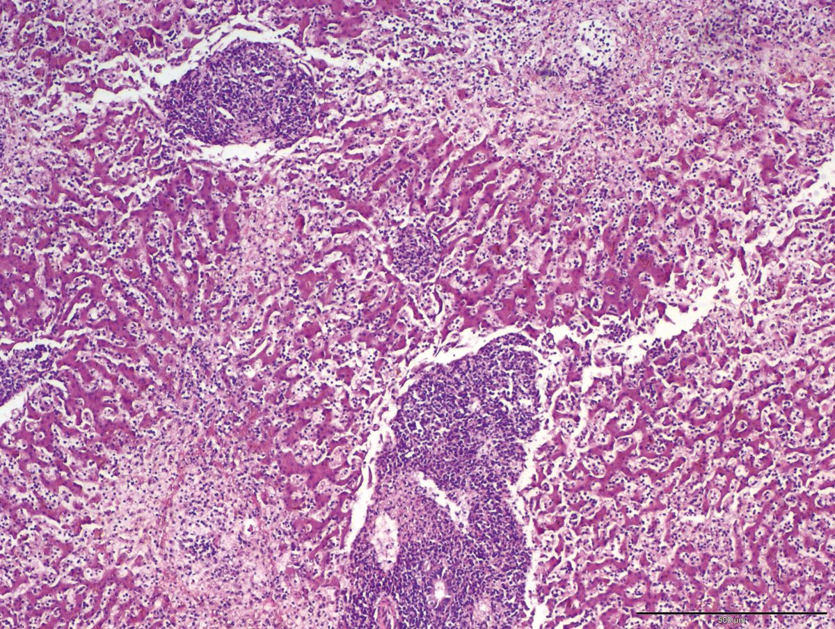
Histopatologie a țesutului hepatic cu colorație H&E, indicând agregate dense de celule rotunde monomorfe care invadează căile portale și zonele centrilobulare, circulă în sinusoide și întrerup cordoanele hepatice.
Figura 5. Histopatologie a țesutului hepatic cu colorație HE, indicnd agregate dense de celule rotunde monomorfe care invadează căile portale și zonele centrilobulare, circulă n sinusoide și ntrerup cordoanele hepatice. Este sugestiv pentru limfom. Carolina Naranjo (Idexx)

Examenul histopatologic este necesar pentru a face distincția între tumorile maligne și cele benigne, pentru a identifica anomaliile vasculare (hipoplazia venei porte), ciroza, procesele inflamatorii sau afecțiunile hepatice cauzate de acumularea de cupru sau de alte metale sau substanțe (Figura 5). După testele de coagulare, este esențial să fie prelevate întotdeauna mai multe probe de lobi hepatici, putând fi utilizate diferite metode (Tru-Cut©, laparotomie sau laparoscopie). Este extrem de important ca medicul patolog să respecte recomandările Asociației Mondiale a Medicilor Veterinari de Animale de Companie (WSAVA) privind histopatologia hepatică1 atunci când interpretează probele.

1wsava.org/global-guidelines/liver-disease-guidelines

Hiperbilirubinemia

Icter scleral sever la un pacient cu colangită.
Figura 6. Icter scleral sever la un pacient cu colangită. Jordi Puig

Atunci când se tratează un câine cu icter, este esențial să se determine originea hiperbilirubinemiei (prehepatică, posthepatică sau hepatică) prin prelevarea de probe de sânge și efectuarea unei ecografii (Figura 6). Conform unor studii recente, colangita și colecistita bacteriană sunt probabil mai frecvente la câini decât se credea anterior [15]. Rezultatele clinico-patologice tipice sunt creșterea nivelurilor enzimelor hepatice, hiperbilirubinemia și neutrofilia. Cele mai frecvente constatări ecografice sunt dilatarea canalului biliar, îngroșarea peretelui vezicii biliare, dilatarea vezicii biliare și prezența sedimentului biliar sau a mucocelului. Prelevarea de probe de bilă este importantă pentru a testa o eventuală rezistență la antibiotice. Tratamentul electiv pentru această afecțiune este de obicei colecistectomia, care permite totodată efectuarea de biopsii și prelevarea de probe pentru cultură. Alte afecțiuni frecvente ale vezicii biliare și ale canalelor biliare sunt mucocelul,  litiaza biliară și neoplaziile.

Boala hepatică secundară

Poate cel mai dificil aspect al gestionării unui pacient cu enzime hepatice crescute este diferențierea între boala hepatică primară și cea secundară. Modificările observate la pacienții cu boală hepatică secundară sunt cauzate, de obicei, de o hepatită reactivă nespecifică. În majoritatea cazurilor există creșteri ale nivelurilor enzimatice care sugerează leziuni celulare (ALT și AST) și inducție enzimatică (ALP și GGT). Cu toate acestea, afectarea funcției hepatice este rară, cu excepția cazurilor de colestază funcțională. Biopsia va arăta un infiltrat inflamator în zonele portale și în parenchim, fără semne de necroză hepatică. Pot fi observate și alte modificări, cum ar fi degenerarea vacuolară, lipidoza sau colestaza, aceasta din urmă fiind cea mai frecventă constatare histopatologică în biopsii. Pacienții cu afecțiuni hepatice primare prezintă un risc mai mare de a dezvolta simptome clinice mai severe, cum ar fi hepatomegalia, microhepatita, icterul sau encefalopatia hepatică.

