HomeVétérinaireL’hydrocéphalie canine

L’hydrocéphalie canine

Ecrit par William B. Thomas

Certaines petites races de chiens sont prédisposées à l’hydrocéphalie, qui peut entraîner de nombreux problèmes de santé. William Thomas décrit ici comment bien diagnostiquer cette maladie, ainsi que les options à privilégier pour traiter et suivre les chiens affectés.



Article

5 - 15 min
L’hydrocéphalie canine

Points Clés

Group 15 1

L’hydrocéphalie pédiatrique touche majoritairement les jeunes chiens de petites races.

Group 15 2

Le diagnostic repose sur la forme du crâne, l’existence de déficits neurologiques et l’imagerie cérébrale.

Group 15 3

L’échographie transfontanellaire est un moyen pratique de visualiser les ventricules latéraux.

Group 15 4

Le traitement définitif est la pose chirurgicale d’une dérivation ventriculopéritonéale.


Introduction

L’hydrocéphalie se définit comme une dilatation active du système ventriculaire du cerveau provoquée par une obstruction de l’écoulement du liquide céphalorachidien (LCR) ([1]). Produit à un rythme constant par les plexus choroïdes, l’épithélium épendymaire du système ventriculaire et les vaisseaux sanguins de l’espace sous-arachnoïdien, le LCR circule dans le système ventriculaire en direction de l’espace sous-arachnoïdien, où il est absorbé par les villosités arachnoïdiennes. Toute obstruction sur ce trajet entraîne une dilatation active du système ventriculaire, c’est-à-dire une hydrocéphalie. Plusieurs lésions, comme l’infarctus, la nécrose et l’atrophie, peuvent entraîner une diminution de volume du parenchyme cérébral, cette perte de tissu cérébral laissant un espace libre qui se remplit passivement de LCR. Cette anomalie était anciennement qualifiée d’hydrocéphalie ex vacuo mais puisqu’il n’y a pas de dilatation active des ventricules, il ne s’agit pas d’hydrocéphalie à proprement parler ([1]).

Physiopathologie

L’hydrocéphalie peut être la conséquence d’anomalies congénitales ou de lésions acquises telles que des tumeurs ou des maladies inflammatoires. Le site d’obstruction influe sur la partie du système ventriculaire qui s’hypertrophie, la dilatation survenant généralement en amont de l’obstruction. Par exemple, une obstruction au niveau du troisième ventricule entraîne une dilatation des deux ventricules latéraux mais pas du quatrième ventricule. L’hydrocéphalie commence par léser l’épithélium épendymaire des ventricules, ce qui permet à l’eau et à de grosses molécules de s’infiltrer dans la substance blanche adjacente, provoquant ainsi un œdème périventriculaire. La dilatation progressive des ventricules va comprimer la substance blanche, entraînant une démyélinisation et une dégénérescence axonale. Ceci peut conduire à une fenestration ou à une disparition complète du septum pellucidum séparant les ventricules latéraux, laissant place à un unique grand ventricule (Figure 1). La substance grise du cortex cérébral est initialement préservée et à ce stade, la mise en place chirurgicale d’une dérivation peut permettre une ré-expansion de la substance blanche et une régénération des axones restants. Dans les cas plus avancés, le cortex s’amincit, avec une vacuolisation et une destruction des neurones, et les lésions neuronales peuvent alors persister même après la dérivation ([2]). Lors d’obstruction aiguë, l’augmentation du volume de LCR peut être si rapide qu’elle entraîne une hypertension intracrânienne, altérant le flux sanguin vers le cerveau et provoquant davantage de lésions cérébrales.

Figure 1. IRM en coupe transversale pondérée en T1 au niveau du mésencéphale, montrant une hypertrophie sévère des ventricules latéraux et une disparition du septum pellucidum, laissant un espace unique rempli de LCR.© William B. Thomas
Figure 1. IRM en coupe transversale pondérée en T1 au niveau du mésencéphale, montrant une hypertrophie sévère des ventricules latéraux et une disparition du septum pellucidum, laissant un espace unique rempli de LCR.© William B. Thomas

