HomeVeterinaryLegg-Calvé-Perthes disease in dogs

Legg-Calvé-Perthes disease in dogs

Written by Darryl L. Millis

 

Avascular necrosis of the femoral head – more commonly known as Legg-Calvé-Perthes disease – is a commonly occurring problem in small dog breeds. Professor Millis presents an overview of the disease and the preferred options available for treating the condition.

Article

Reading time5 - 15 min
Legg-Calvé-Perthes disease in dogs

Key Points

Group 15 1

Legg-Calvé-Perthes disease is a degenerative condition of the femoral head and neck that leads to collapse of the femoral head and neck, secondary osteoarthritis, pain and lameness.

Group 15 2

The condition is found in toy and miniature breeds of dog less than one year of age.

Group 15 3

The treatment is generally femoral head and neck excision, although total hip replacement is an option.

Group 15 4

Postoperative pain management and physical rehabilitation are key for successful use of the limb.

Introduction

Legg-Calvé-Perthes disease (LCPD) is a condition of the hip joint found in small breeds of dog. Also frequently called avascular necrosis of the femoral head, it is a non- inflammatory, aseptic necrosis of the femoral head that occurs in young dogs, generally between 5-8 months of age. As the bone undergoes necrosis, collapse of the femoral head and neck occur, resulting in deformities, pain, and secondary osteoarthritis. Treatment generally consists of surgical intervention which, with good post-operative pain management and physical rehabilitation, can result in a satisfactory outcome.

What’s the underlying pathophysiology of LCPD?

It has been suggested that ischemia to the femoral head and neck results from vascular compromise, possibly of the joint capsule that provides blood supply to the femoral epiphysis. The femoral head and neck then undergo necrosis. Weight-bearing results in microfractures of the necrotic trabeculae and eventually leads to collapse of the bony structures [1]. The articular cartilage also deforms and may crack, resulting in an irregular surface. As a result, the dog becomes painful, especially with hip extension. There is also significant lameness, often resulting in the dog carrying the affected limb.

The disease is usually well under way before clinical signs are noticed by the owner; one study that looked at puppies bred from parents known to be susceptible to LCPD reported radiographic changes in the affected femurs two to three weeks before the onset of lameness and muscle atrophy [2]. Eventually the necrotic areas heal with new bone, but significant deformity exists. Because of the joint incongruity, the entire joint undergoes degeneration and osteoarthritis ensues. Other potential causes of LCPD include an excess of sex hormones and alterations in anatomical conformation [3] [4], but the disease process is not yet fully understood. One study evaluated the structural changes in the femoral head using microcomputer tomography (micro-CT) [5] and reported an unexpected result that contradicted the prevailing understanding of LCPD. Instead of observing a thickening of the bone trabeculae caused by layering of new bone matrix on top of necrotic trabeculae, an increase in trabecular count and a smaller trabecular thickness was found. The authors concluded that trabecular regeneration is more prominent or prevails over the traditionally described layering processes in the revascularization and repair processes occurring in this condition.

Because most dogs affected by LCPD are small breed dogs, a genetic basis may be suspected. A test mating between two Manchester Terriers affected by LCPD resulted in three affected males and two unaffected females; analysis of the pedigrees and the test mating suggested that LCPD is an inherited condition with high heritability [2]. Another analysis of pedigrees of affected dogs suggested that LCPD is caused by a homozygous autosomal recessive gene [6], but this may be an oversimplification. The genetic mechanism may be more complex, because it is difficult to reconcile a skeletal abnormality confined to the femoral head with a single major gene effect [6]. One study evaluated genomic DNA for a gene mutation. Studies of LCPD in humans have reported a mutation in the COL2A1 gene, and because canine LCPD is similar to LCPD in humans, COL2A1 was investigated as a candidate gene for LCPD in West Highland White Terriers. However, sequencing of COL2A1 was not associated with LCPD in affected dogs [7].

Which breeds of dog are most often affected?

Because of the likelihood of a genetic basis for LCPD, a predilection to certain breeds may be expected. Australian Shepherd dogs, Cairn Terriers, Chihuahuas, Dachshunds, Lhasa Apsos, Pugs, Yorkshire Terriers, West Highland White Terriers, Miniature Poodles, Toy Poodles, and Miniature Pinschers are the breeds identified to be at greatest risk for a diagnosis of LCPD [8] [9]. Males and females are equally affected, and in some dogs (12-16.5%) the condition may be present in both pelvic limbs [1] [3].

