HomeVeterinariaEnfermedad de Legg-Calvé-Perthes en el perro

Enfermedad de Legg-Calvé-Perthes en el perro

Escrito por Darryl L. Millis

 

La necrosis avascular de la cabeza del fémur– más conocida como la enfermedad de Legg-Calvé-Perthes– es un trastorno frecuente en los perros de razas pequeñas. El profesor Millis nos presenta una visión general de la enfermedad y las posibles opciones para el tratamiento.

Reading time5 - 15 min
Enfermedad de Legg-Calvé-Perthes en el perro

Puntos Clave

Group 15 1

La enfermedad de Legg-Calvé-Perthes es una enfermedad degenerativa de la cabeza y del cuello del fémur que conduce a su colapso y al desarrollo secundario de osteoartritis, dolor y cojera.

Group 15 2

Es una enfermedad típica de perros de razas toy y miniatura de menos de un año de edad.

Group 15 3

El tratamiento generalmente se basa en la escisión de la cabeza y cuello del fémur, aunque también es posible el reemplazo total de la cadera.

Group 15 4

El manejo del dolor postquirúrgico y la rehabilitación son puntos clave para lograr el uso correcto de la extremidad.

Introducción

La enfermedad de Legg-Calvé-Perthes (ELCP) es una enfermedad de la articulación de la cadera descrita en perros de pequeño tamaño. Esta enfermedad, también denominada con frecuencia necrosis avascular de la cabeza del fémur, afecta generalmente a perros de entre los 5 y 8 meses de edad y consiste en la necrosis aséptica no inflamatoria de la cabeza del fémur. A medida que avanza la necrosis ósea se produce el colapso de la cabeza y cuello del fémur, lo que da lugar a deformación, dolor y osteoartritis secundaria. Generalmente, el tratamiento es quirúrgico y se pueden obtener buenos resultados si posteriormente se realiza un buen control del dolor y una rehabilitación física adecuada.

¿Cuál es la fisiopatología subyacente de la ELCP?

Se ha sugerido que la isquemia de la cabeza y del cuello del fémur se debe al compromiso vascular, probablemente, de la cápsula articular responsable del aporte sanguíneo de la epífisis femoral. Esto daría lugar a la necrosis de la cabeza y cuello del fémur. Como consecuencia de la carga del peso, se producen microfracturas en las trabéculas necrosadas y, finalmente, las estructuras óseas colapsan [1]. El cartílago articular también se deforma y se puede agrietar, por lo que su superficie se vuelve irregular. Como resultado, el perro manifiesta dolor, especialmente a la extensión de la cadera. También se observa una cojera importante, y con frecuencia falta de apoyo de la extremidad afectada.

Generalmente, la enfermedad ya se encuentra en una fase avanzada cuando el propietario detecta los signos clínicos; en un estudio con cachorros cuyos progenitores tenían una predisposición reconocida a la ELCP, se observaron alteraciones en las radiografías del fémur afectado dos o tres semanas previas a la manifestación de la cojera y la atrofia muscular [2]. En última instancia, las áreas necrosadas se reparan con tejido óseo nuevo, pero se produce una deformidad significativa. Como consecuencia de la incongruencia articular, toda la articulación sufre una degeneración que da lugar osteoartritis. Otras posibles causas de la ELCP incluyen el exceso de hormonas sexuales y las alteraciones en la conformación anatómica [3] [4], pero la fisiopatología de la enfermedad todavía no se ha determinado claramente. En un estudio se evaluaron las alteraciones estructurales de la cabeza femoral mediante tomografía microcomputarizada (micro-TC) [5] y los resultados del estudio no fueron los esperados, puesto que se contradecían con la principal hipótesis sobre la ELCP. En lugar de observar un engrosamiento de las trabéculas óseas por la superposición de capas de la nueva matriz ósea sobre las trabéculas necrosadas, se encontró un aumento del número de trabéculas y un menor espesor trabecular. Los autores concluyeron que la regeneración trabecular es más acusada o predominante que el proceso de estratificación tradicionalmente descrito en los procesos de revascularización y reparación en esta enfermedad.