Caractéristiques cliniques

Selon l’âge d’apparition, l’hydrocéphalie peut être qualifiée de pédiatrique ou d’acquise. L’hydrocéphalie pédiatrique est généralement due à des anomalies congénitales et les signes cliniques s’observent souvent avant l’âge de quelques mois. Les races naines et brachycéphales sont plus à risque, notamment le Bichon Maltais, le Yorkshire Terrier, le Bouledogue Anglais, le Chihuahua, le Lhassa Apso, le Spitz Nain, le Caniche Nain, le Cairn Terrier, le Boston Terrier, le Carlin et le Pékinois ([3]). Dans la plupart des cas, le site d’obstruction n’est pas facilement identifiable et si la lésion est localisée au niveau de l’espace sous-arachnoïdien ou des villosités arachnoïdiennes, elle sera difficile à détecter. Il est également possible que l’obstruction ait lieu à un stade critique du développement et que la lésion obstructive se résolve ensuite, ne laissant derrière elle qu’une dilatation ventriculaire. L’hydrocéphalie pédiatrique peut aussi être associée à d’autres malformations, comme le méningo-myélocèle, la malformation de Chiari, la malformation de Dandy-Walker et l’hypoplasie cérébelleuse.

Les signes cliniques de l’hydrocéphalie pédiatrique incluent un gros crâne bombé avec des fontanelles persistantes et des sutures crâniennes ouvertes. Cependant, les animaux à fontanelle persistante ne souffrent pas tous d’hydrocéphalie et ceux souffrant d’hydrocéphalie pédiatrique n’ont pas tous de fontanelle persistante. L’hypertrophie du crâne peut être estimée subjectivement en examinant si la partie la plus latérale de l’os pariétal dépasse latéralement le niveau de l’arcade zygomatique. Il peut exister un strabisme ventral ou ventrolatéral lié soit à une malformation de l’orbite, soit à une dysfonction du tronc cérébral (Figure 2).

Figure 2. Chiot Chihuahua souffrant d’hydrocéphalie. On note un crâne hypertrophié et bombé et un strabisme ventrolatéral bilatéral. L’hypertrophie de la voute crânienne peut être estimée subjectivement en examinant si la partie la plus latérale de l’os pariétal (pointillés verticaux) dépasse latéralement le niveau de l’arcade zygomatique (flèche).© William B. Thomas
Figure 2. Chiot Chihuahua souffrant d’hydrocéphalie. On note un crâne hypertrophié et bombé et un strabisme ventrolatéral bilatéral. L’hypertrophie de la voute crânienne peut être estimée subjectivement en examinant si la partie la plus latérale de l’os pariétal (pointillés verticaux) dépasse latéralement le niveau de l’arcade zygomatique (flèche).© William B. Thomas

Les chiots hydrocéphales sont souvent chétifs et plus petits que la normale. Les déficits neurologiques fréquents incluent les troubles du comportement et les dysfonctionnements cognitifs (inaptitude à la propreté, par exemple). Les déficits visuels incluent une cécité unilatérale ou bilatérale avec une fonction pupillaire normale (notons toutefois que la réponse de clignement à la menace n’est évaluable qu’après l’âge de 4 semaines chez les chiots sains). Une démarche ataxique, des crises convulsives, une marche en cercle, un syndrome vestibulaire et des céphalées ou douleurs cervicales sont également possibles. L’évolution clinique est variable et difficile à prédire. Les déficits neurologiques peuvent s’aggraver avec le temps, rester stables ou même s’améliorer après l’âge de 1 à 2 ans ([4]). Les animaux ayant des ventricules latéraux de très grande taille et un cortex cérébral aminci ont un risque plus élevé d’hémorragie intracrânienne lors de traumatisme crânien mineur pouvant déchirer les veines-ponts du cerveau. Peuvent s’ensuivre des hématomes subcliniques chroniques ou une dégradation neurologique brutale due à une hémorragie intracrânienne ([5]).

L’hydrocéphalie acquise peut se développer à tout âge en conséquence d’une tumeur, d’un traumatisme crânien ou d’une méningo-encéphalite. Les déficits neurologiques sont semblables à ceux observés chez les jeunes animaux mais si l’hydrocéphalie se développe après la fermeture des sutures crâniennes, il n’y aura pas de malformation du crâne.

Diagnostic

Le diagnostic de l’hydrocéphalie repose sur les signes cliniques et l’imagerie cérébrale. L’imagerie par résonance magnétique (IRM) est la méthode de choix pour évaluer la taille des ventricules et détecter des lésions obstructives. Des masses tumorales, granulomateuses ou kystiques peuvent être identifiées, notamment après injection d’un produit de contraste. L’IRM est plus sensible que le scanner (TDM) pour mettre en évidence des lésions focales de petite taille, notamment en région caudo-tentorielle. Le scanner suffit généralement au suivi des animaux déjà diagnostiqués ou déjà opérés par dérivation. La taille des ventricules est habituellement évaluée de manière subjective, mais le calcul d’un rapport ventriculo-cérébral permet d’obtenir une mesure plus objective. Sur l’image en vue dorsale, la distance maximale entre les bords des ventricules latéraux est divisée par la largeur maximale du cerveau observée au même niveau. Un rapport supérieur à 0,6 indique un risque accru d’hydrocéphalie cliniquement significative ([6]) (Figure 3).

