HomeVeterinaryХронічна ентеропатія у котів

Хронічна ентеропатія у котів

Автор(и): Suliman Al-Ghazlat, Christian Eriksson de Rezende

Хронічне захворювання шлунково-кишкового тракту у котів часто є наслідком або запального захворювання кишечника, або кишкової лімфосаркоми, але диференціація між ними може бути проблематичною; Лікарі Аль-Газлат і Еріксон де Резенде діляться кількома корисними для лікаря-клініциста рекомендаціями

Article

Reading time5 - 15 min
Хронічна ентеропатія у котів

КЛЮЧОВІ МОМЕНТИ

Group 15 1

Клінічна симптоматика, результати обстеження, аналізи крові й дослідження з використанням методів візуальної діагностики запального захворювання кишківника (ЗЗК) і дрібноклітинної лімфоми кишківника часто схожі, але лікування і прогноз розвитку захворювання для цих патологій різні, тому точне діагностування вкрай важливе.

Group 15 2

Для визначення остаточного діагнозу в обох випадках потрібне гістопатологічне дослідження; однак краще використовувати зразки відібрані із всієї товщини тканини, а не біоптати, отримані за допомогою ендоскопії. З метою підвищення точності діагнозу разом із стандартним гістопатологічним дослідженням можуть застосовуватися додаткові методи.

Group 15 3

Використання нового корму або комбікорму на основі білкових гідролізатів дає змогу зменшити вираженість симптомів ЗЗК, але для досягнення стійкої ремісії необхідним вбачається застосування кортикостероїдних препаратів.

Group 15 4

У важких випадках ЗЗК перед зміною схеми лікування клінічний спеціаліст повинен враховувати ймовірність невиконання власником тварини рекомендацій лікаря, наявність супутніх патологій або неточний діагноз.

Group 15 5

Власникам домашніх тварин слід повідомити, що у котів із дрібноклітинною лімфомою тонкого кишківника прогноз перебігу захворювання може бути сприятливим.

Введення

Запальне захворювання кишківника (ЗЗК, англ. Inflammatory Bowel Disease, IBD) і дрібноклітинна лімфосаркома (ДКЛС, англ. Small Cell Lymphosarcoma, SCLSA) шлунково-кишкового тракту (ШКТ) – поширені захворювання серед котів, що мають схожі клінічні прояви. ЗЗК – це група запальних ідіопатичних і хронічних запальних патологій, що характеризуються стійкими або рецидивними симптомами з боку шлунково-кишкового тракту, діагноз ЗЗК ставиться шляхом виключення. Ймовірно, що етіологія та патогенез ЗЗК багатофакторні, причому відграють роль генетичні особливості тварини, стан імунної системи і мікрофлори кишківника. Етіологія ДКЛС також має комплексний характер і ще не до кінця зрозуміла, очевидно, що вона багатофакторна. Виникнення ДКЛС шлунково-кишкового тракту спричинило діагностичну і лікувальну проблему для пацієнтів-котів із хронічною ентеропатією. Стандартизація опису результатів ендоскопічних і гістопатологічних досліджень, а також застосування додаткових методів діагностики, таких як імуногістохімічне дослідження (ІГХ) і полімеразна ланцюгова реакція (ПЛР), допомагають ветеринарному лікарю, що працює з котами.

Хронічна ентеропатія у котів

Огляд пацієнта-кота з симптомами хронічних патологій шлунково-кишкового тракту (блювота, діарея, втрата ваги та/або зміна апетиту) слід починати з ретельної послідовної діагностики із застосуванням неінвазивних методів і добре організованого, індивідуально дібраного пробного лікування. Мета – виключити патології поза межами шлунково-кишкового тракту, паразитарну інвазію шлунково-кишкового тракту, ентеропатії, що піддаються лікуванню за допомогою дієтотерапії, антибіотиків, або наявність анатомічних відхилень кишківника, після чого проводиться диференціальна діагностика ЗЗК і ДКЛС (табл. 1 і рис. 1-3). Диференціальна діагностика ДКЛС і ЗЗК – складний процес, що вимагає застосування інвазивних і дорогих методів (1-8). Відсутність діагностичних і терапевтичних стандартів для котів із хронічною ентеропатією є основною проблемою з точки зору ветеринарного лікаря [1] [2] [3] [4] [5] [6] [7] [8].

