HomeVeterinaryExaminarea imagistică a ficatului si pancreasului

Examinarea imagistică a ficatului si pancreasului

Articol semnat de Laurent Blond

Investigațiile imagistice ale ficatului și ale pancreasului pot oferi informații valoroase despre posibilele boli care afectează aceste organe; Laurent Blond analizează aici diferitele opțiuni disponibile.

Article

Reading time5 - 15 min
Imagistica ficatului si a pancreasului

Puncte cheie

Group 15 1

Radiografiile permit evaluarea dimensiunii și a contururilor ficatului, dar nu și evaluarea modificărilor parenchimului, dect n prezența gazelor sau a mineralizării.

Group 15 2

Ecografia este o procedură de diagnostic foarte utilă pentru o evaluare completă a ficatului, deoarece nu este costisitoare, este neinvazivă și, n majoritatea cazurilor, poate fi efectuată fără sedare.

Group 15 3

Tomografia computerizată necesită anestezie generală, dar este foarte utilă pentru vizualizarea completă a ficatului, n special la cinii de talie mare, la care ecografia poate fi limitată.

Group 15 4

Ecografia este utilă pentru examinarea imagistică a pancreasului, nsă este necesară o oarecare experiență pentru evaluarea și interpretarea riguroasă.

Introducere

Diferitele metode imagistice disponibile în prezent pentru animalele de companie oferă opțiuni excelente pentru diagnosticarea multor afecțiuni care implică ficatul și pancreasul. Acest articol prezintă succint anatomia ambelor organe și prezintă avantajele și dezavantajele fiecărei metode.

Ficatul

Ficatul este cel mai mare organ din cavitatea abdominală și ocupă cea mai mare parte a regiunii craniale a abdomenului. Situat între diafragmă și stomac, ficatul este împărțit în mai mulți lobi: lobul lateral  drept și lobul medial  drept ,  lobul lateral stâng și lobul medial stâng, lobul pătrat și lobul caudat, care prezintă un proces papilar și un proces caudat. Ficatul are două sisteme venoase: cel port  și cel sistemic.

Ficatul este strâns legat cu vezica biliară, situată între lobul medial drept și lobul pătrat, iar rinichiul drept este în contact cu procesul caudat al ficatului.

Radiografia

Radiografiile permit evaluarea dimensiunii și a contururilor ficatului, dar nu și evaluarea modificărilor parenchimului, cu excepția cazurilor în care sunt asociate cu prezența gazelor sau a mineralizării. Sunt necesare două imagini ortogonale ale abdomenului pacientului (laterală și ventrodorsală), care trebuie obținute în timpul expirației. Pentru o evaluare completă a ficatului, este important ca radiografiile abdominale să includă marginea cranială a diafragmei.

Conturul ficatului nu se poate distinge de diafragmă și este delimitat caudal de stomac. Regiunea caudo-ventrală a ficatului normal are o formă unghiulară (Figura 1).  Axul stomacului ar putea ajuta la evaluarea dimensiunii ficatului și ar trebui  vizualizat în proiecție radiografică laterală între o linie trasată la 90 de grade față de coloana vertebrală și o linie paralelă cu ultima pereche de coaste. Dacă  axul gastric este  deplasat dincolo de ultima pereche de coaste sau dacă regiunea caudo-ventrală a ficatului se extinde caudal până la regiunea ventrală stomacului, acest lucru indică hepatomegalie. Dacă stomacul este deplasat cranial, atunci ficatul este probabil mic, însă acest aspect ar putea fi normal la câinii cu torace adânc, cum ar fi cei din rasa Boxer, Doberman sau Dog German. Bolile hepatice sunt adesea asociate cu ascită, ceea ce poate împiedica vizualizarea ficatului, însă prezența lichidului peritoneal, care duce la pierderea detaliilor seroase și, în cazurile severe, la abdomen pendulant, ar trebui să fie ușor de identificat pe radiografiile abdominale.