VF_398.1200.D5Il222Lzb296h48625q
Figure 3. Calcul du rapport ventriculocérébral sur une IRM dorsale pondérée en T2. La largeur maximale des ventricules latéraux (30,3 mm) divisée par la largeur du cerveau au même niveau (48,2 mm) donne un rapport de 0,62. Un rapport supérieur à 0,6 augmente le risque d’hydrocéphalie cliniquement significative.© William B. Thomas

Chez les chiens à fontanelle persistante, l’échographie permet d’identifier les ventricules nettement élargis. Les ventricules de taille normale apparaissent comme des structures anéchogènes appariées en forme de fentes, situées juste ventralement à la fissure longitudinale, de chaque côté de la ligne médiane. Les ventricules hypertrophiés sont facilement visualisables, apparaissant comme des structures hypoéchogènes appariées. Lors d’hypertrophie ventriculaire prononcée, le septum pellucidum qui sépare normalement les ventricules latéraux est absent et les ventricules forment une seule et grande structure anéchogène (Figure 4).

Figure 4. Echographie en coupe transversale chez un chien hydrocéphale. Les ventricules latéraux (LV) sont nettement dilatés. Le septum pellucidum, visible en temps normal, a disparu mais la fissure longitudinale reste visible (flèche). Le thalamus est également visualisable (T).
Figure 4. Echographie en coupe transversale chez un chien hydrocéphale. Les ventricules latéraux (LV) sont nettement dilatés. Le septum pellucidum, visible en temps normal, a disparu mais la fissure longitudinale reste visible (flèche). Le thalamus est également visualisable (T).

L’œdème périventriculaire s’apprécie mieux sur les séquences FLAIR fortement pondérées en T2, où le LCR apparaît hypointense et l’œdème de la substance blanche hyperintense (Figure 5). L’œdème périventriculaire est généralement associé à une hydrocéphalie aiguë avec augmentation de la pression intraventriculaire, plutôt qu’à une hydrocéphalie chronique relativement compensée avec pression intraventriculaire normale ([7]).

Figure 5. L’œdème périventriculaire associé à l’hydrocéphalie aiguë s’observe préférentiellement à l’IRM sur les séquences FLAIR en coupe transverse. On note l’hyperintensité de la substance blanche (flèches) adjacente aux ventricules latéraux et la forme arrondie des ventricules, indiquant une augmentation de la pression intraventriculaire.© William B. Thomas
Figure 5. L’œdème périventriculaire associé à l’hydrocéphalie aiguë s’observe préférentiellement à l’IRM sur les séquences FLAIR en coupe transverse. On note l’hyperintensité de la substance blanche (flèches) adjacente aux ventricules latéraux et la forme arrondie des ventricules, indiquant une augmentation de la pression intraventriculaire.© William B. Thomas

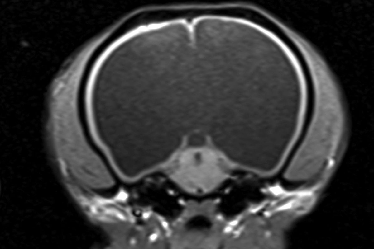
Il est important de distinguer l’hydrocéphalie et l’hypertrophie ventriculaire secondaire à une atrophie cérébrale. L’atrophie se caractérise par un élargissement des sillons cérébraux et de l’espace sous-arachnoïdien (Figure 6). Au contraire, un effacement des sillons, un œdème périventriculaire et un arrondissement de la partie frontale des ventricules latéraux avec déplacement ventral du troisième ventricule suggèrent une hydrocéphalie avec hypertension intraventriculaire.