Мінімальний обсяг досліджень (загальний аналіз крові, біохімічний аналіз крові, аналіз сечі) для оцінювання тяжкості захворювання і скринінгу на наявність первинних або супутніх патологій ШКТ.
Аналіз калу на яйця гельмінтів і найпростіших або пробне лікування із застосуванням антигельмінтика широкого спектру дії; в деяких випадках пробне лікування може проводитися для виключення ентеропатій, які можна лікувати за допомогою дієтотерапії або антибіотиків.
Визначення рівня гормонів щитовидної залози у котів старших 6 років, особливо якщо спостерігається зниження маси тіла, поліфагія, блювота та/або періодична діарея.
Тест на панкреатит у котів з летаргією, зневодненням, гіпорексією, блювотою і діарею.
Тест на наявність екзокринної недостатності підшлункової залози у котів зі зниженою масою тіла, діареєю і підвищеним апетитом.
Визначення рівня кобаламіну для оцінювання ступеня тяжкості та локалізації патології ШКТ, а також необхідності введення цього вітаміну.
Обстеження органів черевної порожнини методами візуальної діагностики: рентгенографія дає змогу виявити новоутворення, органомегалію, а також зниження деталізації серозної оболонки, що може свідчити про наявність випоту або виснаження. Ультразвукове дослідження дозволяє краще оцінити морфологію органів ШКТ, стан інших органів, а також визначити наявність лімфаденопатії.
За необхідності проводиться спеціальне дослідження для виявлення локальних інфекційних патологій (наприклад, гістоплазмозу).
Якщо всі названі вище методи не дозволяють визначити причину, рекомендується ендоскопічна/ хірургічна біопсія.

Таблиця 1. Запропонована схема діагностики для котів із симптомами хронічних патологій ШКТ

Ультразвукове зображення тонкої кишки в поздовжній проекції у кота з діагнозом ЗЗК. Слизовий шар (товста стрілка) більш виражений, ніж м’язовий шар (тонка стрілка), але це не виключає наявності ДКЛС. Загальна товщина стінки кишківника (між мітками) була збільшена і становила 3,2 мм
Рис. 1. Ультразвукове зображення тонкої кишки в поздовжній проекції у кота з діагнозом ЗЗК. Слизовий шар (товста стрілка) більш виражений, ніж м’язовий шар (тонка стрілка), але це не виключає наявності ДКЛС. Загальна товщина стінки кишківника (між мітками) була збільшена і становила 3,2 мм© S. Al-Ghazlat C. Eriksson de Rezende
Ультразвукове зображення тонкої кишки в поздовжній проекції у кота з діагнозом ДКЛС. М›язовий шар (позначається товстою стрілкою) більш виражений, він товщий за слизовий шар (тонка стрілка). Загальна товщина стінки кишківника (між мітками) була збільшена і становила 4,2 мм
Рис. 2. Ультразвукове зображення тонкої кишки в поздовжній проекції у кота з діагнозом ДКЛС. М›язовий шар (позначається товстою стрілкою) більш виражений, він товщий за слизовий шар (тонка стрілка). Загальна товщина стінки кишківника (між мітками) була збільшена і становила 4,2 мм© S. Al-Ghazlat & C. Eriksson de Rezende
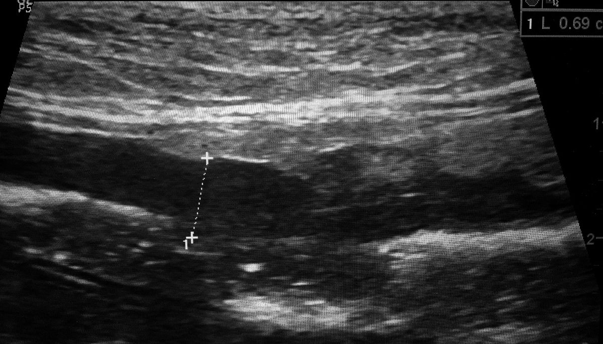
Ультразвукове зображення значно збільшеної петлі тонкої кишки в поздовжній проекції, товщина кишки становить 0,69 см (між мітками) за повної втрати нормальних морфологічних ознак. Пацієнту поставили діагноз ДКЛС
Рис. 3. Ультразвукове зображення значно збільшеної петлі тонкої кишки в поздовжній проекції, товщина кишки становить 0,69 см (між мітками) за повної втрати нормальних морфологічних ознак. Пацієнту поставили діагноз ДКЛС© S. Al-Ghazlat & C. Eriksson de Rezende
Спостерігаються тривалий час (>2 тижнів) стійкі або повторювані симптоми з боку ШКТ.
Відсутність очікуваної реакції на дієтотерапію, антибіотикотерапію і застосування глистогінних засобів.
Гістопатологічні ознаки запального процесу в слизовій оболонці.
Неможливість визначити інші причини наявних шлунково-кишкових симптомів або запального процесу.
Наявність клінічної відповіді на протизапальну та імуносупресивну терапію.

Таблиця 2. Критерії клінічної діагностики ЗЗК (1)

Відсутність розуміння і чітких критеріїв діагностики ЗЗК призвело до того, що даний синдром діагностується помилково або неправильно [1]. За останні десять років багато спеціалізованих організацій намагалися розробити методичні рекомендації та стандарти збору даних анамнезу, проведення клінічного обстеження, лабораторних досліджень, застосування методів візуальної діагностики, ендоскопічних досліджень та отримання біоптатів, інтерпретації результатів гістопатологічних досліджень, проведення пробного лікування та оцінювання реакції пацієнта на терапію, а також прогнозування перебігу захворювання у собак і котів із хронічними патологіями шлунково-кишкового тракту [1] [4] [5] [6] [7]. Методичне дотримання критеріїв клінічної діагностики ЗЗК (табл. 2) дасть змогу клініцисту уникнути застосування дорогих та інвазивних методів діагностики, а також тривалої протизапальної терапії [1].