Poate cel mai dificil aspect al gestionării unui pacient cu enzime hepatice crescute este diferențierea între boala hepatică primară și cea secundară. Modificările observate la pacienții cu boală hepatică secundară sunt cauzate, de obicei, de o hepatită reactivă nespecifică.

Jordi Puig

Hepatita cronică

Hepatita cronică la câini prezintă adesea semne clinice vagi și creștere nivelurilor enzimelor hepatice. Din punct de vedere histopatologic se caracterizează prin apoptoză sau necroză asociată cu un infiltrat inflamator (mixt sau limfoplasmocitar) care tinde să evolueze spre fibroză și ciroză, cu insuficiență hepatică. Etiologia este diversă (acumulare patologică de cupru, agenți infecțioși, medicamente etc.), dar de multe ori cauza rămâne necunoscută (hepatită cronică idiopatică). Unele rase sunt predispuse la hepatită cronică; cele mai studiate sunt cele predispuse la hepatopatii de stocare a cuprului. Este important de reținut că, pentru cuantificarea cuprului hepatic, este necesară o biopsie mare de țesut hepatic (1-2 grame). Diferiți agenți infecțioși pot provoca de asemenea hepatită cronică, inclusiv Leptospira, Leishmania, Babesia și Ehrlichia spp. Cel mai frecvent semn histopatologic la câinii cu leishmanioză este inflamația granulomatoasă sau inflamația piogranulomatoasă multifocală în zonele portale ale ficatului.

Cum se procedează în cazul pacienților asimptomatici?

Se întâmplă adesea să se constate valori crescute ale enzimelor hepatice la un pacient asimptomatic. Un studiu efectuat pe un grup de câini sănătoși de vârste diferite a arătat, la un număr semnificativ de animale, niveluri crescute de ALT, AST, ALP și/sau GGT, de 17%, 11%, 39% și, respectiv, 19% [16]. Într-o astfel de situație, încep prin a confirma rezultatele (prin repetarea testelor sau prin prelevarea unei noi probe, evitând hemoliza sau lipemia) pentru a exclude o eroare de laborator. Următorul pas este obținerea unui istoric detaliat pentru a stabili cauzele, cum ar fi administrarea de medicamente (inclusiv tratamente topice sau picături) sau simptome care nu au fost recunoscute anterior de către proprietari. Vârsta animalului este de asemenea importantă; animalele tinere pot prezenta o ușoară creștere a nivelului de ALP, în timp ce la animalele mai în vârstă creșterea activității enzimatice poate indica un proces proliferativ benign (hiperplazie nodulară), neoplazie sau hepatopatie vacuolară. Unul dintre cei mai importanți pași este determinarea originii modificării enzimatice, deoarece în multe cazuri patologia primară este localizată departe de ficat. Diagnosticarea și rezolvarea cauzei principale duc adesea la normalizarea activității enzimatice; de exemplu, 50% dintre câinii cu colaps traheal prezintă niveluri crescute ale enzimelor hepatice și acizilor biliari, probabil din cauza hipoxiei hepatice. Deși tratamentul problemelor respiratorii reduce nivelul acizilor biliari, enzimele hepatice tind să rămână ridicate [17].

Adesea se constată o creștere ALP cu ocazia controlului anual de rutină sau în cadrul investigațiilor efectuate anterior administrării de anestezic. Deoarece creșterea ALP ar putea fi cauzată de o izoenzimă, este necesară o anamneză completă. Cele mai frecvente boli endocrine asociate cu o creștere a valorilor ALP sunt diabetul, hiperadrenocorticismul și hipotiroidismul. În 90% din cazurile de hiperadrenocorticism, ALP crește ca urmare a inducerii enzimatice și a vacuolizării hepatocitelor cu glicogen, provocând colestază. În cazul diabetului zaharat, există vacuolizare a hepatocitelor, împreună cu lipidoză și colestază. După cum s-a menționat anterior, cele mai frecvente cauze ale creșterii ALP la câinii bătrâni asimptomatici sunt hepatopatia vacuolară, hiperplazia nodulară sau neoplaziile.

Hepatopatia vacuolară poate fi asociată corticosteroizilor endogeni sau exogeni și poate fi uneori severă, cu colestază și afectare celulară, ducând la creșterea nivelurilor ALT [18]. În 50% din cazurile descrise, nu există dovezi de boală suprarenală sau de administrare de corticosteroizi exogeni, iar cauza exactă rămâne necunoscută.

Hiperplazia nodulară se caracterizează prin noduli multipli în parenchimul hepatic și este o afecțiune benignă la câinii mai în vârstă. Etiologia este necunoscută, dar WSAVA clasifică această afecțiune a ficatului ca proces neoplazic. Este important să se facă distincție între hiperplazie și procesele tumorale sau de ciroză. Creșterea ALP poate fi însoțită de o ușoară creștere a ALT, dar în aceste cazuri funcția hepatică este normală. Nu există tratament specific, dar se recomandă analize biochimice și investigații ecografice la intervale de 6-12 luni.

