HomeVeterinärHydrocephalus beim Hund

Hydrocephalus beim Hund

Geschrieben von William B. Thomas

Einige der kleineren Hunderassen neigen zu Hydrocephalus, einer Erkrankung, die mit verschiedenen gesundheitlichen Problemen einhergehen kann. William Thomas beschreibt, wie man diese Erkrankung am besten diagnostiziert und zeigt die bevorzugten Behandlungsoptionen für betroffene Patienten.

Article

5 - 15 min
Hydrocephalus beim Hund

Kernaussagen

Group 15 1

Pädiatrischer Hydrocephalus kommt am häufigsten bei jungen Hunden kleiner Rassen vor.

Group 15 2

Die Diagnose basiert auf der Schädelkonformation, neurologischen Defiziten und bildgebenden Befunden des Gehirns.

Group 15 3

Ultraschall über eine persistierende Fontanelle ist ein praktischer Weg für die bildgebende Untersuchung der Seitenventrikel.

Group 15 4

Die endgültige Behandlung besteht im Legen eines ventrikuloperitonealen Shunts.

Einleitung

Bei einem Hydrocephalus handelt es sich per Definition um eine aktive Erweiterung des Ventrikelsystems im Gehirn, hervorgerufen durch eine Obstruktion des Liquorflusses (1

Rekate HL. A contemporary definition and classification of hydrocephalus. Semin Pediatr Neurol 2009;16:9-15.
). Der Liquor cerebrospinalis wird von dem Plexus choroidei, der ependymalen Auskleidung des Ventrikelsystems und den Blutgefäßen im Subarachnoidalraum in einer konstanten Rate gebildet und zirkuliert durch das Ventrikelsystem in den Subarachnoidalraum, wo er von den Arachnoidalzotten absorbiert wird. Eine Obstruktion an irgendeiner Stelle dieses Pathways verursacht eine aktive Erweiterung des Ventrikelsystems, das heißt einen Hydrocephalus. Pathologische Veränderungen wie Infarkte, Nekrosen und eine Atrophie können zu einer Reduzierung des Hirnparenchymvolumens führen. Dieser Verlust an Hirngewebe hinterlässt einen leeren Raum, der sich passiv mit Liquor füllt. Früher bezeichnete man diesen Zustand als Hydrocephalus ex vacuo, da aber keine aktive Erweiterung der Ventrikel vorliegt, handelt es sich hierbei nicht um einen echten Hydrocephalus ([1]).

Pathophysiologie

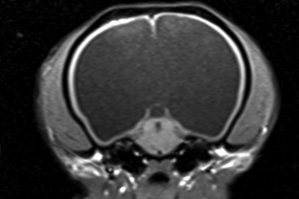
Ein Hydrocephalus kann entweder durch Entwicklungsstörungen entstehen oder durch erworbene Läsionen wie Tumoren oder entzündliche Veränderungen. Die Lokalisation der Obstruktion hat einen Einfluss darauf, welcher Anteil des Ventrikelsystems dilatiert, wobei die Erweiterung typischerweise proximal der Obstruktion auftritt. So verursacht zum Beispiel eine Obstruktion des dritten Ventrikels eine Dilatation beider Seitenventrikel, nicht aber des vierten Ventrikels. Ein Hydrocephalus schädigt zunächst die ependymale Auskleidung der Ventrikel, sodass Flüssigkeit und größere Moleküle in die benachbarte weiße Substanz einsickern können und dort ein periventrikuläres Ödem verursachen. Die fortschreitende Vergrößerung der Ventrikel komprimiert die weiße Substanz und verursacht dadurch eine Demyelinisierung und eine axonale Degeneration. Das die beiden Seitenventrikel trennende Septum pellucidum kann fenestriert oder vollständig zerstört werden, sodass schließlich ein einziger großer Ventrikel entsteht (Abbildung 1). Die graue Substanz der Großhirnrinde (Cortex cerebri) bleibt anfänglich erhalten. Zu diesem Zeitpunkt kann das chirurgische Legen eines Shunts zu einer Reexpansion der weißen Substanz und einer Regeneration der residualen Axone führen. In weiter fortgeschrittenen Fällen wird der Cortex cerebri zunehmend dünn, einhergehend mit einer neuronalen Vakuolisierung und einem Verlust von Neuronen. Sind diese fortgeschrittenen Veränderungen zum Zeitpunkt der Diagnose bzw. Behandlung bereits eingetreten, kann der neuronale Schaden auch nach dem Legen eines Shunts weiterhin persistieren ([2]). Bei akuter Obstruktion kann das Liquorvolumen so schnell ansteigen, dass es zu einer Erhöhung des intrakraniellen Drucks kommt und damit zu einer Beeinträchtigung der Blutversorgung des Gehirns, die weitere Hirnschäden hervorruft.