Лімфосаркома (LSA) – найпоширеніша гемопоетична пухлина у котів, що може розташовуватись на різних анатомічних ділянках, але здебільшого вона вражає органи ШКТ [8]. ДКЛС шлунково-кишкового тракту котів – патологія, яка останнім часом діагностується дедалі частіше, при цьому її патогенез до кінця не зрозумілий, очевидно, він має багатофакторний характер. До факторів ризику, що сприяють розвитку захворювання, належать хронічні запальні процеси, інфекція Helicobacter, ретровірусні інфекції (FeLV, FIV), контакт із сигаретним димом [8] [9] [10] [11]. ДКЛС і ЗЗК характеризуються інфільтрацією шлунково-кишкового тракту дрібними лімфоцитами, а за результатами аналізу анамнестичних даних, клінічного огляду, аналізів крові, досліджень із використанням методів візуальної діагностики та гістопатологічного дослідження між двома патологіями виявлено низку подібностей. Однак перебіг хвороби, методи лікування і прогноз результату хвороби за цих патологій відрізняються, що підкреслює необхідність постановки точного діагнозу (табл. 3).

Схильність Відсутність явної статевої, вікової або породної схильності. ЛС зазвичай зустрічається у літніх котів, середній вік яких становить від 9 до 13 років.
Клінічні симптоми Загальні клінічні симптоми не є специфічними для обох патологій, до них можуть належати втрата ваги, зміни апетиту, блювота, діарея та млявість.
Результати клінічного обстеження За обох патологій може спостерігатися недостатня маса тіла, потовщення стінки кишківника і лімфаденопатія з ураженням брижових лімфовузлів. У котів із ЛС під час пальпації можна виявити новоутворення в черевній порожнині.
Результати лабораторних досліджень У котів із ЗЗК результати клінічного і біохімічного аналізів крові зазвичай перебувають у межах референтних норм. Анемія та гіпоальбумінемія виникають у 50% котів із ЛС. Гіпокобаламінемія поширена в обох випадках.
Результати дослідження методами візуальної діагностики Рентгенографія черевної порожнини зазвичай не дозволяє отримати цінну діагностичну інформацію. За результатами УЗД в обох випадках часто виявляють потовщення стінки кишківника, лімфаденопатію з ураженням брижових лімфовузлів і зниженням перистальтики. Ознаки, які можуть вказувати на наявність ЛС: втрата нормальної морфології стінки кишківника, непропорційно товстий м’язовий шар, регіональні пухлинні ефекти, пов’язані з розвитком новоутворень у кишківнику, асцит.

Таблиця 3. Порівняння різних особливостей ЗЗК і ДКЛС (12, 13)

Дилеми біопсії

Отримання біоптатів кишківника для гістопатологічного дослідження часто рекомендується під час проведення діагностичного обстеження і пробного лікування з метою визначення причини хронічної ентеропатії. Хоча гістопатологічне дослідження є методом вибору в діагностиці ЗЗК та лімфосаркоми (ЛС), існує низка факторів, що ускладнюють його проведення. До них належать: неправильний розмір зразку, недотримання преаналітичних умов, регіонарний ентерит, наявність ДКЛС і запального процесу, схожість гістопатологічних особливостей, а також різні точки зору патогістологів, які проводять дослідження [1] [3] [5]. Можливість прогресування ЗЗК із подальшим розвитком ЛС також ускладнює діагностику [9].

Однією з основних проблем, пов'язаних із біопсією ШКТ, є необхідність отримання зразка тканини на певній анатомічній ділянцу певної товщини. Неможливість отримати зразок по всій товщині тканини за ендоскопічної біопсії, а також те, що у деяких пацієнтів спостерігається регіонарний ентерит, викликають безліч суперечок про вибір оптимального методу (ендоскопічної або хірургічної біопсії) диференціальної діагностики ЗЗК та ДКЛС [5].

За даними кількох досліджень, біопсія зі зразком по всій товщині тканини є кращою, оскільки у випадку ЛС (на відміну від ЗЗК) вражена не лише слизова оболонка, а й глибші шари з втратою нормальних морфологічних особливостей тканини [5]. Крім того, ЛС у котів зазвичай вражає ілеоцекальне з’єднання і тонку кишку, тож на жодній із цих ділянок зазвичай не беруть зразки під час гастродуоденоскопії. Проспективне дослідження десятирічної давнини за участю 22 котів, яким гастродуоденоскопія проводилася безпосередньо перед лапаротомією або лапароскопічною операцією, показало, що зразки, отримані за допомогою ендоскопії, не могли бути використані для правильної диференціації ЗЗК від ЛС ШКТ. Для цього потрібні зразки із всієї товщини тканини [2]. Однак дослідження мало серйозне обмеження, оскільки у 8 котів неможливо було провести ендоскоп через пілорус, тому в цих тварин зразки тканини дванадцятипалої кишки було отримано наосліп. Цілком можливо, що за умови успішного проходження ендоскопу через пілорус, отримані зразки були б якіснішими.