Figura 1. Radiografii abdominale ale unui câine, cu proiecții ventrodorsale (a) și laterale (b), care arată un ficat normal (săgețile albe). Regiunea caudoventrală a ficatului normal are formă unghiulară.
Figura 1. Radiografii abdominale ale unui cine, cu proiecții ventrodorsale (a) și laterale (b), care arată un ficat normal (săgețile albe). Regiunea caudoventrală a ficatului normal are formă unghiulară. Laurent Blond
Figura 1. Radiografii abdominale ale unui câine, cu proiecții ventrodorsale (a) și laterale (b), care arată un ficat normal (săgețile albe). Regiunea caudoventrală a ficatului normal are formă unghiulară.
Figura 1. Radiografii abdominale ale unui cine, cu proiecții ventrodorsale (a) și laterale (b), care arată un ficat normal (săgețile albe). Regiunea caudoventrală a ficatului normal are formă unghiulară. Laurent Blond
 Radiografie abdominală laterală care arată colelitiază în căile biliare intrahepatice, cu aspect tipic ramificat.
Figura 2. Radiografie abdominală laterală care arată colelitiază n căile biliare intrahepatice, cu aspect tipic ramificat. Laurent Blond

Prezența unei formațiuni hepatice ar putea  deforma contururile ficatului și ar putea induce diverse efecte de masă (adică efecte patologice secundare ca urmare a faptului că formațiunea respectivă presează sau deplasează țesuturile din jur). O tumoră hepatică va deplasa pilorul în sens caudo-medial dacă este localizată în partea dreaptă sau va deforma conturul cranial al fundului gastric dacă este localizată în partea centrală sau stângă a ficatului.

Vezica biliară nu este în mod normal vizibilă la radiografie. Cu toate acestea, la unele pisici, regiunea ventrală a  vezicii biliare se poate extinde dincolo de marginea ventrală a conturului hepatic, proiectându-se pe grăsimea falciformă, fapt ce nu trebuie confundat cu o prezența unei formațiuni.Litiaza biliară este o cauză frecventă a mineralizării ficatului și, dacă aceasta afectează canalele biliare intrahepatice, aspectul radiografic va fi ramificat (Figura 2).

Ecografia

Ecografia este o metodă foarte utilă pentru o evaluare completă a ficatului, deoarece nu este costisitoare, este neinvazivă și, în majoritatea cazurilor, poate fi efectuată fără sedare. Ecografia este recomandată în special atunci când la radiografie se constată hepatomegalie sau lichid peritoneal, însă utilitatea acestei metode ar putea fi limitată la câinii de talie mare sau în cazurile de balonare abdominală puternică. Ficatul poate fi vizualizat prin plasarea sondei ecografice imediat sub procesul xifoid și, pentru a evalua întregul organ, scanarea se efectuează de la stânga la dreapta în plan sagital sau de la cranial la caudal în plan transversal. Adâncimea trebuie ajustată pentru a include întregul ficat. Diafragma nu se poate distinge de parenchimul hepatic, iar marginea diafragmatică delimitează regiunea cranială a ficatului, la fel ca la radiografie. Această margine diafragmatică este caracterizată de o linie curbă de artefacte de reverberație cauzate de aerul din plămâni. Un artefact frecvent întâlnit la ecografia hepatică este imaginea în oglindă, caracterizată prin proiecția imaginii ficatului pe diafragmă; acesta trebuie recunoscut și nu trebuie confundat cu o hernie diafragmatică sau cu o formațiune toracică.

Ficatul prezintă un parenchim omogen, care are un aspect ecografic ușor granular, este hipoecogen în raport cu grăsimea falciformă și cu splina (Figura 3) și izoecogen sau hipoecogen în raport cu rinichiul drept [1]. Conturul ficatului ar trebui să fie neted și regulat, delimitat de o capsulă hiperecogenă subțire. Separarea lobilor hepatici ar trebui să fie evidentă, exceptând cazul în care există acumulare de lichid liber în cavitatea peritoneală. Venele hepatice sunt ușor de vizualizat în parenchimul hepatic și apar ca structuri tubulare, anecogene, iar venele porte pot fi diferențiate de venele sistemice prin pereții lor hiperecogeni. Gradul de vizibilitate a vaselor  circulației porte poate fi de asemenea utilizat pentru a evalua ecogenitatea hepatică.