Abbildung 1. Dieses transversale, T1-gewichtete MRT auf Höhe des Mittelhirns zeigt eine hochgradige Vergrößerung der Seitenventrikel mit Verlust des Septum pellucidum, sodass ein einziger, großer mit Liquor gefüllter Raum zurückbleibt.© William B. Thomas
Abbildung 1. Dieses transversale, T1-gewichtete MRT auf Höhe des Mittelhirns zeigt eine hochgradige Vergrößerung der Seitenventrikel mit Verlust des Septum pellucidum, sodass ein einziger, großer mit Liquor gefüllter Raum zurückbleibt.© William B. Thomas

Klinische Merkmale

Auf der Grundlage des Alters bei Auftreten der Erkrankung unterscheidet man zwischen pädiatrischem und erworbenem Hydrocephalus. Ein pädiatrischer Hydrocephalus wird in der Regel durch Entwicklungsstörungen verursacht, und die klinischen Symptome werden oft bei Welpen im Alter von wenigen Monaten festgestellt. Ein erhöhtes Erkrankungsrisiko haben Toyrassen und brachycephale Rassen, einschließlich Malteser, Yorkshire Terrier, Englische Bulldogge, Chihuahua, Lhasa Apso, Zwergspitz, Toypudel, Cairn Terrier, Boston Terrier, Mops und Pekinese ([3]). In den meisten Fällen ist eine offensichtliche Obstruktionsstelle nicht zu erkennen. Liegt die ursächliche Läsion im Subarachnoidalraum oder im Bereich der Arachnoidalzotten, ist sie diagnostisch nur schwer nachzuweisen. Eine weitere Möglichkeit ist die Entstehung einer Obstruktion während eines kritischen Stadiums der Entwicklung, die sich später wieder zurückbildet und nur noch die daraus resultierende Ventrikelvergrößerung hinterlässt. Ein pädiatrischer Hydrocephalus kann auch mit anderen Missbildungen wie Meningomyelozele, Chiari-Malformation, Dandy-Walker-Syndrom und zerebellärer Hypoplasie assoziiert sein.

Die klinischen Symptome eines pädiatrischen Hydrocephalus umfassen einen vergrößerten, kuppelförmigen Kopf mit persistierenden Fontanellen und offenen Schädelnähten. Jedoch haben nicht alle Patienten mit persistierender Fontanelle einen Hydrocephalus, und umgekehrt weisen nicht alle Patienten mit pädiatrischem Hydrocephalus auch eine persistierende Fontanelle auf. Eine Vergrößerung des Calvariums (Schädelkalotte) lässt sich subjektiv einschätzen, indem man beurteilt, ob sich der am weitesten lateral befindliche Teil des Os parietale in lateraler Richtung über die Ebene des Jochbeinbogens (Arcus zygomaticus) hinaus ausdehnt. Aufgrund einer Missbildung der Orbita oder einer Dysfunktion im Bereich des Hirnstammes können betroffene Patienten einen ventralen oder ventrolateralen Strabismus aufweisen (Abbildung 2).

Abbildung 2. Chihuahua-Welpe mit Hydrocephalus. Zu beachten ist die vergrößerte, kuppelförmige Schädelkalotte und der beidseitige ventrolaterale Strabismus. Die vergrößerte Schädelkalotte kann subjektiv eingeschätzt werden, indem man beurteilt, ob der am weitesten lateral gelegene Punkt des Os parietale (hier durch die gestrichelte Linie angedeutet) sich lateral über den Jochbeinbogen (Pfeil) hinaus erstreckt.© William B. Thomas
Abbildung 2. Chihuahua-Welpe mit Hydrocephalus. Zu beachten ist die vergrößerte, kuppelförmige Schädelkalotte und der beidseitige ventrolaterale Strabismus. Die vergrößerte Schädelkalotte kann subjektiv eingeschätzt werden, indem man beurteilt, ob der am weitesten lateral gelegene Punkt des Os parietale (hier durch die gestrichelte Linie angedeutet) sich lateral über den Jochbeinbogen (Pfeil) hinaus erstreckt.© William B. Thomas