Ендоскопічне зображення проксимальної частини дванадцятипалої кишки домашньої короткошерстої кішки віком 12 років, у якої спостерігається хронічна блювота і втрата ваги. Зверніть увагу на зернисту структуру слизової оболонки дванадцятипалої кишки.
Рис. 4. Ендоскопічне зображення проксимальної частини дванадцятипалої кишки домашньої короткошерстої кішки віком 12 років, у якої спостерігається хронічна блювота і втрата ваги. Зверніть увагу на зернисту структуру слизової оболонки дванадцятипалої кишки. За результатами гістопатологічного дослідження виявлено наявність хронічного лімфоплазмоцитарного запалення, від помірного до важкого© S. Al-Ghazlat & C. Eriksson de Rezende

Згідно з ACVIM* біопсія у тварин із хронічними патологіями ШКТ не є належним методом дослідження, однак за наявності показань слід надати перевагу ендоскопічній біопсії [1]. Це свідчить про переваги хірургічної біопсії, в тому числі можливість отримувати зразки по всій товщині тканини, а також оглядати інші внутрішні органи і отримувати їх зразки. З іншого боку, ендоскопія дає змогу оператору спостерігати зміни слизової оболонки та проводити біопсію безпосередньо на цих ділянках (Рис. 4), при цьому можна отримати кілька зразків із різних відділів кишківника. Ендоскопія також дозволяє диференціювати типи уражень (наприклад, виразки, ерозії, лімфангіектазію). Велике ретроспективне дослідження з отриманням зразків від 63 котів (50 – хірургічна біопсія, 13 – ендоскопічна біопсія) показало, що в обох випадках існує ймовірність хибнопозитивних і хибнонегативних гістопатологічних діагнозів ДКЛС, навіть за умови використання зразків із всієї товщини тканини [5]. Одне ретроспективне дослідження засвідчило, що у разі стандартної гастродуоденоскопії неправильний діагноз було поставлено у 44% випадків; у 8 з 18 котів із ЛС неопластичні клітини були виявлені тільки в тканині клубової кишки. Автори припускають, що для поліпшення якості отриманих зразків необхідно проводити ендоскопічне дослідження як нижнього, так і верхнього тракту відділів ШКТ [14].

* ACVIM – Американський коледж ветеринарної медицини внутрішніх захворювань

IГХ та ПЛР

Диференціальна діагностика ДКЛС шлунково-кишкового тракту та ЗЗК за результатами стандартного гістопатологічного дослідження може бути складною з багатьох причин, зазначених вище. Тому було розроблено низку тестів, що допомагають поставити більш точний діагноз. Найбільш поширеними є імуногістохімічне дослідження (ІГХ) та ПЛР [5] [6] [7] [8] [16]. Виявлення клональної популяції клітин є важливим критерієм у діагностиці новоутворень. За допомогою ПЛР можна визначити клональність лімфоцитів. IГХ дає змогу визначити фенотипну однорідність лімфоцитарного інфільтрату і служить допоміжним засобом для більш точної характеристики ураженої тканини під час гістопатологічного дослідження. За результатами численних досліджень була доведена висока чутливість і специфічність ІГХ та ПЛР у диференціальній діагностиці ДКЛС та ЗЗК навіть за умови використання невеликих зразків тканин, отриманих методом ендоскопічної біопсії [5] [6] [7] [8] [16], рис. 5 і 6. Крім того, результати імунофенотипування і визначення клональності в разі ЛС ШКТ у котів можуть мати прогностичне значення [15] [16].