Ecografia unui ficat canin normal. (a) Regiunea stângă a ficatului în vizualizare sagitală; ficatul prezintă parenchim omogen și este hipoecogen în raport cu splina (S). Vasele porte (săgeată albă) au pereții hiperecogeni.
Figura 3. Ecografia unui ficat canin normal.
(a) Regiunea stngă a ficatului n vizualizare sagitală; ficatul prezintă parenchim omogen și este hipoecogen n raport cu splina (S). Vasele porte (săgeată albă) au pereții hiperecogeni. Laurent Blond
Ecografia unui ficat canin normal. (b) Imagine transversală cu vezica biliară (GB) în partea dreaptă; vasele porte (săgeata albă) au pereți hiperecogeni.
Figura 3. Ecografia unui ficat canin normal.
(b) Imagine transversală cu vezica biliară (GB) n partea dreaptă; vasele porte (săgeata albă) au pereți hiperecogeni. Laurent Blond
Figura 3. Ecografia unui ficat canin normal. (c) Regiunea dreaptă a ficatului în perspectivă sagitală.
Figura 3. Ecografia unui ficat canin normal.
(c) Regiunea dreaptă a ficatului în perspectivă sagitală.© Laurent Blond

La fel ca în cazul radiografiei, dimensiunea ficatului va fi evaluată subiectiv, deoarece regiunea caudoventrală nu trebuie să depășească fundulgastric. Lobii drepți se extind mai dorsal și sunt adesea evaluați mai bine utilizând o fereastră intercostală caudală între al 10-lea și al 11-lea spațiu intercostal drept. Această fereastră este de asemenea utilizată pentru a evalua  vezica biliară, care este în mod normal vizualizată cu un conținut anecogen și un perete hiperecogen foarte subțire. La majoritatea câinilor de vârstă mijlocie, în  vezica biliară se observă material ecogen liber. La pisici acest lucru este destul de neobișnuit și, dacă se constată, ar putea impune investigații suplimentare ale funcției biliare. În mod normal, căile biliare intrahepatice nu sunt vizibile.

Principalele modificări care pot fi observate ecografic sunt cele care țin de dimensiunea ficatului (cel mai adesea hepatomegalie), de ecogenitate sau prezența unui nodul sau a unei formațiuni. Examinarea ecografică este foarte sensibilă în ceea ce privește detectarea modificărilor parenchimului, dar nu este specifică, astfel că orice modificare trebuie interpretată în corelație cu datele clinice. De exemplu, hepatomegalia hiperecogenă ar putea duce la un diagnostic de lipidoză în cazul unei pisici cu icter, în timp ce la un câine cu diabet este o constatare frecventă. În cazul acestor două afecțiuni parenchimul hepatic va fi de asemenea hiperatenuat (Figura 4). Hepatita acută poate fi caracterizată prin hepatomegalie hipoecogenă, în timp ce în cazurile cronice ficatul poate deveni eterogen, cu contururi neregulate.

Imagine ecografică a unui ficat cu parenchim hiperecogen care este, de asemenea, hiperatenuant (ecogenitate redusă în câmpul profund).
Figura 4. Imagine ecografică a unui ficat cu parenchim hiperecogen care este, de asemenea, hiperatenuant (ecogenitate redusă n cmpul profund). Laurent Blond

Aspectul formațiunilor hepatice poate să varieze, dar în general aceste mase sunt eterogene și pot cauza distorsionarea conturului ficatului. Partea afectată a ficatului poate fi identificată, dar ar putea fi dificil să se determine cu precizie lobul hepatic afectat. Pe de altă parte, ecografia poate fi utilă în identificarea ficatului atunci când se investighează originea unei formațiuni abdominale de mari dimensiuni.

Este important ca modificările ecografice ale  vezicii biliare să nu fie interpretate ca masă hepatică, mai ales în cazul mucocelului, când  vezica biliară conține material eterogen, organizat și static.

Ecografia are de asemenea o specificitate ridicată în ceea ce privește detectarea nodulilor hepatici dar, din nou, nu oferă specificitate în ceea ce privește identificarea tipului acestora, și în multe cazuri nodulii hepatici au caracter benign. Un chist hepatic se prezintă în planuri ortogonale ca o structură anecogenă rotunjită și induce intensificare acustică. Dacă este necesar, se pot efectua puncții cu ac fin ghidate ecografic sau biopsii.