What clinical signs are seen with LCPD?

The most common clinical signs noted with LCPD are generally as a result of pain. Initially, affected dogs may be irritable and resist jumping up, especially onto furniture. They may also dislike climbing stairs. As the condition progresses, pain may be elicited with extension and abduction of the hip joint. Lameness generally progresses from barely perceptible to completely non weight-bearing. Atrophy of the muscles on the affected side is generally noticed within two weeks of onset.

What are the most common diagnostic imaging signs?

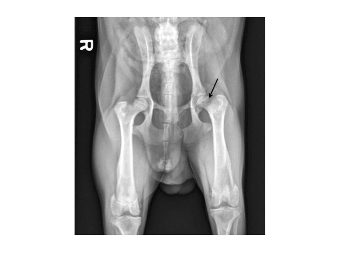
Although the clinical exam findings, along with a typical signalment, are highly suggestive of LCPD, radiographs are usually obtained as supporting evidence for LCPD. Initially areas of lysis and demineralization may be present in the subchondral region of the femoral head and neck (Figure 1). As the condition progresses, obvious collapse of the femoral head and neck may be apparent (Figure 2). Later in the course of the disease, evidence of re-mineraliz- ation and bone healing may be present. Secondary osteo- arthritic changes may be seen, including formation of osteophytes (especially along the dorsal acetabular rim and femoral head) and flattening of the femoral head. 

A radiograph of a dog showing typical early changes of LCPD. The arrow denotes areas of early demineralization.
Figure 1. A radiograph of a dog showing typical early changes of LCPD. The arrow denotes areas of early demineralization.© Darryl L. Millis
This radiograph demonstrates moderate changes seen with LCPD. The arrow denotes significant subchondral and femoral neck bone loss, with remodeling of the femoral head.
Figure 2. This radiograph demonstrates moderate changes seen with LCPD. The arrow denotes significant subchondral and femoral neck bone loss, with remodeling of the femoral head.© Darryl L. Millis

Radiographic changes have been categorized according to their severity during the progression of the disease, as set out in Table 1.

Grade 1 The first radiographic sign to appear is a widened joint space; early in the course of the disease, areas of decreased density may also be noted in both the proximal femoral epiphysis and metaphysis.
Grade 2/3 With disease progression, flattening and irregularity of the femoral head become apparent; more numerous areas of decreased opacity may bring a lytic appearance to the femoral head and neck.
Grade 4 A more accentuated flattening and irregularity of the femoral head and neck, caused by collapse and remodeling of the affected bone, may lead to widening and subluxation of the coxofemoral joint space.
Grade 5 In the advanced stages, fragmentation of the femoral head and discontinuity of the articular surface may occur.
Table 1. Categorization of radiographic changes in LCPD (3).

Magnetic resonance imaging (MRI) has also been used experimentally to evaluate dogs with LCPD and is generally able to detect changes earlier when compared to conventional radiography [10]. However, the clinical utility of MRI in affected dogs is questionable, because most dogs do not show clinical signs (and are therefore not presented to the veterinarian) until there is moderate to severe bone pathology, at which point radiographic changes are present. In certain cases, MRI may be useful to evaluate dogs that have a high risk of developing LCPD as a result of genetic influence.

What’s the preferred treatment for LCPD?

LCPD is generally a condition managed surgically because the pathology usually precludes clinical recognition by the owner, and the bony changes are usually too far advanced for medical management to be successful. However, if the condition is recognized very early, it is possible to treat LCPD medically. In one case report LCPD was diagnosed in a 5-month-old Schipperke, before the development of femoral head and neck col-lapse [11]. An Ehmer sling was used to prevent weight- bearing during revascularization and re-ossification of the subchondral bone. Radiographs at 10 and 24 weeks indicated that such conservative treatment was successful in treating LCPD and in maintaining joint function. One author has suggested that it may be worthwhile embarking on a short period of conservative management followed by surgery if the results are not satisfactory [4]. However, caution should be exercised with this approach; if surgical intervention is delayed for too long, secondary changes (such as muscle atrophy) can occur, which may be difficult to reverse.

In nearly all cases, irreversible bony deformities and osteoarthritis will have already occurred by the time of clinical diagnosis, and in these dogs surgical intervention will likely result in the best functional outcome. Most cases are treated with a femoral head and neck ostectomy (FHO).