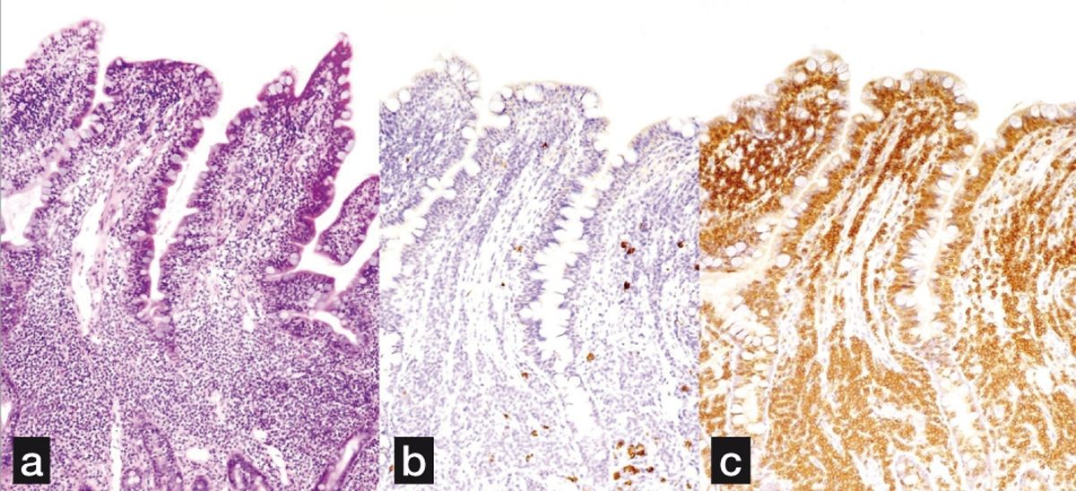
Зображення гістологічного зрізу ділянки тонкого кишківника кота з діагностованим ЗЗК. (а) Слизова оболонка тонкої кишки характеризується дифузною лімфоплазмоцитарною інфільтрацією (забарвлення гематоксилін-еозином); (b)	зверніть увагу, що деякі запальні клітини мають позитивне забарвлення на CD20, маркер для В-клітин; (c)	деякі клітини мають позитивне забарвлення на CD3, маркер для Т-клітин
Рис. 5. Зображення гістологічного зрізу ділянки тонкого кишківника кота з діагностованим ЗЗК. (а) Слизова оболонка тонкої кишки характеризується дифузною лімфоплазмоцитарною інфільтрацією (забарвлення гематоксилін-еозином); (b) зверніть увагу, що деякі запальні клітини мають позитивне забарвлення на CD20, маркер для В-клітин; (c) деякі клітини мають позитивне забарвлення на CD3, маркер для Т-клітин© Dr Matti Kiupel, Michigan State University
Зображення гістологічного зрізу ділянки тонкого кишківника кота з діагнозом ДКЛС. Забарвлення гематоксилін-еозином показало наявність вираженого дифузного інфільтрату, що вражає слизову оболонку і ворсинки кишківника (а); зверніть увагу на зниження інтенсивності забарвлення за імуногістохімічного пофарбування для виявлення В-клітин (b), з позитивним забарвленням Т-клітин, що підтверджує наявність переважно Т-клітинного інфільтрату (c)
Рис. 6. Зображення гістологічного зрізу ділянки тонкого кишківника кота з діагнозом ДКЛС. Забарвлення гематоксилін-еозином показало наявність вираженого дифузного інфільтрату, що вражає слизову оболонку і ворсинки кишківника (а); зверніть увагу на зниження інтенсивності забарвлення за імуногістохімічного пофарбування для виявлення В-клітин (b), з позитивним забарвленням Т-клітин, що підтверджує наявність переважно Т-клітинного інфільтрату (c)© Dr Matti Kiupel, Michigan State University.

В одному дослідженні розглядалася ефективність додаткового застосування ІГХ та ПЛР (поряд зі стандартним гістопатологічним дослідженням) для підвищення точності диференціальної діагностики ЛС ШКТ та ЗЗК [5]. Тільки за результатами стандартного гістопатологічного обстеження котів було виявлено ЗЗК (19 випадків) або кишкову ЛС (44 випадки). Додаткові дослідження IГХ та ПЛР виявили лімфому в 10 з 19 випадків, діагностованих спочатку як ЗЗК, а у 3 із 44 випадків, де було спочатку діагностовано ДКЛС, виявили ЗЗК. Дослідження показало, що за умови проведення лише стандартного гістопатологічного дослідження значній кількості котів з ДКЛС та ЗЗК було поставлено неправильний діагноз, навіть за умови використання зразків, отриманих за допомогою хірургічної біопсії. На підставі результатів даного дослідження автор запропонував новий діагностичний підхід із застосуванням покрокової стратегії. Цей підхід передбачає проведення гістоморфологічного дослідження зразків кишківника з подальшим застосуванням IГХ, а потім ПЛР. Такий системний підхід, імовірно, знизить ризик постановки неправильного діагнозу, а також допоможе клініцисту скласти відповідну програму лікування і сформулювати точний прогноз перебігу захворювання.

Лікування ЗЗК

Лікування підозрюваного або діагностованого ЗЗК передбачає коригування раціону, введення кобаламіну (за необхідності), застосування антибіотиків, імуномодуляторів, а також імуносупресивних засобів.

Корекція раціону

Для котів із підозрою або діагнозом ЗЗК рекомендується використання високозасвоюваних дієт на основі нових джерел білка (наприклад, кролик, оленина) або гідролізатів білка. У такому разі видається можливим знизити вираженість клінічних симптомів вже через 4-8 днів після зміни корму. За результатами низки досліджень, було виявлено, що використання нових кормів дає змогу поліпшити клінічний стан, але для досягнення стійкої ремісії необхідна імуносупресивна терапія [17]. За відсутності апетиту пацієнту можуть знадобитися стимулятори апетиту (наприклад, міртазапін, 1/8-1/4 таблетки по 15 мг на кота кожні 48-72 години або ципрогептадин, 1-2 мг на кота кожні 12 годин). У деяких випадках введення глюкокортикоїдів слід починати до зміни корму.