Hundewelpen mit Hydrocephalus sind oft körperlich zurückgeblieben und kleiner als gesunde Welpen. Häufige neurologische Defizite sind ein abnormes Verhalten und kognitive Dysfunktionen, die zum Beispiel dazu führen, dass die Erziehung auf Stubenreinheit misslingt. Visuelle Defizite umfassen eine ein- oder beidseitige Erblindung bei normaler Pupillenfunktion (wobei zu bemerken ist, dass sich der Drohreflex auch bei gesunden Hundewelpen erst im Alter von 4 Wochen entwickeln kann). Weitere mögliche klinische Symptome sind Ataxie, Anfälle, Kreisbewegungen, vestibuläre Dysfunktion und Kopf-/Nackenschmerzen. Der klinische Verlauf ist variabel und schwierig vorherzusagen. So können die neurologischen Defizite mit der Zeit fortschreiten, unverändert bleiben oder sich nach ein bis zwei Jahren sogar bessern ([4]). Patienten mit sehr großen, stark erweiterten Seitenventrikeln und dünnem Cortex cerebri haben ein erhöhtes Risiko für intrakranielle Blutungen infolge geringgradiger Schädeltraumata, die zur Ruptur bzw. zum Abriss von Brückenvenen im Schädel führen können. Die mögliche Folge sind chronische subklinische Hämatome oder eine plötzliche neurologische Verschlechterung infolge einer massiveren intrakraniellen Blutung ([5]).

Ein erworbener Hydrocephalus kann sich bei Hunden jeden Alters als Folge einer Neoplasie, eines Schädeltraumas oder einer Meningoencephalitis entwickeln. Die neurologischen Defizite ähneln denen junger Hunde mit der pädiatrischen Form der Erkrankung. Wenn sich der Hydrocephalus jedoch erst nach dem Verschluss der Schädelnähte bildet, entwickeln sich keine Schädeldeformationen.

Diagnose

Die Diagnose eines Hydrocephalus basiert auf den klinischen Symptomen und den Befunden der bildgebenden Untersuchung des Gehirns. Die Magnetresonanztomographie (MRT) ist das Verfahren der Wahl für die Beurteilung der Ventrikelgröße und zum Nachweis obstruktiver Läsionen. Verschiedene ursächliche Zubildungen wie Tumoren, Granulome und Zysten können mittels MRT nachgewiesen werden, insbesondere in Kontrastaufnahmen. Die MRT besitzt zudem eine höhere Sensibilität als die Computertomographie (CT) für den Nachweis kleiner fokaler Läsionen, insbesondere im Bereich der caudalen Fossa cranii. Die CT ist in der Regel jedoch ausreichend für das Follow-up von Patienten mit bereits gestellter Diagnose und Patienten mit vorhandenem Shunt. Die Ventrikelgröße wird in der Regel subjektiv beurteilt, die Bestimmung des Ventrikel-Hirn-Index ermöglicht jedoch eine objektivere Messung. Die in einer dorsalen Aufnahme bestimmte maximale Distanz zwischen den lateralen Begrenzungen der Seitenventrikel wird dividiert durch die maximale Breite des Gehirns in derselben Ebene. Ein Verhältnis > 0,6 erhöht den Verdacht auf einen klinisch signifikanten Hydrocephalus (Abbildung 3).

Abbildung 3. Berechnung des Ventrikel-Hirn-Index anhand eines dorsalen T2-gewichteten MRT. Die maximale Weite der Seitenventrikel (30,3 mm) dividiert durch die Weite des Gehirns auf derselben Höhe (48,2 mm) ergibt einen Quotienten von 0,62. Ein Quotient > 0,6 steigert den Verdacht auf einen klinisch signifikanten Hydrocephalus.© William B. Thomas
Abbildung 3. Berechnung des Ventrikel-Hirn-Index anhand eines dorsalen T2-gewichteten MRT. Die maximale Weite der Seitenventrikel (30,3 mm) dividiert durch die Weite des Gehirns auf derselben Höhe (48,2 mm) ergibt einen Quotienten von 0,62. Ein Quotient 0,6 steigert den Verdacht auf einen klinisch signifikanten Hydrocephalus.© William B. Thomas

Bei Hunden mit persistierender Fontanelle können offensichtlich vergrößerte Ventrikel mittels Ultraschall bestimmt werden. Ventrikel physiologischer Größe erscheinen sonographisch als paarige, schlitzartige, echofreie Strukturen unmittelbar ventral der Fissura longitudinalis auf beiden Seiten der Mittellinie. Vergrößerte Ventrikel sind sonographisch leicht als paarige hypoechogene Strukturen zu erkennen. Bei hochgradiger Dilatation der Ventrikel fehlt das die Seitenventrikel normalerweise trennende Septum pellucidum, und die Ventrikel erscheinen als eine einzige große echofreie Struktur (Abbildung 4).