Femoral head and neck excision. The black arrow indicates the region of the cranial acetabulum (the white area underneath the arrow is articular cartilage of the acetabulum; the tissue at the tip of the arrow is the remaining ligament of the femoral head). The bracket indicates the femur following osteotomy and removal of the femoral head and neck. The osteotomy runs from the medial aspect of the greater trochanter to the lesser trochanter.
Figure 3. Femoral head and neck excision. The black arrow indicates the region of the cranial acetabulum (the white area underneath the arrow is articular cartilage of the acetabulum; the tissue at the tip of the arrow is the remaining ligament of the femoral head). The bracket indicates the femur following osteotomy and removal of the femoral head and neck. The osteotomy runs from the medial aspect of the greater trochanter to the lesser trochanter.© Darryl L. Millis
Closure of the dorsal joint capsule of the acetabulum (white arrow) to the ventral joint capsule (black arrow). The capsule will provide soft tissue between the acetabulum and the femoral osteotomy, indicated by the bracket.
Figure 4. Closure of the dorsal joint capsule of the acetabulum (white arrow) to the ventral joint capsule (black arrow). The capsule will provide soft tissue between the acetabulum and the femoral osteotomy, indicated by the bracket.© Darryl L. Millis

To obtain excellent results with an FHO, it is critical to perform the surgery correctly. A craniolateral approach to the coxofemoral joint is performed and the joint capsule is exposed. An arthrotomy is performed by incising the joint capsule just above its insertion on the femoral neck. The round ligament is cut and the femoral head is externally rotated. An instrument such as a spay hook may be used to elevate the femoral head from the acetabulum and to help protect the sciatic nerve, which runs just caudal to the femoral neck. A small power saw, Gigli wire, or osteotome and mallet may be used to perform the osteotomy; in some cases, the bone may be very soft or even fractured, and in this case a rongeur may be used to remove the remaining femoral head. To account for femoral head and neck anteversion, the femur must be adequately externally rotated. This may be accomplished by placing the point of the hock (tuber calcis) against the lateral chest wall. The osteotomy is performed from the base of the greater trochanter to the lesser trochanter (Figure 3). After removal of the femoral head and neck, the site should be palpated for any sharp pieces of remaining bone, typically on the caudomedial aspect of the osteotomized femur. If noted, bony spurs can be removed with rongeurs and the site may then be smoothed using a rasp. The area should be copiously lavaged to remove any remaining fragments or bone dust. The pseudoarthrosis is placed through a range of motion to be certain that significant bone-on- bone contact is not present. The joint capsule originating from the dorsal rim of the acetabulum may then be sutured over the ventral aspect of the acetabulum to add soft tissue interposition between the acetabulum and the remaining femur (Figure 4). Postoperative radiographs should be obtained to confirm that the entire femoral head and neck have been removed (Figure 5).

Postoperative radiograph following femoral head and neck ostectomy. The line of the osteotomy runs from the medial aspect of the greater trochanter to the lesser trochanter to minimize bone-on-bone contact.
Figure 5. Postoperative radiograph following femoral head and neck ostectomy. The line of the osteotomy runs from the medial aspect of the greater trochanter to the lesser trochanter to minimize bone-on-bone contact.© Darryl L. Millis

Recently, with advances and improvement of total hip replacement implants, micro total hip replacement has been performed on some dogs with LCPD, but a full discussion on this option is outwith the scope of this paper. It is however worth noting that although very good results have been achieved with a micro total hip replacement system [12], the use of a nano system resulted in a 33% complication rate [13].

How is LCPD managed post-operatively?

The postoperative care following femoral head and neck osteotomy is critical to success [14]. The postoperative care actually begins with pre-emptive pain management. Most dogs will already be on a non-steroidal anti-inflammatory drug (NSAID) prior to surgery; it is best to use a COX-2 selective inhibitor to help reduce the risk of adverse events. In addition, opioid analgesics, an epidural anesthetic, and excellent postoperative analgesic administration, such as continuous rate infusion medications, will help to maintain the patient’s comfort. Gabapentin may also be added to supplement the NSAID postoperatively. On occasion, administration of oral opioids, such as codeine, may also be useful in the postoperative period.

Rehabilitation can begin immediately after surgery, i.e., while the patient is still recovering from anesthesia. The joint is put through a slow, continuous range of motion until the patient begins to awaken. If the dog is not hypothermic from anesthesia, a cold pack may be placed over the site to help reduce inflammation, swelling and pain. If the patient is hypothermic, cryotherapy may be instituted after the dog regains adequate core body temperature.