Dado que la mayoría de los perros afectados por la ELCP son perros de razas pequeñas, se puede sospechar la existencia de una base genética. Las pruebas de apareamiento con dos ejemplares de raza Manchester Terrier con ELCP dieron como resultado tres machos afectados y dos hembras libres de la enfermedad; los análisis del pedigrí y las pruebas de apareamiento sugirieron que se trata de una enfermedad con una elevada heredabilidad [2]. Otro análisis del pedigrí de los perros afectados sugirió que la ELCP está causada por un gen autosómico recesivo en homocigosis [6], pero puede que esto sea una explicación excesivamente simple. El mecanismo genético puede ser más complejo porque es difícil relacionar una anomalía esquelética limitada a la cabeza femoral con el efecto de un único gen importante [6]. En un estudio se evaluó el ADN genómico para una mutación génica. En estudios sobre la ELCP humana se ha descrito una mutación en el gen COL2A1, y puesto que la ELCP en el perro es similar a la del ser humano, el gen COL2A1 se ha investigado como gen candidato de la ELCP en el West Highland White Terrier. Sin embargo, la secuencia de COL2A1 no se ha asociado con la ELCP en los perros afectados [7].

¿Cuáles son las razas afectadas con mayor frecuencia?

Dada la posibilidad de que exista una base genética para la ELCP, cabe esperar una mayor predisposición en determinadas razas. Las razas en las que se ha identificado un mayor riesgo para el diagnóstico de ELCP son el Pastor Australiano, el Cairn Terrier, el Chihuahua, el Teckel, el Lhasa Apso, el Pug, el Yorkshire Terrier, el West Highland White Terriers, el Caniche Miniatura, el Caniche Toy y el Pinscher Miniatura [8] [9]. Afecta por igual a machos y hembras, y algunos perros (12-16,5%) presentan ambas extremidades posteriores afectadas [1] [3].

¿Cuáles son los signos clínicos de la ELCP?

Los signos clínicos de la ELCP que se observan con más frecuencia generalmente están relacionados con la presencia de dolor. En un principio, los perros afectados pueden mostrar irritabilidad y reticencia saltar, especialmente para subir encima de los muebles. También pueden mostrar rechazo a subir escaleras. A medida que la enfermedad avanza, puede aparecer dolor a la extensión y a la abducción de la cadera. Generalmente, la cojera pasa de ser apenas perceptible a una cojera sin apoyo de la extremidad. La atrofia muscular del lado afectado es apreciable en las dos primeras semanas desde el inicio de la enfermedad.

¿Cuáles son los hallazgos más frecuentes en las pruebas de imagen?

Aunque con la exploración física y la reseña del paciente se puede sospechar firmemente una ELCP, para poder confirmar el diagnóstico suele ser necesario el estudio radiológico. En las fases iniciales se pueden observar áreas de lisis y desmineralización en la región subcondral de la cabeza y cuello del fémur (Figura 1). A medida que la enfermedad avanza, puede evidenciarse el colapso de la cabeza y cuello femoral (Figura 2). Después, en fases más tardías, es posible observar la remineralización y la cicatrización ósea. También pueden presentarse alteraciones indicativas de una osteoartritis secundaria, que incluyen la formación de osteofitos (especialmente en el borde acetabular dorsal) y el aplanamiento de la cabeza femoral.

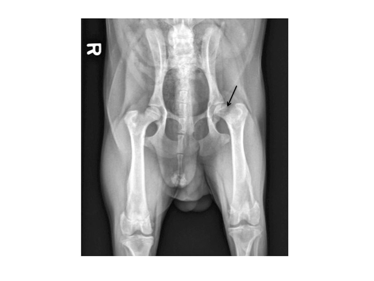
Radiografía en la que se muestran las alteraciones típicas del inicio de la ELCP en un perro. La flecha indica las áreas de desmineralización precoz.
Figura 1. Radiografía en la que se muestran las alteraciones típicas del inicio de la ELCP en un perro. La flecha indica las áreas de desmineralización precoz.© Darryl L. Millis
Esta radiografía muestra alteraciones moderadas de la ELCP. La flecha indica la pérdida significativa de hueso subcondral y del cuello femoral, con remodelación de la cabeza femoral.
Figura 2. Esta radiografía muestra alteraciones moderadas de la ELCP. La flecha indica la pérdida significativa de hueso subcondral y del cuello femoral, con remodelación de la cabeza femoral.© Darryl L. Millis

Las alteraciones radiográficas se han clasificado, tal y como se muestra en la Tabla 1, en función de la gravedad durante la progresión de la enfermedad.