Figure 6. L’atrophie cérébrale est détectable à l’IRM. Cette image en coupe transversale pondérée en T2 montre un élargissement des sillons cérébraux et de l’espace sous-arachnoïdien secondaire à la perte de tissu cérébral (flèches).© William B. Thomas
Figure 6. L’atrophie cérébrale est détectable à l’IRM. Cette image en coupe transversale pondérée en T2 montre un élargissement des sillons cérébraux et de l’espace sous-arachnoïdien secondaire à la perte de tissu cérébral (flèches).© William B. Thomas

Lors de suspicion de méningo-encéphalite, l’analyse du LCR peut révéler une augmentation du nombre de leucocytes et du taux de protéines. Le scanner ou l’IRM est à réaliser avant le prélèvement de LCR pour identifier un éventuel déplacement du tissu cérébral, comme une hernie cérébelleuse caudale, ou d’autres anomalies susceptibles d’augmenter le risque de collection de LCR provenant de la citerne cérébellomédullaire. Dans certains cas, il peut être plus prudent de prélever le LCR dans un ventricule latéral élargi en passant par une fontanelle persistante. Chez les animaux à fontanelle persistante, il est possible de ponctionner un ventricule latéral élargi en introduisant une aiguille de 25G latéralement à la fontanelle, en évitant le sinus sagittal situé sur la ligne médiane. L’échographie est utile pour déterminer à quelle profondeur se situe le centre du ventricule. Chez la plupart des animaux, environ 2 mL de LCR peuvent être prélevés sans risque.

Traitement médical

Le traitement médical est indiqué lorsque la chirurgie n’est pas possible ou pas indiquée et dans la prise en charge à court terme d’une dégradation aiguë avant une intervention chirurgicale. Plusieurs médicaments sont utilisés pour diminuer la production de LCR et peuvent permettre d’atténuer temporairement les signes cliniques. L’acétazolamide (10 mg/kg PO toutes les 8 h) est un inhibiteur de l’anhydrase carbonique qui réduit la production de LCR. Le furosémide (1 mg/kg PO toutes les 24 h) inhibe dans une moindre mesure la formation du LCR, par inhibition partielle de l’anhydrase carbonique. L’oméprazole (0,5 mg/ kg PO toutes les 24 h) a été recommandé pour réduire la production de LCR, bien que les études réalisées chez les chiens sains aient donné des résultats contradictoires ([8], [9]). Les corticoïdes sont également couramment utilisés pour traiter l’hydrocéphalie chez l’animal, un protocole décrit consiste à administrer la prednisone à 0,25-0,5 mg/kg toutes les 12 heures jusqu’à amélioration des signes, puis à réduire la dose chaque semaine jusqu’à 0,1 mg/kg tous les 2 jours. En cas de signes graves ou évoluant rapidement, la ponction de LCR est parfois utilisée comme mesure temporaire pour diminuer la pression intraventriculaire et aider à déterminer quels individus pourront bénéficier d’une dérivation chirurgicale.

Traitement chirurgical

Le traitement définitif de l’hydrocéphalie consiste à poser une dérivation ventriculo-péritonéale pour dévier le LCR présent dans les ventricules vers l’espace péritonéal. La présence d’une fontanelle persistante ou de ventricules élargis sans signes cliniques associés ne représente pas une indication chirurgicale. A l’inverse, un jeune animal présentant des déficits neurologiques, un élargissement ventriculaire et des signes d’hypertension intraventriculaire est un candidat évident à la dérivation chirurgicale. L’élargissement ventriculaire progressif est également une indication, sauf s’il est secondaire à une atrophie corticale. Les animaux âgés présentant des signes cliniques stables et une ventriculomégalie stable ne sont généralement pas des candidats au traitement ([10]). La pose d’une dérivation permet de réduire les signes dus à l’hydrocéphalie acquise et elle est à envisager lors d’obstruction de l’écoulement du LCR (tumeur, inflammation, par exemple).

Divers systèmes de dérivation conçus pour les patients humains existent et sont utilisés chez le chien et le chat. Les versions pédiatriques ou basse pression conçues pour les nourrissons sont bien adaptées aux petits chiens. Le système est constitué de trois éléments : un cathéter ventriculaire inséré dans le ventricule, une valve et un cathéter péritonéal placé dans l’abdomen (Figure 7). Les valves à pression différentielle sont les plus utilisées, elles s’ouvrent lorsque le différentiel de pression de part et d’autre de la valve dépasse un seuil prédéfini. La plupart des fabricants proposent des valves à pression fixe de 3 ou 4 catégories différentes, par exemple à pression très faible (< 1 cm H20), faible (1 à 4 cm H20), moyenne (4 à 8 cm H20) et élevée (> 8 cm H20). Les valves anti-reflux sont les plus produites, elles sont munies d’un clapet en silicone qui bascule sous la pression. Certaines dérivations incluent une valve à fentes qui consiste en une ou plusieurs fentes dans la tubulure de dérivation (généralement à son extrémité distale) qui s’ouvrent et se ferment selon l’épaisseur et la rigidité du matériau de tubulure. Chez l’Homme, les fentes distales sont associées à une incidence plus élevée d’obstructions de la dérivation par de l’épiploon ou des débris protéiques ([11]). Il existe également des valves réglables de l’extérieur (programmables) qui permettent au praticien d’ajuster par voie percutanée la pression d’ouverture en fonction de l’évolution clinique du patient.