Reducerea dimensiunii ficatului ar putea fi cauzată de hepatită cronică sau de ciroză, caz în care ficatul va avea un aspect ecografic cu contururi neregulate, adesea fiind prezentă și ascita. Pe de altă parte, un volum hepatic  redus poate să indice și o anastomoză congenitală porto-sistemică la pacienții tineri, în special dacă este extrahepatică. O anastomoză intrahepatică este de obicei ușor de vizualizat, având aspect de vas anormal de mare, curbat și sinuos în parenchimul hepatic, care conectează fluxul port cu porțiunea hepatică a venei cave inferioare.

Examenul ecografic are o sensibilitate ridicată în ceea ce privește detectarea nodulilor hepatici, dar nu oferă specificitate în ceea ce privește identificarea tipului acestora; acest lucru este important, deoarece în multe cazuri nodulii hepatici pot avea caracter benign.

Laurent Blond

În cazul unei obstrucții biliare cronice, căile biliare intrahepatice pot fi observate la ecografie ca structuri anecogene tubulare, ușor sinuoase; tehnica Doppler color poate ajuta la diferențierea acestor canale de vasele de sânge.

Tomografia computerizată (CT)

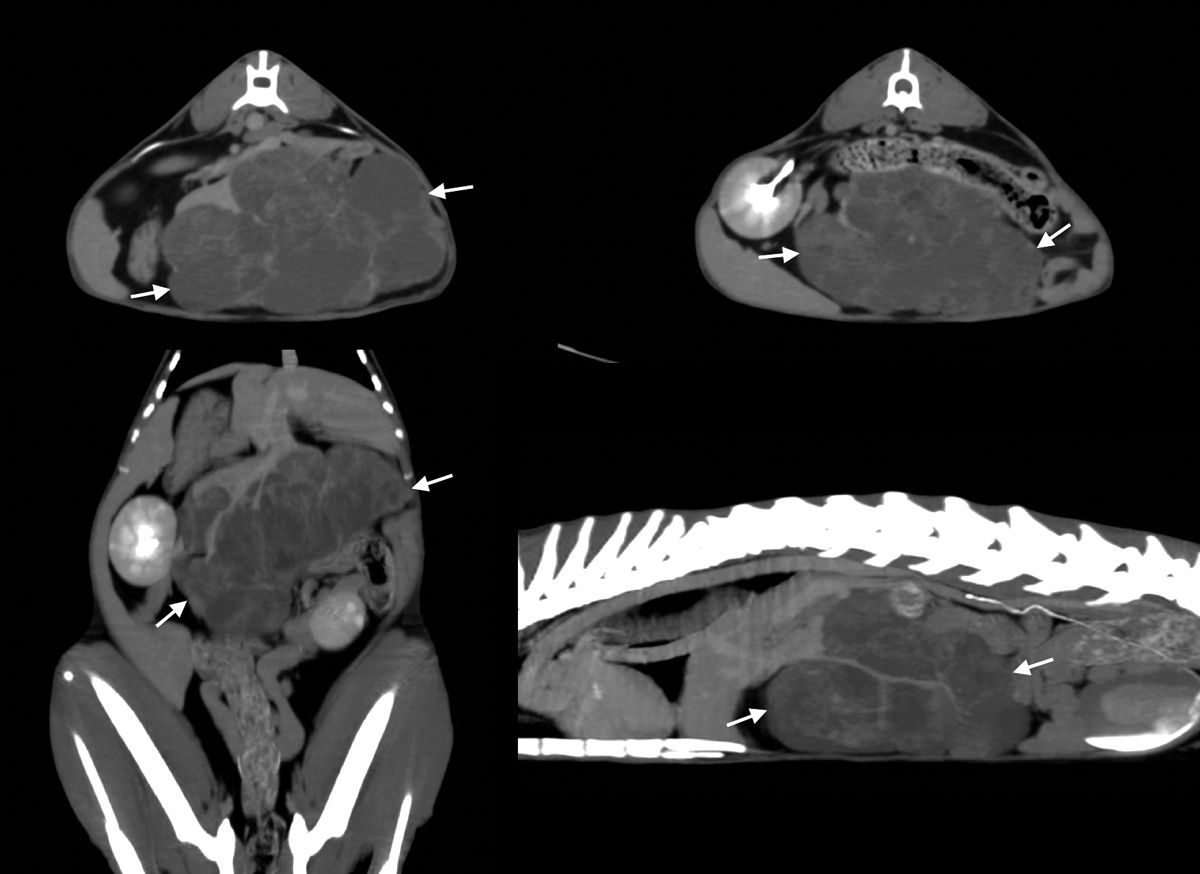
Imagini CT ale unei tumori hepatice la o pisică. Imagini transversale (sus) și imagini reformatate în plan dorsal și sagital în proiecție de intensitate maximă (jos). Se poate observa o formațiune de mari dimensiuni în partea centrală a ficatului (săgeți), cu contururi clar delimitate, ceea ce facilitează excizia chirurgicală.
Figura 5. Imagini CT ale unei tumori hepatice la o pisică. Imagini transversale (sus) și imagini reformatate n plan dorsal și sagital n proiecție de intensitate maximă (jos). Se poate observa o formațiune de mari dimensiuni n partea centrală a ficatului (săgeți), cu contururi clar delimitate, ceea ce facilitează excizia chirurgicală. Laurent Blond