 

Grado 1 El primer signo radiográfico que se observa es el ensanchamiento del espacio articular; al inicio de la enfermedad, también se pueden observar áreas de menor densidad tanto en la epífisis como en la metáfisis proximal del fémur. 
Grados 2/3 Cuando la enfermedad avanza, se aprecia el aplanamiento y el aspecto irregular de la cabeza femoral; la mayor cantidad de áreas de menor opacidad proporcionan una apariencia lítica a la cabeza y cuello del fémur.
Grado 4 El aplanamiento y el aspecto irregular de la cabeza y cuello del fémur más marcado, debido al colapso y remodelación del hueso afectado, puede dar lugar al ensanchamiento y a la subluxación coxofemora 
Grade 5 En fases avanzadas, se puede producir la fractura de la cabeza femoral y la discontinuidad de la superficie articular.
Tabla 1.Clasificación de las alteraciones radiográficas de la ELCP [3].

 

Pelvis
Neoplasia
Traumatismo/fracturas
Articulación coxofemoral Displasia de cadera
Enfermedad de Legg-Calvé-Perthes (frecuente)
Luxación de cadera (historia de traumatismo)
Sobreesfuerzo del músculo/tendón iliopsoas
Osteocondritis disecante de la cabeza femoral (poco probable)
Traumatismos/fracturas (historia de traumatismo)
Fémur Panosteitis (poco probable)
Osteosarcoma (poco probable)
Traumatismo/fracturas (historia de traumatismo)
Articulación de la rodilla Rotura del ligamento cruzado craneal (poco probable en un perro joven)
Lesión medial del menisco (poco probable en un perro joven)
Rotura del ligamento cruzado caudal (poco probable)
Lesión del ligamento colateral (historia de traumatismo) Lesión de la articulación de la rodilla (historia de traumatismo)
Luxación de rótula (más frecuente la luxación medial que la lateral)
Osteocondritis disecante del cóndilo lateral femoral (poco probable)
Traumatismo/fracturas (historia de traumatismo)
Laceración/rotura del tendón extensor digital largo (poco probable)
Tibia Panosteitis (poco probable)
Osteosarcoma (poco probable)
Traumatismo/fracturas (historia de traumatismo)
Articulación del tarso Osteocondritis disecante de las crestas trocleares del astrágalo (poco probable)
Lesiones del tendón del calcáneo (poco probable salvo por traumatismo)
Luxación del tendón flexor digital superficial de la tuberosidad del calcáneo (poco probable)
Cizallamiento/lesión del ligamento colateral (historia de traumatismo)
Traumatismo/fracturas (historia de traumatismo)
Dedos y metatarsianos Luxación articular (historia de traumatismo)
Laceración/lesión del tendón y ligamento (historia de traumatismo)
Osteopatía hipertrófica (poco probable)
Traumatismo/fracturas (historia de traumatismo)
Cizallamiento (historia de traumatismo)
Causas nutricionales y metabólicas de cojera Sobrealimentación (frecuente)
Hiperparatiroidismo secundario nutricional o renal
Neoplasia no osteosarcoma (poco frecuente)
Consideraciones neurológicas

Inestabilidad lumbosacra (poco probable)
Lesiones vertebrales:

  • Enfermedad de disco intervertebral toracolumbar (frecuente)
  • Neoplasia de la columna vertebral (poco probable)
  • Mielopatía degenerativa (poco probable)

Traumatismo vertebral (historia de traumatismo)

Tabla 2. Diagnóstico diferencial de trastornos ortopédicos de la extremidad posterior en perros de pequeño tamaño.