Ein periventrikuläres Ödem beurteilt man am besten in stark T2-gewichteten Fluid-Attenuated-Inversion-Recovery-Sequenzen (FLAIR-Sequenzen), in denen sich Liquor dunkel und das Ödem der weißen Substanz hell darstellt (Abbildung 5). Ein periventrikuläres Ödem ist in der Regel eher assoziiert mit einem akuten Hydrocephalus und erhöhtem intraventrikulärem Druck und weniger mit einem chronischen, relativ kompensierten Hydrocephalus bei normalem intraventrikulärem Druck ([7]).

Abbildung 5. Ein periventrikuläres Ödem bei akutem Hydrocephalus wird am besten mittels transversalem FLAIR-MRT dargestellt. Zu beachten ist die Hyperintensität der den Seitenventrikeln benachbarten weißen Substanz (Pfeile) und die abgerundete Form der Ventrikel, die auf einen erhöhten intraventrikulären Druck hinweist.© William B. Thomas
Abbildung 5. Ein periventrikuläres Ödem bei akutem Hydrocephalus wird am besten mittels transversalem FLAIR-MRT dargestellt. Zu beachten ist die Hyperintensität der den Seitenventrikeln benachbarten weißen Substanz (Pfeile) und die abgerundete Form der Ventrikel, die auf einen erhöhten intraventrikulären Druck hinweist.© William B. Thomas

Wichtig ist eine differenzialdiagnostische Unterscheidung zwischen Hydrocephalus und einer sekundären Ventrikulomegalie infolge einer Hirnatrophie. Letztere ist gekennzeichnet durch eine Verbreiterung der Sulci cerebri (Hirnfurchen) und des Subarachnoidalraumes (Abbildung 6). Dagegen sprechen eine Abflachung der Sulci cerebri, ein periventrikuläres Ödem, eine Abrundung des frontalen Anteils der Seitenventrikel und eine ventrale Verlagerung des dritten Ventrikels für einen Hydrocephalus mit erhöhtem intraventrikulärem Druck.

Abbildung 6. Eine Hirnatrophie kann im MRT diagnostiziert werden. Dieses transversale T2-gewichtete MRT zeigt eine Vergrößerung der Sulci und des Subarachnoidalraumes infolge eines Verlustes an Hirngewebe (Pfeile).© William B. Thomas
Abbildung 6. Eine Hirnatrophie kann im MRT diagnostiziert werden. Dieses transversale T2-gewichtete MRT zeigt eine Vergrößerung der Sulci und des Subarachnoidalraumes infolge eines Verlustes an Hirngewebe (Pfeile).© William B. Thomas

Bei Verdacht auf Meningoencephalitis können bei der labordiagnostischen Analyse des Liquors eine erhöhte Zahl weißer Blutkörperchen und ein erhöhter Proteingehalt festzustellen sein. Vor der Entnahme von Liquorproben sollten jedoch eine CT oder MRT durchgeführt werden, um jegliche Verschiebung bzw. Verlagerung von Hirngewebe, wie zum Beispiel einen caudalen Vorfall von Kleinhirnanteilen oder andere Anomalien nachweisen zu können, die das Risiko bei einer Liquorentnahme aus der Cisterna cerebello-medularis erhöhen könnten. In einigen Fällen kann es sicherer sein, Liquor direkt aus einem erweiterten Seitenventrikel über eine persistierende Fontanelle zu entnehmen. Bei Patienten mit persistierender Fontanelle kann ein vergrößerter Seitenventrikel mit einer lateral an der Fontanelle eingestochenen 25G-Kanüle unter Vermeidung des in der Mittellinie befindlichen Sinus sagittalis punktiert werden. Ultraschall ist hilfreich bei der Bestimmung der Tiefe des Zentrums des Ventrikels. Bei den meisten Patienten können 2 ml Liquor sicher entnommen werden.