Пробіотики і симбіотики

TЕфективність пробіотиків як допоміжної терапії для котів із ЗКК та ДКЛС не вивчено, проте дослідження засвідчили, що пробіотики можуть допомогти нормалізувати мікрофлору кишківника і поліпшити функцію імунної системи [18]. Після початку прийому споживання пробіотиків має бути неперервним, однак вибрати оптимальний продукт непросто через велику різницю в стандартах якості препаратів. Симбіотики містять пребіотичні цукри (наприклад, інулін, фруктоолігосахариди) та пробіотичні бактерії. У недавньому оглядовому дослідженні у котів із хронічною діареєю спостерігалося значне поліпшення консистенції фекалій після застосування відповідних симбіотиків протягом 21 дня [19].

Кобаламін

Кобаламін (вітамін В12) є кофактором синтезу нуклеїнових кислот і засвоюється за допомогою спеціальних рецепторів у клубовій кишці. Патологічні процеси на цій ділянці можуть викликати гіпокобаламінемію, тому для отримання оптимальної відповіді на імуносупресивну терапію і поліпшення клінічного стану може знадобитися підшкірне введення цього вітаміну (табл. 4) [12]. Пероральний прийом також можливий, але ефективність і дозування за такого режиму не визначено.

Препарат Механізм дії Показання Дозування Побічні реакції
Преднізолон Імуносупресія За відсутності реакції на зміну раціону/ застосування протимікробних препаратів або у разі підтвердження діагнозу ЗЗК за результатами гістопатологічного дослідження 2-4 мг/кг/добу протягом 2-3 тижнів, потім зниження дози на 25-50% кожні 2-4 тижні до досягнення мінімальної дози, що дозволяє контролювати клінічні ознаки Поліурія/Полідипсія
Поліфагія
Інфекції
Кардіоміопатія
Метилпреднізолон Імуносупресія Альтернативний засіб, якщо застосування пероральних засобів неможливе 10 мг/кг підшкірно кожні 2-4 тижні, потім кожні 4-8 тижнів Зазначені вище
Цукровий діабет
Хлорамбуцил Алкілуючий агент ДКЛС або невиліковні випадки ЗЗК Коти > 4 кг: 2 мг перорально кожні 48 год.
Коти < 4 кг: 2 мг перорально кожні 72 год.
Пригнічення функції кісткового мозку
Нейротоксичність
Циклоспорин Інгібітор функції Т-клітин Важкі випадки або рецидиви ЗЗК 5 мг/кг перорально кожні 12-24 год. Блювота, діарея, гепатопатія
Азатіоприн Впливає на синтез ДНК Важкі випадки або рецидиви ЗЗК 0,3 мг/кг перорально кожні 48 год. Виражене пригнічення функції кісткового мозку
Метронідазол Ефективний проти анаеробів
Можливі властивості імуномодуляції
Важкі випадки або рецидиви ЗЗК 10-15 мг/кг/добу перорально один раз на день (25 мг/кг/добу з метронідазолу бензоатом) Нейротоксичність за тривалого застосування
Кобаламін (В12) Кофактор метилювання Рівень кобаламіну <300 нг/л 250 мг підшкірно раз на тиждень протягом 6 тижнів із подальшим одноразовим введенням через 30 днів і повторним аналізом через 30 днів. Продовжувати щомісячне введення, якщо рівень в межах норми Немає даних

Таблиця 4. Препарати, які зазвичай використовуються у лікуванні запального захворювання кишківника у котів (20-22)

Імуносупресивна терапія

Кортикостероїди є наріжним каменем лікування як ЗЗК, так і ДКЛС. Для котів краще використовувати преднізолон, а не преднізон, через вищу біодоступність. Існує кілька схем лікування ЗЗК із поступовим зниженням дози препарату (табл. 4), метою якого є досягнення мінімальної дози, необхідної для контролю клінічних проявів. У деяких випадках прийом преднізолону можна припинити, після цього слід змінити дієту і, можливо, знадобиться введення антибіотика (наприклад, метронідазолу). Необхідно уникати застосування харчових добавок тваринного походження з одночасним застосуванням преднізолону, оскільки вони можуть вплинути на процес ремісії.

Індивідуальна реакція котів на лікування преднізолоном може бути різною. У разі неефективності терапії клініцист повинен розглянути можливість використання кортикостероїдів іншого типу (наприклад, дексаметазону або метилпреднізолону), хоча серед недоліків останнього можна назвати невідомий рівень біодоступності, а також можливість розвитку цукрового діабету. Будесонід – глюкокортикоїд для перорального застосування, який характеризується пресистемним виведенням із печінки і меншою кількістю системних побічних ефектів. Його ефективність серед котів із ЗЗК не встановлено, але емпірично визначено дозування 0,5-0,75 мг на кота кожні 24 години [20].