La resonancia magnética (RM) también se ha utilizado experimentalmente para la evaluación de perros con ELCP, y generalmente permite detectar las alteraciones antes que la radiografía convencional [10]. Sin embargo, en los perros afectados es cuestionable su utilidad clínica, puesto que la mayoría de estos perros no muestran signos clínicos (y por tanto, no se llevan al veterinario) hasta que la enfermedad afecta al hueso de forma moderada a grave, y en esta fase las alteraciones ya se pueden observar radiográficamente. La RM puede ser útil en la evaluación de determinados perros con elevado riesgo de desarrollar ELCP debido a la influencia genética.

¿Cuál es el tratamiento de elección de la ELCP?

Generalmente, el tratamiento de la ELCP es quirúrgico, puesto que es una patología difícil de reconocer por el propietario y, cuando esta se diagnostica, las alteraciones óseas suelen encontrarse demasiado avanzadas como para tener éxito con el manejo médico. Sin embargo, si la ELCP se diagnostica de forma temprana, se puede instaurar un tratamiento médico. En un artículo de un caso clínico se diagnosticó ELCP a un Schipperke de 5 meses de edad, antes de que se produjera el colapso de la cabeza y cuello del fémur [11]. Se utilizó un vendaje tipo Ehmer para evitar la carga de peso durante la revascularización y reosificación del hueso subcondral. Las radiografías obtenidas al cabo de 10 y 24 semanas indicaron que el tratamiento conservador había tenido éxito, tanto en el manejo de la ELCP como en el mantenimiento de la función articular. Un autor ha sugerido que puede merecer la pena instaurar el tratamiento conservador durante un breve periodo y, en caso de no obtener resultados satisfactorios, pasar al tratamiento quirúrgico [4]. Sin embargo, se debe ser cauteloso con este enfoque, ya que si la cirugía se retrasa demasiado, se pueden producir alteraciones secundarias (como la atrofia muscular) difíciles de revertir.

En casi todos los casos la enfermedad se diagnostica cuando ya se han desarrollado deformidades óseas irreversibles osteoartritis, y probablemente el tratamiento con el que se obtengan mejores resultados en estos perros sea el quirúrgico. En la mayoría de los casos el tratamiento consiste en la osteotomía de la cabeza y cuello del fémur (OCF).

Escisión de la cabeza y cuello del fémur. La flecha negra señala la región del acetábulo craneal (el área blanca debajo de la flecha es el cartílago articular del acetábulo. La punta de la flecha se encuentra sobre lo que queda del ligamento de la cabeza femoral). El corchete señala al fémur una vez realizada la osteotomía y eliminados la cabeza y cuello del fémur. La osteotomía abarca desde el aspecto medial del trocánter mayor al trocánter menor.
Figura 3. Escisión de la cabeza y cuello del fémur. La flecha negra señala la región del acetábulo craneal (el área blanca debajo de la flecha es el cartílago articular del acetábulo. La punta de la flecha se encuentra sobre lo que queda del ligamento de la cabeza femoral). El corchete señala al fémur una vez realizada la osteotomía y eliminados la cabeza y cuello del fémur. La osteotomía abarca desde el aspecto medial del trocánter mayor al trocánter menor.© Darryl L. Millis
Cierre de la cápsula articular dorsal del acetábulo (flecha blanca) hacia la cápsula articular ventral (flecha negra). La cápsula proporciona tejido blando entre el acetábulo y el área de osteotomía femoral, indicada por el corchete.
Figura 4. Cierre de la cápsula articular dorsal del acetábulo (flecha blanca) hacia la cápsula articular ventral (flecha negra). La cápsula proporciona tejido blando entre el acetábulo y el área de osteotomía femoral, indicada por el corchete.© Darryl L. Millis