Medikamentöse Behandlung

Die medikamentöse Therapie kommt zum Einsatz, wenn eine chirurgische Behandlung keine Option oder nicht angezeigt ist, aber auch für das kurzfristige Management einer akuten Verschlechterung im Vorfeld einer geplanten chirurgischen Intervention. Verschiedene Arzneimittel werden zur Reduktion der Liquorproduktion eingesetzt und können zu einer vorübergehenden Linderung klinischer Symptome führen. Acetazolamid (10 mg/kg PO alle 8 Std.) ist ein Carboanhydrasehemmer, der die Liquorproduktion reduziert. Furosemid (1 mg/kg PO alle 24 Std.) hemmt die Liquorbildung zu einem geringeren Grad durch partielle Hemmung der Carboanhydrase. Auch Omeprazol (0,5 mg/kg PO alle 24 Std.) wird für die Reduzierung der Liquorproduktion empfohlen, obgleich verschiedene Studien an gesunden Hunden diesbezüglich widersprüchliche Ergebnisse liefern ([8], [9]). Glucocorticoide werden bei veterinärmedizinischen Patienten ebenfalls häufig für die Behandlung des Hydrocephalus eingesetzt. Ein beispielhaftes Behandlungsprotokoll umfasst die Gabe von Prednison in einer Dosierung von 0,25 bis 0,5 mg/kg alle 12 Stunden, bis sich die klinischen Symptome bessern, und eine anschließende Reduzierung der Dosierung in wöchentlichen Intervallen bis auf eine Erhaltungsdosis von 0,1 mg/kg jeden zweiten Tag. Bei Patienten mit hochgradigen oder schnell fortschreitenden Symptomen wird gelegentlich eine Aspiration von Liquor als temporäre Maßnahme zur Senkung des intraventrikulären Drucks eingesetzt und dient darüber hinaus der Einschätzung, ob ein Patient von einem chirurgischen Shunt profitieren würde oder nicht.

Chirurgische Behandlung

Die endgültige Behandlung des Hydrocephalus erfordert das Legen eines ventrikuloperitonealen Shunts zur Ableitung von Liquor aus den Ventrikeln in den Peritonealraum. Das Vorhandensein einer Fontanelle oder vergrößerter Ventrikel ohne klinische Symptome ist allein keine Indikation für einen chirurgischen Eingriff. Eine klare Indikation für das Legen eines Shunts besteht dagegen bei einem jungen Patienten mit neurologischen Defiziten, Ventrikulomegalie und Hinweisen auf einen erhöhten intraventrikulären Druck. Eine weitere Indikation ist eine fortschreitende Ventrikulomegalie, es sei denn, es handelt sich um die Folge einer Atrophie des Cortex cerebri. Bei älteren Patienten mit stabilen klinischen Symptomen und stabiler Ventrikulomegalie wird eine chirurgische Behandlung in der Regel nicht in Betracht gezogen ([10]). Ein Shunt kann zu einer Palliation der klinischen Symptome bei erworbenem Hydrocephalus führen und sollte insbesondere im Falle eines obstruktiv gestörten Liquorflusses in Erwägung gezogen werden (z. B. in Folge eines Tumors oder einer Entzündung).

Verschiedene Shuntsysteme aus der Humanmedizin können sowohl bei Hunden als auch bei Katzen eingesetzt werden. Pädiatrische Versionen oder kleinlumige Systeme für Kinder sind auch für kleine Hunde geeignet. Ein Shunt besteht aus drei grundlegenden Komponenten: einem ventrikulären Katheter, der in den Ventrikel gelegt wird, einem Ventil und einem peritonealen Katheter, der in das Abdomen gelegt wird (Abbildung 7). Am häufigsten kommen Differenzialdruckventile zum Einsatz, die sich öffnen, wenn der Druckunterschied am Ventil einen zuvor festgelegten Schwellenwert überschreitet. Die meisten Hersteller bieten nicht-verstellbare Druckventile in drei oder vier Kategorien an, z. B. sehr niedrig (< 1 cm H20), niedrig (1-4 cm H20), mittel (4-8 cm H20) und hoch (> 8 cm H20). Membranventile werden am häufigsten eingesetzt und arbeiten nach dem Prinzip der Deflektion einer Silikonmembran als Reaktion auf Druck. Bei einigen Shunts werden auch Schlitzventile eingesetzt. Diese verfügen über einen oder mehrere Schlitze im Schlauch (in der Regel am distalen Ende), die sich je nach Dicke und Steifheit des Schlauchmaterials öffnen und schließen. In der Humanmedizin kommt es bei distalen Schlitzen häufiger zu Obstruktionen des Shunts aufgrund des Netzes (Omentum) und proteinartigem Debris ([11]). Ebenfalls erhältlich sind einstellbare („programmierbare“) Ventile, deren Öffnungsdruck perkutan angepasst werden kann, wenn sich der klinische Zustand des Patienten verändert.

Abbildung 7. Ventrikuloperitoneales Shuntsystem: (A) ventrikulärer Katheter, (B) Ventil und (C) peritonealer Katheter.© William B. Thomas
Abbildung 7. Ventrikuloperitoneales Shuntsystem: (A) ventrikulärer Katheter, (B) Ventil und (C) peritonealer Katheter.© William B. Thomas

Daten zum optimalen Öffnungsdruck bei Hunden gibt es nicht. In der humanen Pädiatrie versagen Niedrigdruckventile jedoch mit höherer Wahrscheinlichkeit als Ventile mit mittlerem oder hohem Öffnungsdruck, in der Regel aufgrund einer Obstruktion des ventrikulären Katheters im Zuge der Abnahme der Ventrikelgröße ([12]). Generell sollte sich ein Chirurg mit einem spezifischen System vertraut machen und dieses Produkt konstant einsetzen.