Imagistica CT necesită anestezierea generală a pacientului, urmată de administrarea intravenoasă a unei substanțe de contrast iodate. Această metodă este foarte utilă pentru investigarea imagistică a întregului ficat, în special la câinii de talie mare, la care ecografia ar putea avea limitări. Câinii pot fi așezați în decubit dorsal sau ventral, iar imaginile obținute în plan transversal pot fi transpuse în planuri diferite. Ficatul va prezenta, de obicei, o atenuare omogenă a țesuturilor moi. Investigațiile CT sunt recomandate în special pentru a evalua localizarea exactă și posibila diseminare a maselor hepatice atunci când se ia în considerare intervenția chirurgicală (Figura 5). Metoda CT este de asemenea foarte utilă în evaluarea anomaliilor vasculare, în special a anastomoze portosistemice (intra- sau extrahepatice); în aceste cazuri, sunt necesari trei timpi de achiziție după administrarea substanței de contrast, în timpul fazei arteriale, porte și celei venoase sistemice [2].

Imagistica prin rezonanță magnetică (RMN)

Investigarea RMN a ficatului este utilizată rar în medicina veterinară, având încă aplicații limitate. Cu toate acestea, oferă o rezoluție de contrast mai bună, care ar putea ajuta la diferențierea leziunilor hepatice benigne de cele maligne. Metoda necesită anestezia generală a pacientului, injectarea unei substanțe de contrast pe bază de gadoliniu și un scaner RMN cu câmp mare (cel puțin 1,5 Tesla) pentru a evita artefactele cauzate de mișcările respiratorii.

Pancreasul

Pancreasul este un organ mic care poate fi împărțit în trei secțiuni anatomice: lobul drept, care este situat de-a lungul marginii mezenterice a duodenului, corpul pancreatic, care se întinde de-a lungul regiunii caudale a stomacului, și lobul stâng, care este situat de-a lungul colonului descendent. Contururile organului sunt de obicei neregulate.

Radiografia

Pancreasul normal nu este de obicei vizibil la radiografie, deoarece este prea mic. Cu toate acestea, la unele pisici supraponderale cu o cantitate mare de țesut adipos peritoneal, lobul stâng al pancreasului poate fi vizualizat lângă regiunea medială a splinei, adiacent polului cranial al rinichiului drept, și nu trebuie confundat cu o anomalie. Radiografiile pot fi totuși utile în cazurile de suspiciune de boală pancreatică, deoarece pancreatita poate induce modificări indirecte, cum ar fi pierderea detaliilor seroase în abdomenul cranial, lărgirea unghiului piloro-duodenal și distensia gazoasă a duodenului ca efect secundar al unui ileus funcțional. În plus, unele tumori pancreatice pot fi mineralizate, iar o formațiune abdominală cranială cu focare de mineralizare ar putea fi de origine pancreatică.