Para que el resultado de la OCF sea excelente es esencial realizar la cirugía correctamente. Se realiza un abordaje craneolateral de la articulación coxofemoral y se expone la cápsula articular. Se realiza la artrotomía incidiendo en la cápsula articular, justo por encima de su inserción en el cuello femoral. Se secciona el ligamento redondo y se rota externamente la cabeza femoral. Para elevar la cabeza femoral del acetábulo, así como para proteger al nervio ciático, que se encuentra caudal al cuello femoral, se puede utilizar instrumental específico como un gancho de ovariectomía estéril. Para realizar la osteotomía se puede emplear una sierra eléctrica pequeña, una sierra de alambre de Gigli o un osteotomo y un martillo; en algunos casos, el hueso puede encontrarse muy blando o incluso fracturado, en cuyo caso puede ser necesario utilizar pinzas para extraer los restos de la cabeza femoral. Teniendo en cuenta la anteversión de la cabeza y cuello del fémur, es necesario que el fémur esté bien rotado externamente. Para ello se puede colocar la punta del corvejón (tuberosidad del calcáneo) contra la pared lateral del tórax. La osteotomía se realiza desde la base del trocánter mayor al tercer trocánter (Figura 3). Tras eliminar la cabeza y el cuello del fémur, se debe palpar la superficie de corte por si han quedado partes óseas afiladas, sobre todo en el aspecto caudomedial del fémur osteotomizado. En caso de ser así, se eliminan con pinzas y se alisa la superficie con una lima. El área se debe irrigar abundantemente para eliminar cualquier fragmento restante o polvo óseo. La pseudoartrosis queda con cierto grado de movimiento para garantizar que no haya contacto hueso sobre hueso. Después se sutura la cápsula articular procedente del borde dorsal del acetábulo sobre su aspecto ventral para agregar tejido blando entre el acetábulo y el fémur restante (Figura 4). Se deben obtener radiografías postoperatorias para confirmar que se han eliminado completamente la cabeza y el cuello del fémur (Figura 5).

Radiografías postquirúrgicas después de realizar la osteotomía de la cabeza y cuello del fémur. La línea de la osteotomía comprende desde el aspecto medial del trocánter mayor al trocánter menor para minimizar el contacto de hueso con hueso.
Figura 5. Radiografías postquirúrgicas después de realizar la osteotomía de la cabeza y cuello del fémur. La línea de la osteotomía comprende desde el aspecto medial del trocánter mayor al trocánter menor para minimizar el contacto de hueso con hueso.© Darryl L. Millis

Recientemente, con los avances y mejoras en los implantes de reemplazo de cadera, se ha descrito el micro-reemplazo total de cadera en algunos perros con ELCP, pero su abordaje en profundidad queda fuera del alcance de este artículo. No obstante, cabe señalar que, aunque se han obtenido muy buenos resultados con el sistema de micro-reemplazo total de cadera [12], la utilización de un sistema nano conlleva un 33% de complicaciones [13].

¿Cuál es el manejo postquirúrgico de la ELCP?

El cuidado postoperatorio tras la osteotomía de la cabeza y cuello del fémur es vital para el éxito del tratamiento [14]. Realmente, el cuidado postquirúrgico comienza con el manejo preventivo del dolor. Antes de la cirugía a la mayoría de los perros se les administra antiinflamatorios no esteroideos (AINE); es preferible utilizar un inhibidor selectivo de COX-2 para reducir el riesgo de reacciones adversas. Además, los opioides analgésicos, con administración epidural y en infusión continua (método ideal para el control del dolor postquirúrgico), contribuyen al bienestar del paciente. También se puede combinar la administración de AINE durante el postoperatorio con gabapentina. A veces, la administración oral de opioides, como la codeína, puede ser útil.

La rehabilitación puede iniciarse inmediatamente después de la cirugía, es decir, cuando el paciente se está recuperando de la anestesia. La articulación se mueve lentamente y de forma continuada hasta que el paciente comience a despertarse. Si el perro no presenta hipotermia como consecuencia de la anestesia, se aplica frío sobre el lugar de la intervención para reducir la inflamación, el edema y el dolor. Si el paciente presenta hipotermia, una vez restablecida la temperatura corporal adecuada se puede instaurar la crioterapia.