Figure 7. Système de dérivation ventriculo-péritonéale avec cathéter ventriculaire (A), valve (B) et cathéter péritonéal (C).© William B. Thomas
Figure 7. Système de dérivation ventriculo-péritonéale avec cathéter ventriculaire (A), valve (B) et cathéter péritonéal (C).© William B. Thomas

Aucune donnée publiée n’est disponible pour permettre de déterminer la pression d’ouverture idéale chez le chien. Chez l’enfant, les valves basse pression sont plus susceptibles de présenter des dysfonctionnements que celles à moyenne ou haute pression, le cathéter ventriculaire risquant de s’obstruer lors du rétrécissement des ventricules ([12]). Pour la plupart des cas, le chirurgien doit se familiariser avec un système spécifique et utiliser toujours le même produit.

La technique chirurgicale est similaire quel que soit le système de dérivation utilisé, même si certains détails varient légèrement selon le système employé. L’asepsie et l’hémostase minutieuses sont deux aspects essentiels pour limiter le risque d’infection et d’obstruction de la dérivation. Le site d’incision au niveau du crâne est déterminé à l’aide de l’examen d’imagerie cérébrale préopératoire, pour faire en sorte que l’extrémité du cathéter soit placée au centre de la corne occipitale ou de la corne frontale, en évitant le plexus choroïde. L’incision abdominale est située à 2-3 cm caudalement à la dernière côte, environ à mi-distance entre la colonne lombaire et la partie ventrale de l’abdomen. L’animal est tondu et préparé de la tête au site d’incision abdominale. Le cathéter ventriculaire est implanté dans le ventricule via un orifice de trépanation réalisé dans le crâne, et fixé à l’aide de sutures passant dans un ou deux petits trous dans l’os. Il est important de fixer solidement le cathéter sur le crâne pour éviter qu’il ne bouge (Figure 8). Une seconde incision est effectuée pour placer l’extrémité distale de la dérivation dans la cavité péritonéale. Une tunnellisation sous-cutanée est réalisée pour relier les deux incisions, et le chirurgien tire ensuite sur la dérivation pour la faire passer dans les tissus sous-cutanés jusqu’à l’incision abdominale (Figure 9). La tubulure de dérivation est fixée à la paroi abdominale à l’aide de sutures non résorbables s’appuyant sur un système d’ancrage ou réalisées en lacet afin d’immobiliser la tubulure sur le muscle abdominal. Les incisions cutanées et sous-cutanées sont ensuite refermées de manière conventionnelle.

Figure 8. Lors de la chirurgie, le cathéter ventriculaire est fixé au crâne.© William B. Thomas
Figure 8. Lors de la chirurgie, le cathéter ventriculaire est fixé au crâne.© William B. Thomas
Figure 9. Un tunnelisateur est utilisé pour passer la dérivation sous la peau entre l’incision abdominale et l’incision crâniale.© William B. Thomas
Figure 9. Un tunnelisateur est utilisé pour passer la dérivation sous la peau entre l’incision abdominale et l’incision crâniale.© William B. Thomas

Considérations postopératoires

L’antibiothérapie préopératoire est parfois prolongée jusqu’à 7 à 10 jours après la chirurgie, mais n’est pas indiquée dans les cas non compliqués ([13]). La douleur est contrôlée par l’administration d’analgésiques injectables relayés ensuite par des formes orales, et les traitements antiépileptiques préopératoires sont prolongés selon les besoins. Des radiographies face et profil de la dérivation entière allant du crâne jusqu’à l’abdomen doivent être réalisées pour servir de référence en cas de complications futures (Figure 10). Les déficits neurologiques préopératoires disparaissent généralement rapidement, et les animaux sont réévalués après 2-3 mois par échographie, scanner ou IRM afin de mesurer la taille du ventricule et de servir de référence pour la suite du suivi (Figure 11).