The morning after surgery, analgesics are administered prior to beginning rehabilitation. Cryotherapy may be applied for 15-20 minutes over the surgical site. At the same time, it is also possible to administer transcutaneous electrical nerve stimulation (TENS) for additional pain control; the author prefers to apply four electrodes in a crossed- type pattern with interferential current to provide good analgesia. Following cryotherapy, the pseudoarthrosis is gently flexed and extended for 20 repetitions. Therapeutic laser may also help with swelling and pain control. Weight shifting while the dog is in a standing position will help encourage toe touching. Assisted walking with a sling placed under the abdomen will help to encourage limb motion and weight-bearing. If the limb is held in a highly flexed position, additional pain medication should be administered. Dogs that are relatively comfortable will carry the limb close to the ground, such that the toes nearly touch the floor. When this point is reached, weight-bearing commonly begins, especially after weight shifting exercises. Cryotherapy, range of motion, weight shifting and assisted sling walking may be performed 3-4 times per day until initial weight-bearing begins, typically 3-5 days postoperatively.

It is important to try to regain as much motion of the pseudoarthrosis as possible during the first two weeks, especially extension. If the range of motion is limited, application of a hot pack for 15-20 minutes prior to physiotherapy may help with tissue extensibility; note that hot packs should not be used for the first 72 hours postoperatively because this may increase inflammation. Stretching of the pseudo- arthrosis may also be performed by holding the joint at the end range of motion for 15 seconds while maintaining some tension during the stretch, and repeating this 10- 15 times per session, with three sessions per day.

Other activities that are helpful during the first 2-3 weeks postoperatively are walking on a ground treadmill and balance exercises on an inflated disc or cushion. As the patient improves, other activities such as walking up in-clines, sit-to-stand exercises, walking on an underwater treadmill, swimming, walking up steps, and jogging help to improve limb use and muscle mass. For patients that are not using the limb well after 10-14 days, an irritant may be placed on the bottom of the contralateral limb, such as a bottle cap or syringe cap; this may help to encourage weight-bearing on the surgical limb. A light-limb weight placed on the affected limb may help with strengthening of flexor muscles. Consultation with a person trained in canine rehabilitation may be helpful for further guidance.

What’s the prognosis for LCPD?

The prognosis following diagnosis and treatment of dogs afflicted with LCPD is generally good. It is worth making the point that care should be taken to be certain that other orthopedic conditions, such as luxating patellas, are not present that could affect limb use, and the reader is referred to Table 2 which offers a brief differential diagnoses of pelvic limb orthopedic conditions in small breed dogs. Small dogs usually do quite well following FHO and rehabilitation. A retrospective study [4] evaluated conservative treatment (consisting of exercise therapy) and surgical treatment (FHO) for dogs with LCPD; it concluded that FHO is indicated when conservative treatment fails to lead to clinical improvement within four weeks. FHO has a good long-term prognosis, although slight intermittent lameness may remain. Similarly, dogs that have a total hip replacement can also be expected to do well. Because of the likelihood of a genetic component, breeding from affected individuals is not recommended, and it may be appropriate to consider neutering affected animals.

Pelvis
Neoplasia
Trauma/fractures
Coxofemoral joint Hip dysplasia
Legg-Calvé-Perthes disease (common)
Hip luxation (history of trauma)
Iliopsoas muscle/tendon strain
Osteochondritis dissecans of femoral head (unlikely)
Trauma/fractures (history of trauma)
Femur Panosteitis (unlikely)
Osteosarcoma (unlikely)
Trauma/fractures (history of trauma)
Stifle joint  Cranial cruciate ligament rupture (unlikely in a young dog)
Medial meniscus injury (unlikely in a young dog)
Caudal cruciate ligament rupture (unlikely)
Collateral ligament damage (history of trauma)
Disrupted stifle joint (history of trauma)
Patella luxation (medial luxation more common than lateral luxation)
Osteochondritis dissecans of the lateral femoral condyle (unlikely)
Trauma/fractures (history of trauma)
Long digital extensor tendon laceration/tear (unlikely)
Tibia Panosteitis (unlikely)
Osteosarcoma (unlikely)
Trauma/fractures (history of trauma)
Tarsus joint Osteochondritis dissecans of the trochlear ridges of talus (unlikely)
Calcaneal tendon injuries (unlikely unless trauma)
Luxation of superficial digital flexor tendon from tuber calcis (unlikely)
Shearing injuries/collateral ligament damage (history of trauma)
Trauma/fractures (history of trauma)
Digits and metatarsals Joint luxations (history of trauma)
Tendon and ligament lacerations/injuries (history of trauma)
Hypertrophic osteopathy (unlikely)
Trauma/fractures (history of trauma)
Shearing injuries (history of trauma)
Nutritional and metabolic causes of lameness  Overfeeding (common)
Nutritional or renal secondary hyperparathyroidism
Neoplasia other than osteosarcoma (uncommon)
Neurologic considerations