Ecografia

Ecografia este foarte utilă pentru vizualizarea pancreasului, deși este nevoie de o anumită experiență pentru o evaluare riguroasă. Pancreasul normal este discret eterogen, în general ușor hipoecogen comparativ cu țesutul adipos din jur, cu contur slab definit [3]. Ar putea fi izoecogen în raport cu țesutul adipos înconjurător la pisici și hiperecogen la Yorkshire Terrier [4]. Evaluarea pancreasului se bazează în primul rând pe identificarea unor repere specifice. Pentru a evalua lobul drept, este important să se vizualizeze duodenul din dreptul  rinichiului drept în sens caudal până la pilor în sens cranial. La câine, vena pancreatico-duodenală poate fi ușor identificată ca o structură tubulară sinuoasă, anecogenă, paralelă cu regiunea medială a duodenului (Figura 6a); țesutul care înconjoară acest vas este pancreasul. Se poate recurge la tehnica Doppler color pentru a identifica mai bine acest vas. La pisici, canalul pancreatic apare în acest punct, ceea ce ajută la localizarea lobului drept al pancreasului. Canalul pancreatic este fiziologic dilatat la pisici (mai ales la pisicile mai în vârstă, cu un diametru de până la 3 mm) și, la această specie, se unește cu ductul biliar comun la nivelul papilei duodenale majore. Corpul pancreasului este situat caudal față de pilor și ventral față de vena portă, între stomac și colonul transvers. Lobul pancreatic stâng poate fi vizualizat pe partea laterală a colonului descendent, caudal față de fundul gastric, medial față de splină și cranial față de polul cranial al rinichiului stâng. Canalul pancreatic poate ajuta de asemenea la localizarea acestui lob la pisici (Figura 6b). Grosimea pancreasului poate fi măsurată și, la pisici, nu trebuie să depășească 1 cm [5].

Figura 6. (a) Imagine ecografică a unui pancreas normal (săgeți albe) la câine. Lobul pancreatic drept este adiacent duodenului și poate fi localizat prin vizualizarea venei pancreatico-duodenale (PDV). (b) Imagine ecografică a unui pancreas normal (săgeți albe) la pisică; canalul pancreatic poate ajuta la identificarea pancreasului.
Figura 6. (a) Imagine ecografică a unui pancreas normal (săgeți albe) la cine. Lobul pancreatic drept este adiacent duodenului și poate fi localizat prin vizualizarea venei pancreatico-duodenale (PDV). Laurent Blond
Imagine ecografică a unui pancreas normal (săgeți albe) la pisică; canalul pancreatic poate ajuta la identificarea pancreasului.
Figura 6. (b) Imagine ecografică a unui pancreas normal (săgeți albe) la pisică; canalul pancreatic poate ajuta la identificarea pancreasului. Laurent Blond
Imagine ecografică a pancreatitei la un câine: pancreasul apare îngroșat și hipoecogen (săgeți verzi) și este înconjurat de țesut adipos hiperecogen. Peretele duodenal adiacent este îngroșat.
Figura 7. Imagine ecografică a pancreatitei la un cine: pancreasul apare ngroșat și hipoecogen (săgeți verzi) și este nconjurat de țesut adipos hiperecogen. Peretele duodenal adiacent este ngroșat. Laurent Blond

Pancreatita acută se caracterizează de obicei prin îngroșare hipoecogenă și eterogenă a pancreasului înconjurat de grăsime hiperecogenă și hiperatenuantă. De asemenea, se constată foarte frecvent prezența lichidului  în vecinătatea pancreasului afectat. Peretele duodenal adiacent apare adesea îngroșat, pliat și cu pierderea caracterului definit al straturilor sale (Figura 7). Durerea abdominală poate limita adesea explorarea pancreasului, necesitând administrarea de analgezice sau sedative. Pot apărea concomitent abcese sau chisturi, identificate ca structuri rotunjite umplute cu lichid hipoecogen sau anecogen. Aceste leziuni pot fi drenate sub ghidaj ecografic. Pancreatita cronică poate fi mai dificil de identificat și se poate caracteriza prin prezența unor zone eterogene în parenchimul pancreatic și a unor focare de grăsime hiperecogenă adiacente acestuia.