La mañana siguiente a la cirugía, antes de iniciar la rehabilitación, se administran la analgesia. Se puede aplicar crioterapia durante 15-20 minutos en la zona de la cirugía. Simultáneamente también se puede utilizar la estimulación nerviosa eléctrica transcutánea (TENS) para el control adicional del dolor; el autor prefiere aplicar 4 electrodos siguiendo un patrón cruzado con corriente interferencial para proporcionar una buena analgesia. Al finalizar la sesión de crioterapia, la pseudoartrosis se flexiona y extiende suavemente durante 20 repeticiones. La terapia con láser también puede ayudar a controlar la inflamación y el dolor. Alternar la carga de las extremidades mientras el perro está en estación ayuda a favorecer el contacto de los dedos con el suelo. Los paseos asistidos, ayudando al perro con una cinta o venda debajo del abdomen favorecen el movimiento de la extremidad y la carga de peso. Si la extremidad se mantiene en una posición muy flexionada, se debe intensificar el manejo del dolor. Los perros que se encuentran relativamente cómodos pueden llevar la extremidad cerca del suelo, apenas rozando el suelo con los dedos. Cuando se alcanza este punto, suele comenzar la carga de peso, especialmente después de realizar los ejercicios de alternancia de la carga de peso. La crioterapia, el movimiento, la alternancia de peso y los paseos asistidos se pueden realizar 3-4 veces al día hasta que empiece a soportar peso, lo que normalmente ocurre a los 3-5 días después de la cirugía.

Durante las primeras dos semanas, es importante intentar recuperar todo el movimiento posible de la pseudoartrosis, especialmente la extensión. Si la amplitud de movimiento se encuentra limitada, la aplicación de calor durante 15-20 minutos antes de iniciar la fisioterapia puede contribuir a la capacidad de extensión del tejido; cabe señalar que no se debe aplicar calor hasta que hayan transcurrido las primeras 72 horas tras la cirugía debido a que la inflamación se puede agravar. También se pueden realizar ejercicios de estiramiento de la pseudoartrosis llevando la articulación al límite de su amplitud de movimiento durante 15 segundos manteniendo a la vez cierto grado de tensión; este movimiento se repite 10-15 veces por sesión y se realizan 3 sesiones al día.

Otras actividades que son útiles durante las primeras 2-3 semanas después de la cirugía son caminar en la cinta y los ejercicios de equilibrio sobre un disco inflado o un cojín. A medida que el paciente mejore, se pueden realizar más actividades, como subir pendientes, ejercicios de sentarse y levantarse, caminar en la cinta bajo el agua, nadar, subir escalones y salir a correr para mejorar el uso de la extremidad y la masa muscular. Si al cabo de 10-14 días, el paciente no utiliza bien la extremidad, se puede colocar en la almohadilla de la extremidad contralateral algo que cause molestia, como el tapón de una botella o de una jeringuilla, para estimular el apoyo de la extremidad operada. Colocar una ligera carga de peso en la extremidad afectada puede ayudar a fortalecer los músculos flexores. Para más información puede resultar de gran ayuda consultar con un especialista en rehabilitación.

¿Cuál es el pronóstico de la ELCP?

Una vez diagnosticado y tratado un perro con ELCP el pronóstico generalmente es bueno. Es importante recordar que hay que prestar especial atención y confirmar que no existen otras patologías ortopédicas, como la luxación de rótula, que puedan afectar al uso de la extremidad; en la Tabla 2 se muestra una breve lista del diagnóstico diferencial de las patologías ortopédicas de la extremidad posterior en perros de pequeño tamaño. Los perros pequeños generalmente evolucionan bastante bien después de la OCF y de la rehabilitación. En un estudio retrospectivo [4] se evaluó el tratamiento conservador (terapia con ejercicios) y el tratamiento quirúrgico (OCF) en perros con ELCP; se concluyó que la OCF está indicada cuando con el tratamiento conservador no se consigue una mejoría clínica en 4 semanas. El pronóstico a largo plazo de la OCF es bueno, aunque puede quedar una cojera leve e intermitente. Del mismo modo, también se espera una buena evolución cuando se realiza un reemplazo total de la cadera. Dada la probabilidad de que exista un componente genético, no es recomendable criar con ejemplares con ELCP y puede ser apropiado considerar la esterilización de los animales afectados.