Die chirurgische Technik entspricht prinzipiell der aller Shunts, obgleich es je nach verwendetem System im Detail geringfügige Abweichungen geben kann. Ein streng aseptisches Vorgehen und eine sorgfältige Blutstillung sind die Voraussetzungen für eine Minimierung des Infektions- und Obstruktionsrisikos des Shunts. Die Bestimmung der Inzisions- bzw. Trepanationsstelle am Schädel erfolgt im Rahmen einer präoperativen bildgebenden Untersuchung des Gehirns unter der Maßgabe, dass die Spitze des Katheters in das Zentrum des Okzipitalhorns oder des Frontalhorns platziert wird, unter Schonung des Plexus choroideus. Das Abdomen wird 2-3 cm kaudal der letzten Rippe inzidiert, etwa auf halbem Weg zwischen der lumbalen Wirbelsäule und der ventralen Seite des Abdomens. Die relevanten Areale werden geschoren und vom Kopf bis zur abdominalen Inzisionsstelle vorbereitet. Der ventrikuläre Katheter wird über eine Trepanation im Schädel in den erweiterten Ventrikel gelegt und in einem oder zwei kleinen Löchern im Knochen mit Nähten fixiert. Die sichere Verankerung des Katheters am Schädel ist wichtig, um eine Verlagerung zu vermeiden (Abbildung 8). Eine zweite Inzision wird am Abdomen gesetzt, um das distale Ende des Shunts in der Peritonealhöhle zu versenken. Die beiden Inzisionen werden anschließend über einen subkutanen Tunnel miteinander verbunden, und der Shunt wird von der cranialen Inzision durch das subkutaneGewebe in die abdominale Inzision geführt (Abbildung 9). Die Fixation des Shuntschlauches an der Abdominalwand erfolgt mit nicht absorbierbarem Nahtmaterial, das über einen Verankerungsclip oder mit Hilfe einer Chinese-Finger-Trap-Naht am Schlauch fixiert wird. Schließlich werden der Bauchmuskel mit absorbierbarem Nahtmaterial adaptiert, und das subkutane Gewebe und die Haut werden routinemäßig verschlossen.

Abbildung 8. Während des chirurgischen Eingriffes wird der ventrikuläre Katheter am Schädel fixiert.© William B. Thomas
Abbildung 8. Während des chirurgischen Eingriffes wird der ventrikuläre Katheter am Schädel fixiert.© William B. Thomas
Abbildung 9. Mit Hilfe einer Untertunnelungsnadel wird ein subkutaner Tunnel zwischen abdominaler und kranieller Inzision hergestellt.© William B. Thomas
Abbildung 9. Mit Hilfe einer Untertunnelungsnadel wird ein subkutaner Tunnel zwischen abdominaler und kranieller Inzision hergestellt.© William B. Thomas

Postoperative Überlegungen

Präoperative Antibiotika werden gelegentlich über 7-10 Tage nach dem chirurgischen Eingriff fortgesetzt, bei Patienten ohne Komplikationen ist eine verlängerte antibiotische Behandlung jedoch nicht angezeigt ([13]). Die Schmerzkontrolle erfolgt zunächst über injizierbare Analgetika und wird im weiteren Verlauf auf eine orale Medikation umgestellt. Präoperativ verabreichte Antikonvulsiva werden nach Bedarf fortgesetzt. Röntgenaufnahmen in zwei Ebenen des gesamten Shuntverlaufs vom Schädel zum Abdomendienen als Vergleichsbasis für etwaige Komplikationen in der Zukunft (Abbildung 10). Präoperative neurologische Defizite gehen nach Legen des Shunts in der Regel schnell zurück. Die Patienten werden innerhalb der ersten zwei bis drei Monate einer Nachkontrolle mittels Ultraschall, CT oder MRT unterzogen, um die Ventrikelgröße zu messen und Vergleichsdaten für weitere Kontrolluntersuchungen zu erheben (Abbildung 11).