Lumbosacral instability (unlikely)
Spinal cord lesions:

• Thoracolumbar intervertebral disc disease (common)
• Spinal cord neoplasia (unlikely)
• Degenerative myelopathy (unlikely)

Spinal trauma (history of trauma)

Table 2. Differential diagnoses of pelvic limb orthopedic conditions in small breed dogs.

In conclusion, the diagnosis of Legg-Calvé-Perthes disease is generally straightforward in young toy and miniature breeds of dogs that exhibit hip pain, muscle atrophy, and moderate to severe lameness. The surgical management is also generally clear, but it is emphasized that good postoperative care can make a significant difference in the recovery, as well as the ultimate use of the limb.

 
References
  1. Lee R. A study of the radiographic and histological changes occurring in Legg-Calvé-Perthes Disease (LCP) in the dog. J Small Anim Pract 1970;11:621-638.
  2. Vasseur PB, Foley P, Stevenson S, et al. Mode of inheritance of Perthes’ disease in Manchester terriers. Clin Orthop Relat Res 1989;244:281-292.
  3. Ljunggren, G. Legg-Perthes disease in the dog. Acta Orthop Scand 1967;95(Suppl):22-26.
  4. Piek CJ, Hazewinkel HAW, Wolvekamp WTC, et al. Long-term follow-up of avascular necrosis of the femoral head in the dog. J Small Anim Pract 1996;37:12-18.
  5. Scherzer C, Windhagen H, Nellesen J, et al. Comparative structural analysis of the canine femoral head in Legg-Calvé-Perthes Disease. Vet Radiol Ultrasound 2009;50:404-411.
  6. Pidduck H, Webbon PM. The genetic control of Perthes’ disease in toy poodles — a working hypothesis. J Small Anim Pract 1978;19:729-733.
  7. Starr-Moss AN, Nowend KL, Alling KM, et al. Exclusion of COL2A1 in canine Legg-Calvé-Perthes disease. Animal Genetics 2011;43:112-113.
  8. LaFond E, Breur GJ, Austin CC. Breed susceptibility for developmental orthopedic diseases in dogs. J Am Anim Hosp Assoc 2002;38:467-477.
  9. Robinson R. Legg-Calvé-Perthes disease in dogs: genetic aetiology. J Small Anim Pract 1992;33:275-276.
  10. Bowlus RA, Armbrust LJ, Biller DS, et al. Magnetic resonance imaging of the femoral head of normal dogs and dogs with avascular necrosis. Vet Radiol Ultrasound 2008;49:7-12.
  11. Gibson KL, Lewis DD, Pechman RD. Use of external co-aptation for the treatment of avascular necrosis of the femoral head in a dog. J Am Vet Med Assoc 1990;197:868-870.
  12. Jankovits DA, Liska WD, Russell H, et al. Treatment of avascular necrosis of the femoral head in small dogs with micro total hip replacement. Vet Surg 2012;41:143-147.
  13. Ireifej S, Marino D, Loughin C. Nano total hip replacement in 12 dogs. Vet Surg 2012;41:130-135.
  14. Millis DL, Levine D. Canine Physical Therapy and Rehabilitation. Philadelphia: Elsevier Saunders 2013; Appendix 1, 703-706.
Darryl Millis

Darryl L. Millis

MS, DVM, Dipl. ACVS, CCRP, Dipl. ACVSMR

United States

Dr. Millis is Professor of Orthopedic Surgery and Director of Veterinary Sports Medicine at the University of Tennessee College of Veterinary Medicine. A Diplomate of both the American College of Veterinary Surgeons and American College of Veterinary Sports Medicine and Rehabilitation, Dr. Millis has authored or edited numerous publications, including the textbooks Small Animal Physical Therapy and Rehabilitation and Essential Facts of Physiotherapy. He was awarded the WSAVA Iams Paatsama Award in 2006.
Access the PDF of the issue

Share on social media