Como conclusión, generalmente es sencillo diagnosticar la enfermedad de Legg-Calvé-Perthes en perros toy y miniatura, jóvenes, con dolor en la cadera, atrofia muscular y cojera de moderada a grave. El tratamiento quirúrgico generalmente también suele estar claro, pero cabe destacar que el manejo post-quirúrgico puede marcar una diferencia significativa en cuanto a la recuperación, así como en lo referente al uso de la extremidad.

Darryl L. Millis

Darryl L. Millis

MS, DVM, Dipl. ACVS, CCRP, Dipl. ACVSMR

Estados Unidos

El Dr. Millis es profesor de Traumatología y Director de Medicina Deportiva en la Facultad de Medicina Veterinaria de la Universidad de Tennessee. Es Diplomado por el Colegio Americano de Cirujanos Veterinarios y por el Colegio Americano de Medicina Deportiva y Rehabilitación Veterinaria. El Dr. Millis es autor de numerosas publicaciones incluyendo los libros de texto Small Animal Physical Therapy and Rehabilitation y Essential Facts of Physiotherapy. En el 2006 fue galardonado con el premio Iams Paatsama de la WSAVA.

Referencias
  1. Lee R. A study of the radiographic and histological changes occurring in Legg-Calvé-Perthes Disease (LCP) in the dog. J Small Anim Pract 1970;11:621-638.
  2. Vasseur PB, Foley P, Stevenson S, et al. Mode of inheritance of Perthes’ disease in Manchester terriers. Clin Orthop Relat Res 1989;244:281-292.
  3. Ljunggren, G. Legg-Perthes disease in the dog. Acta Orthop Scand 1967;95(Suppl):22-26.
  4. Piek CJ, Hazewinkel HAW, Wolvekamp WTC, et al. Long-term follow-up of avascular necrosis of the femoral head in the dog. J Small Anim Pract 1996;37:12-18.
  5. Scherzer C, Windhagen H, Nellesen J, et al. Comparative structural analysis of the canine femoral head in Legg-Calvé-Perthes Disease. Vet Radiol Ultrasound 2009;50:404-411.
  6. Pidduck H, Webbon PM. The genetic control of Perthes’ disease in toy poodles — a working hypothesis. J Small Anim Pract 1978;19:729-733.
  7. Starr-Moss AN, Nowend KL, Alling KM, et al. Exclusion of COL2A1 in canine Legg-Calvé-Perthes disease. Animal Genetics 2011;43:112-113.
  8. LaFond E, Breur GJ, Austin CC. Breed susceptibility for developmental orthopedic diseases in dogs. J Am Anim Hosp Assoc 2002;38:467-477.
  9. Robinson R. Legg-Calvé-Perthes disease in dogs: genetic aetiology. J Small Anim Pract 1992;33:275-276.
  10. Bowlus RA, Armbrust LJ, Biller DS, et al. Magnetic resonance imaging of the femoral head of normal dogs and dogs with avascular necrosis. Vet Radiol Ultrasound 2008;49:7-12.
  11. Gibson KL, Lewis DD, Pechman RD. Use of external co-aptation for the treatment of avascular necrosis of the femoral head in a dog. J Am Vet Med Assoc 1990;197:868-870.
  12. Jankovits DA, Liska WD, Russell H, et al. Treatment of avascular necrosis of the femoral head in small dogs with micro total hip replacement. Vet Surg 2012;41:143-147.
  13. Ireifej S, Marino D, Loughin C. Nano total hip replacement in 12 dogs. Vet Surg 2012;41:130-135.
  14. Millis DL, Levine D. Canine Physical Therapy and Rehabilitation. Philadelphia: Elsevier Saunders 2013; Appendix 1, 703-706.

Compartir en las redes sociales