Abbildung 10. Postoperative Röntgenaufnahmen in zwei Ebenen des gesamten Shunts vom Schädel bis zum Abdomen dienen als Vergleichsbasis für die Beurteilung etwaiger späterer Komplikationen. In dieser lateralen Aufnahme sind das Ventil und der Injektionspunkt deutlich sichtbar (Pfeil).© William B. Thomas
Abbildung 10. Postoperative Röntgenaufnahmen in zwei Ebenen des gesamten Shunts vom Schädel bis zum Abdomen dienen als Vergleichsbasis für die Beurteilung etwaiger späterer Komplikationen. In dieser lateralen Aufnahme sind das Ventil und der Injektionspunkt deutlich sichtbar (Pfeil).© William B. Thomas
Abbildung 11. Präoperative (links) und postoperative (rechts) MRT-Aufnahmen zeigen, dass die Seitenventrikel nach Legen des Shunts kleiner sind und jetzt der Subarachnoidalraum und die Sulci zu erkennen sind. Der ventrikuläre Katheter ist im Seitenventrikel zu erkennen (Pfeil).© William B. Thomas
Abbildung 11. Präoperative (links) und postoperative (rechts) MRT-Aufnahmen zeigen, dass die Seitenventrikel nach Legen des Shunts kleiner sind und jetzt der Subarachnoidalraum und die Sulci zu erkennen sind. Der ventrikuläre Katheter ist im Seitenventrikel zu erkennen (Pfeil).© William B. Thomas

Potenzielle Komplikationen sind Obstruktionen, eine Überdrainage, Infektionen und eine Unterbrechung oder Abkopplung des Shunts. Obstruktionen können grundsätzlich an jeder Stelle des Shuntverlaufs auftreten, sie entstehen aber am häufigsten im Bereich des ventrikulären Katheters. Obstruktionen des Ventils kommen seltener vor und treten in der Regel bereits kurze Zeit nach Legen des Shunts auf, vermutlich durch Blut oder zellulären Debris. Auch das Abknicken des Shuntsystems kann eine Obstruktion verursachen. Jede Form der Obstruktion kann letztlich ein Rezidiv der ursprünglichen neurologischen Symptome hervorrufen ([13], [14], [15]).

Eine Überdrainage kann zu einem Kollaps des Ventrikels und des Cortex cerebri mit extraaxialer Akkumulation von Blut oder Flüssigkeit führen.Am häufigsten kommt dies bei Patienten mit sehr stark erweiterten Ventrikeln und dünnem Cortex vor. Eine subdurale Flüssigkeitsansammlung verläuft oft asymptomatisch, ein großes oder schnell expandierendes Hämatom kann jedoch fortschreitende neurologische Defizite hervorrufen ([16]). Eine Überdrainage erhöht wahrscheinlich auch das Obstruktionsrisiko, da der Ventrikel kollabiert und sich der Katheter an die Ventrikelwand anlagert oder in den Plexus choroideus einbettet ([17]). Bei Menschen kann eine Überdrainage zu sehr kleinen Ventrikeln und Episoden mit erhöhtem intrakraniellem Druck und Kopfschmerzen führen. Diese Komplikation wird auch als Schlitzventrikelsyndrom bezeichnet. Sehr kleine Ventrikel erlauben dem Gehirn, nahezu den gesamten intrakraniellen Raum zu füllen, wodurch die Fähigkeit verloren geht, transiente Anstiege des intrakraniellen Volumens zu kompensieren. Bei Hunden können nach dem Einlegen von Shunts Schmerzepisoden auftreten, die dem Schlitzventrikelsyndrom humaner Patienten ähneln ([14]).

Shuntinfektionen äußern sich als Shuntobstruktion, Meningitis oder unspezifische Symptome wie Fieber und Lethargie ([15], [16]). Die Diagnose stützt sich auf die zytologische und kulturelle Untersuchung von Liquorproben aus dem Shuntsystem. Entsprechende Infektionen können unter einer antibiotischen Therapie auf der Basis von Kultur und Empfindlichkeitstest innerhalb von vier Wochen zurückgehen ([15]), persistierende Infektionen erfordern jedoch einen vollständigen Austausch des Shunts.

Weitere Komplikationen sind das Abkoppeln von Shuntkomponenten oder das Herausrutschen des ventrikulären Katheters aus dem Ventrikel bzw. des distalen Katheters aus dem Abdomen ([13], [15], [16]). In der Regel treten diese Komplikationen bereits kurze Zeit nach dem Legen des Shunts auf und können mit Hilfe von Leerröntgenaufnahmen nachzuweisen sein. Bei etwa 72-85 % der mit einem ventrikuloperitonealen Shunt behandelten Hunde kommt es zu einer Langzeitverbesserung, und bei 15-20 % der Patienten ist eine Revision des Shunts erforderlich, meist aufgrund einer Obstruktion, eines Bruchs oder einer Wanderung des Shunts ([13], [14], [15]).