Деякі клініцисти для пацієнтів із тяжким рецидивом ЗЗК застосовують хлорамбуцил в поєднанні зі стероїдами [21]. Зазвичай його вводять кожні 24-72 години, залежно від маси тіла пацієнта (табл. 4) [20]. На початковому етапі кожні 2-4 тижні необхідно проводити клінічний аналіз крові для спостереження за можливим зниженням рівня нейтрофілів і тромбоцитів, що може свідчити про токсичну дію препарату на кістковий мозок.

Існують дані щодо застосування циклоспорину для лікування котів із ЗЗК. Певні позитивні ефекти досягаються у разі прийому дози 5 мг/ кг один-два рази на день [20]. Серед побічних ефектів: блювота, діарея та анорексія. У разі їх появи може знадобитися зменшити дозу або частоту прийому. Також може спостерігатися гепатопатія, інфекції сечовивідних шляхів і рецидив токсоплазмозу. Азатіоприн, як правило, не рекомендується через те, що є дані про сильне пригнічення функції кісткового мозку, ідіосинкратичну фатальну лейкопенію та тромбоцитопенію внаслідок його застосування [23].

Протимікробні засоби

Для пацієнтів зі слабко вираженим запальним процесом метронідазол може застосовуватися як монотерапія або в поєднанні з глюкокортикоїдом. Основним побічним ефектом препарату є нейротоксичність (дезорієнтація, атаксія, судоми, сліпота). Зазвичай ці симптоми зникають після припинення прийому [20].

Лікування ДКЛС

Оптимальний раціон для котів із ДКЛС аналогічний раціону, рекомендованому у випадку ЗЗК (високозасвоювані поживні речовини, за можливості монокомпонентні). За необхідності можна використовувати стимулятор апетиту. Введення преднізолону зазвичай починається з імуносупресивної дози, після досягнення ремісії рекомендується приймати препарат через день. Хлорамбуцил вводять із кортикостероїдом на початку лікування або на постійній основі (наприклад, кожні 48-72 години), або у вигляді болюсу (20 мг/м2 перорально кожні 2-3 тижні) [24]; тривалість ремісії зазвичай аналогічна за умови застосування обох протоколів. Також необхідно стежити за результатами клінічного аналізу крові й припиняти введення препарату в разі стійкого зниження кількості сегментованих нейтрофілів, менше 1500 та/або 75 000 клітин/л відповідно [25]. За відсутності відповіді на лікування глюкокортикоїдами та хлорамбуцилом можуть застосовуватися протоколи екстреної терапії (наприклад, із введенням циклофосфаміду) [24].

Прогноз

У котів із дрібноклітинною лімфомою прогноз результату захворювання може бути сприятливим, при цьому позитивна відповідь на лікування трапляється в 92% випадків упродовж в середньому понад 2,5 років [26]. ЗЗК у котів добре лікується шляхом коригування раціону і застосування імуносупресивної терапії, але власнику тварини слід повідомити, що метою є зниження вираженості клінічних симптомів, а не повне одужання. Пацієнтам із важким клінічним станом і великими ураженнями тканин шлунково-кишкового тракту, еозинофільним ентеритом і гіпереозинофільним синдромом слід робити прогноз з обережністю [27]. У випадку ЗЗК, які не піддаються лікуванню, необхідно переконатися в тому, що власник дотримується рекомендацій лікаря (зміна раціону або введення препарату), виключити наявність супутніх патологій (наприклад, панкреатиту, холангіту), а також перевірити точність діагнозу [27]. В останньому випадку за необхідності клініцист повинен розглянути можливість отримання біоптатів для гістологічного дослідження, ІГХ та ПЛР [5].

Сулейман Аль-Газлат

Сулейман Аль-Газлат

Лікар вет. мед., дипл. American College of Veterinary Internal Medicine (ACVIM)

США

Закінчив інтернатуру з внутрішніх хвороб та хірургії дрібних тварин в університеті Пердью, а також ординатуру з внутрішніх хвороб у дрібних тварин у Медичному центрі для тварин, Нью-Йорк (Animal Medical Center). У даний час працює лікарем-терапевтом у приватній клініці.

Крістіан Еріксон де Резенде

Крістіан Еріксон де Резенде

Лікар вет. мед., магістр, дипл. American College of Veterinary Internal Medicine (ACVIM)

США

Доктор Еріксон де Резенде закінчив коледж ветеринарної медицини університету штату Огайо в 2006 році й ординатуру з внутрішніх хвороб у дрібних тварин у Мічиганському університеті в 2010 році. Працює в BluePearl Veterinary Partners.