Figura 8. Imagine ecografică a unui carcinom la o pisică vizualizat ca nodul hipoecogen bine definit.
Figura 8. Imagine ecografică a unui carcinom la o pisică vizualizat ca nodul hipoecogen bine definit. Laurent Blond

Hiperplazia nodulară este frecventă la pisicile mai în vârstă și se caracterizează prin noduli hipoecogeni bine definiți, cu diametrul mai mic de 1 cm [6]. Tumorile pancreatice sunt adesea hipoecogene și ușor eterogene și distorsionează conturul pancreatic (Figura 8). Carcinomul pancreatic este adesea asociat cu carcinomatoza, care se caracterizează prin acumularea de lichid peritoneal și prin noduli hipoecogeni dispersați în mezenter și peritoneu.

Insulinoamele se prezintă de obicei sub forma unor mici noduli hipoecogeni și pot fi dificil de vizualizat. Metastazele hepatice sau ganglionii limfatici adiacenți se observă adesea înainte de a fi identificată tumora pancreatică primară.

Tomografia computerizată

Investigațiile CT sunt utile pentru o evaluare completă a pancreasului, care va fi vizualizat ca un organ cu margini neregulate și cu țesut cu densitate scăzută de-a lungul reperelor descrise în secțiunea anterioară. Tehnica poate fi foarte valoroasă în investigarea insulinoamelor, deoarece nu va fi limitată de prezența gazelor în tractul gastrointestinal, și are o sensibilitate mai mare în identificarea leziunilor mici, deși acest lucru necesită de obicei un CT bifazic. Vizualizarea imagistică a insulinomului se caracterizează prin prezența unui nodul cu densitate scăzută cu intensificare puternică în timpul fazei arteriale, dar nu și în celelalte faze [7].

Imagistica poate fi extrem de valoroasă în investigarea bolilor hepatice și pancreatice, dar este esențial ca medicul să fie familiarizat cu anatomia și aspectul normal al organelor în metoda imagistică aleasă. De asemenea, este necesar să se cunoască limitele utilizării acestor tehnici de diagnosticare. Cu toate acestea, o abordare atentă și standardizată ar trebui să ofere rezultate benefice în majoritatea cazurilor.

 

Laurent Blond

Laurent Blond

DVM, MSc, Dipl. ACVR

Franța

Dr. Blond a absolvit Școala Națională de Medicină Veterinară din Toulouse în 1999 și a efectuat un stagiu de practică la Universitatea din Montreal, Quebec, Canada și apoi un stagiu de rezidențiat în imagistică medicală la North Carolina State University în SUA. A fost profesor de imagistică medicală la Universitatea din Montreal, iar apoi s-a alăturat echipei de la Spitalul Veterinar Languedocia în 2012. Este interesat de toate aspectele imagisticii diagnostice și este autorul a numeroase articole științifice și capitole de carte pe această temă.

Referințe
  1. Larson MM. Ultrasound imaging of the hepatobiliary system and pancreas. Vet Clin North Am Small Anim Pract 2016;46(3):453-80.
  2. Zwingenberger AL, Schwarz T, Saunders HM. Helical computed tomographic angiography of canine portosystemic shunts. Vet Radiol Ultrasound 2005;46(1):27-32.
  3. Hecht S, Henry G. Sonographic evaluation of the normal and abnormal pancreas. Clin Tech Small Anim Pract 2007;22(3):115-121.
  4. Granger LA, Hilferty M, Francis T, et al. Variability in the ultrasonographic appearance of the pancreas in healthy dogs compared to dogs with hyperadrenocorticism. Vet Radiol Ultrasound 2015;56(5):540-548.
  5. Etue SM, Penninck DG, Labato MA, et al. Ultrasonography of the normal feline pancreas and associated anatomic landmarks: a prospective study of 20 cats. Vet Radiol Ultrasound 2001;42(4):330-336.
  6. Larson MM, Panciera DL, Ward DL, et al. Age-related changes in the ultrasound appearance of the normal feline pancreas. Vet Radiol Ultrasound 2005;46(3):238-242.
  7. Mai W, Cáceres AV. Dual-phase computed tomographic angiography in three dogs with pancreatic insulinoma. Vet Radiol Ultrasound 2008;49(2):141-148.

Distribuie pe rețelele sociale