Voraussetzung für ein optimales Management eines Hydrocephalus bei Hunden kleiner Rassen ist eine genaue Diagnose, die sich wiederum auf den Vorbericht, die klinische Untersuchung und die Befunde der bildgebenden Untersuchung des Gehirns stützt. Patienten mit geringgradigen Symptomen können medikamentös behandelt werden, obgleich eine Prognose in diesen Fällen sehr schwierig zu stellen ist. Die endgültige Behandlung erfordert das Legen eines ventrikuloperitonealen Shunts, der bei den meisten Patienten zu guten Ergebnissen führt.

 

William B. Thomas

William B. Thomas

DVM, MS, Dipl. ACVIM (Neurology)

Vereinigte Staaten von Amerika

William Thomas erhielt seine Approbation (DVM) und den MS-Titel an der Auburn University und absolvierte dort eine Residency in Neurologie und Neurochirurgie. Gegenwärtig ist er Professor für Neurologie und Neurochirurgie an der University of Tennessee. Dr. Thomas ist Diplomate des ACVIM (Neurologie), Co-Autor zweier Neurologie-Lehrbücher sowie Autor von über 75 fachlich begutachteten Artikeln und Buchkapiteln.

Literatur
  1. Rekate HL. A contemporary definition and classification of hydrocephalus. Semin Pediatr Neurol 2009;16:9-15.
  2. Yamada H, Yokota A, Furuta A, et al. Reconstitution of shunted mantle in experimental hydrocephalus. J Neurosurg 1992;76:856-862.
  3. Selby LA, Hayes HM, Jr, Becker SV. Epizootiologic features of canine hydrocephalus. Am J Vet Res 1979;40:411-413.
  4. Simpson ST. Hydrocephalus. In: Kirk RW, Bonagura, JD. (eds.) Current Veterinary Therapy X Small Animal Practice. Philadelphia: WB Saunders; 1989;842-845.
  5. Nykamp S, Scrivani P, DeLahunta A, et al. Chronic subdural hematomas and hydrocephalus in a dog. Vet Radiol Ultrasound 2001;42:511-514.
  6. Laubner S, Ondreka N, Failing K, et al. Magnetic resonance imaging signs of high intraventricular pressure – comparison of findings in dogs with clinically relevant internal hydrocephalus and asymptomatic dogs with ventriculomegaly. BMC Vet Res 2015;11:181.
  7. Naidich TP, Schott LH, Baron RL. Computed tomography in evaluation of hydrocephalus. Radiol Clin North Am 1982;20:143-167.
  8. Javaheri S, Corbett WS, Simbartl LA, et al. Different effects of omeprazole and Sch 28080 on canine cerebrospinal fluid production. Brain Res 1997;754:321-324.
  9. Girod M, Allerton F, Gommeren K, et al. Evaluation of the effect of oral omeprazole on canine cerebrospinal fluid production: a pilot study. Vet J 2016;209:119-124.
  10. Iantosca MR, Drake JM. Cerebrospinal fluid shunts. In: Albright AL, Pollack IF, Adelson PD, (eds.) Operative Techniques in Pediatric Neurosurgery. New York: Thieme; 2001;3-14.
  11. Cozzens JW, Chandler JP. Increased risk of distal ventriculoperitoneal shunt obstruction associated with slit valves or distal slits in the peritoneal catheter. J Neurosurg 1997;87:682-686.
  12. Robinson S, Kaufman BA, Park TS. Outcome analysis of initial neonatal shunts: does the valve make a difference? Pediatr Neurosurg 2002;37:287-294.
  13. Biel M, Kramer M, Forterre F, et al. Outcome of ventriculoperitoneal shunt implantation for treatment of congenital internal hydrocephalus in dogs and cats: 36 cases (2001-2009). J Am Vet Med Assoc 2013;242:948-958.
  14. Shihab N, Davies E, Kenny PJ, et al. Treatment of hydrocephalus with ventriculoperitoneal shunting in twelve dogs. Vet Surg 2011;40:477-484.
  15. de Stefani A, de Risio L, Platt SR, et al. Surgical technique, postoperative complications and outcome in 14 dogs treated for hydrocephalus by ventriculoperitoneal shunting. Vet Surg 2011;40:183-191.
  16. Kitagawa M, Kanayama K, Sakai T. Subdural accumulation of fluid in a dog after the insertion of a ventriculoperitoneal shunt. Vet Rec 2005;156:206-208.
  17. Sainte-Rose C, Piatt JH, Renier D, et al. Mechanical complications in shunts. Pediatr Neurosurg 1991;17:2-9.

Auf sozialen Medien teilen