ЛІТЕРАТУРА
  1. Washabau RJ, Day MJ, Willard MD, et al. WSAVA International Gastrointestinal Standardization Group.: Endoscopic, biopsy, and histopathologic guidelines for the evaluation of gastrointestinal inflammation in companion animals. J Vet Intern Med 2010;24(1):10-26.
  2. Evans SE, Bonczynski JJ, Broussard JD, et al. Comparison of endoscopic and full-thickness biopsy specimens for diagnosis of inflammatory bowel disease and alimentary tract lymphoma in cats. J Am Vet Med Assoc 2006; 229(9):1447-1450.
  3. Willard MD, Jergens AE, Duncan RB, et al. Interobserver variation among histopathologic evaluations of intestinal tissues from dogs and cats. J Am Vet Med Assoc 2002;220(8):1177-1182.
  4. Day MJ, Bilzer T, Mansell J, et al. Histopathological standards for the diagnosis of gastrointestinal inflammation in endoscopic biopsy samples from the dog and cat. WSAVA Gastrointestinal Standardization Group. J Comp Pathol 2008:137:S1-S43.
  5. Kiupel M, Smedley RC, Pfent C, et al. Diagnostic algorithm to differentiate lymphoma from inflammation in feline intestinal biopsy specimens. Vet Pathol 2011;48:212-222.
  6. Waly NE, Gruffydd-Jones TJ, Stokes CR, et al. Immunohistochemical diagnosis of alimentary lymphomas and severe intestinal inflammation in cats. J Comp Pathol 2005;133:253-260.
  7. Moore PF, Woo JC, Vernau W, et al. Characterization of feline T-cell receptor gamma (TCRG) variable region genes for the molecular diagnosis of feline intestinal T-cell lymphoma. Vet Immunol Immunopathol 2005;106:167-178.
  8. Louwerens M, London CL, Pedersen NC, et al. Feline lymphoma in the post-feline leukemia virus era. J Vet Intern Med 2005;19(4):329-335.
  9. Davenport DJ, Leib NS and Roth L. Progression of lymphocytic-plasmacytic enteritis to gastrointestinal lymphosarcoma in three cats. In: Proceedings, Veterinary Cancer Society 7th Annual Conference: 1987 suppl.
  10. Bridgeford EC, Marini RP, Feng Y, et al. Gastric Helicobacter species as a cause of feline gastric lymphoma. Vet Immunol Immunopathol 2008;123:106-113.
  11. Bertone ER, Snyder LA, Moore AS. Environmental tobacco smoke and risk of malignant lymphoma in pet cats. Am J Epidemiol 2002;156(3):268-273.
  12. Ruaux CG, Steiner JM, Williams DA. Early biochemical and clinical responses to cobalamin supplementation in cats with signs of gastrointestinal disease and severe hypocobalaminemia. J Vet Intern Med 2005;19(2):155-160.
  13. Zwingenberger AL, Marks SL, Baker TW, et al. Ultrasonographic evaluation of the muscularis propria in cats with diffuse small intestinal lymphoma or inflammatory bowel disease. J Vet Intern Med 2010;24(2):289-292.
  14. Scott KD, Zoran DL, Mansell J, et al. Utility of endoscopic biopsies of the duodenum and ileum for the diagnosis of inflammatory bowel disease and small cell lymphoma in cats. J Vet Intern Med 2011;25(6):1253-1257.
  15. Sabattini E, Botero ME, Turba F, et al. Differentiating feline inflammatory bowel disease from alimentary lymphoma in duodenal endoscopic biopsies. J Small Anim Pract 2016;57(8):396-401.
  16. Patterson-Kane JC, Kugler BP and Francis K. The possible prognostic significance of immunophenotype in feline alimentary lymphoma: a pilot study. J Comp Pathol 2004;130:220-222.
  17. Dennis JS, Kruger JM, Mullaney TP. Lymphocytic-plasmacytic gastroenteritis in cats: 14 cases (1985-1990). J Am Vet Med Assoc 1992;200:1712-1718.
  18. Marshall-Jones ZV, Baillon MLA, Croft JM, et al. Effects of Lactobacillus acidophilus DSM13241 as a probiotic in healthy adult cats. Am J Vet Res 2006;67:1005-1012.
  19. Wynn SG. Probiotics in veterinary practice. J Am Vet Med Assoc 2009;234:606-613.
  20. Trepanier L. Idiopathic inflammatory bowel disease in cats – rational treatment selection. J Feline Med Surg 2009;11:32-38.
  21. Willard MD. Feline inflammatory bowel disease: a review. J Feline Med Surg 1999;1:155-164.
  22. Ferguson D, Gaschen F. Feline idiopathic inflammatory bowel disease. J Feline Med Surg 2009;19(2):20-30.
  23. Krecic MR. Feline inflammatory bowel disease: treatment, prognosis, and new developments. Compend Contin Educ Vet 2001;23:964-973.
  24. Stein TJ, Pellin M, Steinberg H, et al. Treatment of feline gastrointestinal small-cell lymphoma with chlorambucil and glucocorticoids. J Am Anim Hosp Assoc 2010;46:413-417.
  25. Wilson HM. Feline alimentary lymphoma: demystifying the enigma. Top Comp Anim Med 2008;23:177-184.
  26. Kiselow MA, Rassnick KM, McDonough SP, et al. Outcome of cats with low-grade lymphocytic lymphoma: 41 cases (1995-2005). J Am Vet Med Assoc 2008;232(3):405-410.
  27. Jergens AE. Managing the refractory case of feline IBD. J Feline Med Surg 2003;5:47-50.

Поділіться в соціальних мережах