Enzimele hepatice crescute sunt frecvent întâlnite în clinica veterinară, dar aceste rezultate nu ne spun nimic despre funcția hepatică a pacientului. Există numeroase cauze posibile, astfel că medicul trebuie să ia în considerare investigații diagnostice suplimentare, anamneza și datele clinice înainte de a stabili diagnosticul corect și, implicit, tratamentul adecvat.

Jordi Puig

Jordi Puig

Dr. Medic veterinar, Dipl. ACVIM (SAIM), Dipl. ECVIM-CA (Medicină internă)

Spania

Dr. Puig a absolvit Universitatea Autonomă din Barcelona în 2008 și, după o scurtă perioadă de practică, a efectuat un stagiu și apoi un rezidențiat în cadrul Animal Health Trust din Marea Britanie. A obținut în 2014 diploma de la Colegiul American de Medicină Internă Veterinară (medicină internă pentru animale mici) și în 2017 de la Colegiul European de Medicină Internă Veterinară – Animale de Companie (medicină internă). S-a alăturat Spitalului Veterinar Ars în 2015, unde în prezent conduce Departamentul de Medicină Internă pentru Animale de Companie. Interesele sale includ toate aspectele medicinei interne, în special gastroenterologia și endocrinologia.

Referințe
  1. Stockham SL, Scott MA. Enzymes. In; Fundamentals of Veterinary Clinical Pathology. Iowa; John Wiley & Sons 2008;639-674.
  2. Center SA. Interpretation of liver enzymes. Vet Clin North Am Small Anim Pract 2007;37(2):297-333.
  3. Chapman SE, Hostutler RA. A laboratory diagnostic approach to hepatobiliary disease in small animals. Vet Clin North Am Small Anim Pract 2013;43(6):1209-1225.
  4. Toulza O, Center SA, Brooks MB, et al. Evaluation of plasma protein C activity for detection of hepatobiliary disease and portosystemic shunting in dogs. J Am Vet Med Assoc 2006;229(11):1761-1771.
  5. Fernandez NJ, Kidney BA. Alkaline phosphatase: beyond the liver. Vet Clin Pathol 2007;36(3):223-233.
  6. Weingarten MA, Sande AA. Acute liver failure in dogs and cats. J Vet Emerg Crit Care (San Antonio) 2015;25(4):455-473.
  7. Stewart JE, Haslam AK, Puig J. Pathology in practice; acetaminophen (paracetamol) toxicosis. J Am Vet Med Assoc 2016;248(9):1009-1011.
  8. Müller PB, Taboada J, Hosgood G, et al. Effects of long-term phenobarbital treatment on the liver in dogs. J Vet Intern Med 2000;14(2):165-171.
  9. Gaskill CL, Miller LM, Mattoon JS, et al. Liver histopathology and liver and serum alanine aminotransferase and alkaline phosphatase activities in epileptic dogs receiving phenobarbital. Vet Pathol 2005;42(2):147-160.
  10. Dayrell-Hart B, Steinberg SA, Van Winkle TJ, et al. Hepatotoxicity of phenobarbital in dogs: 18 cases (1985-1989). J Am Vet Med Assoc 1991;199(8):1060-1066.
  11. Wallisch K, Trepanier LA. Incidence, timing, and risk factors of azathioprine hepatotoxicosis in dogs. J Vet Intern Med 2015;29(2):513-518.
  12. Center SA, Warner KL, McCabe J, et al. Evaluation of the influence of S-adenosylmethionine on systemic and hepatic effects of prednisolone in dogs. Am J Vet Res 2005;66(2):330-341.
  13. Skorupski KA, Hammond GM, Irish AM, et al. Prospective randomized clinical trial assessing the efficacy of Denamarin for prevention of CCNU-induced hepatopathy in tumor-bearing dogs. J Vet Intern Med 2011;25(4):838-845.
  14. Policelli Smith R, Gookin JL, Smolski W, et al. Association between gallbladder ultrasound findings and bacterial culture of bile in 70 cats and 202 dogs. J Vet Intern Med 2017;31(5):1451-1458.
  15. Tamborini A, Jahns H, McAllister H, et al. Bacterial cholangitis, cholecystitis, or both in dogs. J Vet Intern Med 2016;30(4):1046-1055.
  16. Comazzi S, Pieralisi C, Bertazzolo W. Haematological and biochemical abnormalities in canine blood: frequency and associations in 1022 samples. J Small Anim Pract 2004;45(7):343-349.
  17. Bauer NB, Schneider MA, Neiger R, et al. Liver disease in dogs with tracheal collapse. J Vet Intern Med 2006;20(4):845-849.
  18. Sepesy LM, Center SA, Randolph JF, et al. Vacuolar hepatopathy in dogs: 336 cases (1993-2005). J Am Vet Med Assoc 2006;229(2):246-252.

Distribuie pe rețelele sociale