Figure 10. Des radiographies face et profil de la totalité de la dérivation allant du crâne jusqu’à l’abdomen doivent être réalisées après l’opération pour servir de référence en cas de complications ultérieures. Sur cette vue de profil, la valve et le point d’injection (flèche) sont bien visibles.© William B. Thomas
Figure 10. Des radiographies face et profil de la totalité de la dérivation allant du crâne jusqu’à l’abdomen doivent être réalisées après l’opération pour servir de référence en cas de complications ultérieures. Sur cette vue de profil, la valve et le point d’injection (flèche) sont bien visibles.© William B. Thomas
Figure 11. Les IRM préopératoire (à gauche) et postopératoire (à droite) montrent qu’après la pose de la dérivation, les ventricules latéraux ont diminué de taille et que l’espace sous-arachnoïdien et les sillons sont désormais visibles. Le cathéter est visualisable dans le ventricule latéral (flèche).© William B. Thomas
Figure 11. Les IRM préopératoire (à gauche) et postopératoire (à droite) montrent qu’après la pose de la dérivation, les ventricules latéraux ont diminué de taille et que l’espace sous-arachnoïdien et les sillons sont désormais visibles. Le cathéter est visualisable dans le ventricule latéral (flèche).© William B. Thomas

Les complications potentielles incluent l’obstruction, le drainage excessif, l’infection et la désunion. Une obstruction peut survenir à n’importe quel endroit du système de dérivation, mais elle est plus souvent localisée au niveau du cathéter ventriculaire. L’obstruction de la valve est plus rare et survient généralement peu de temps après la pose de la dérivation, probablement à cause de débris cellulaires ou de sang. Une pliure du système peut également causer son obstruction. Dans tous les cas, l’obstruction peut entraîner une réapparition des signes neurologiques initiaux ([13], [14], [15]).

Le drainage excessif peut provoquer un collapsus du ventricule et du cortex cérébral avec accumulation de sang ou de fluide extra-axial, ce qui se produit le plus souvent chez les animaux ayant de très gros ventricules et un cortex cérébral aminci. L’accumulation de liquide sous-dural est souvent asymptomatique, mais un hématome de grande taille ou en expansion rapide peut provoquer des déficits neurologiques évolutifs ([16]). Le drainage excessif augmente sans doute également le risque d’obstruction, car le rétrécissement du ventricule risque d’engendrer un accolement du cathéter à la paroi ventriculaire ou son implantation dans le plexus choroïde ([17]). Chez l’Homme, le drainage excessif peut être à l’origine de ventricules minuscules et d’épisodes d’hypertension intracrânienne et de céphalées, ce qui constitue le syndrome des ventricules fentes. La très faible taille des ventricules laisse le cerveau occuper quasi totalement l’espace intracrânien, ce qui réduit sa capacité à compenser les augmentations transitoires de volume intracrânien. Des épisodes douloureux peuvent apparaître après la pose de la dérivation chez le chien et ressembler au syndrome des ventricules fentes de l’Homme ([14]).

L’infection de la dérivation a pour conséquence des signes d’obstruction du système, une méningite ou des signes non spécifiques de type fièvre et léthargie ([15], [16]). Le diagnostic repose sur la cytologie et la culture de LCR prélevé dans le système de dérivation. L’infection peut rétrocéder avec 4 semaines d’antibiothérapie, le choix de la molécule se basant sur une culture avec antibiogramme ([15]) mais les infections persistantes nécessitent un remplacement de la dérivation.

Il arrive parfois que les composants de la dérivation se désunissent ou que le cathéter ventriculaire ou distal sorte du ventricule ou de l’abdomen ([13], [15], [16]). Ces complications surviennent généralement peu de temps après la pose et se détectent à la radiographie sans préparation. Environ 72 à 85 % des chiens traités par dérivation s’améliorent cliniquement à long terme, tandis que 15 à 20 % des animaux nécessitent une reprise de la dérivation, pour cause généralement d’obstruction, de rupture ou de migration ([13], [14], [15]).

La prise en charge optimale de l’hydrocéphalie chez un chien de petite race repose sur un diagnostic précis, reposant lui-même sur l’anamnèse, l’examen clinique et l’imagerie cérébrale. Les animaux présentant des signes modérés peuvent être traités médicalement, bien que leur pronostic soit difficile à établir. Le traitement définitif consiste à poser une dérivation ventriculo-péritonéale, avec de bons résultats dans la majorité des cas.

William B. Thomas

William B. Thomas

Dr vétérinaire, MS, Dipl. ACVIM (Neurologie)

États-Unis

Son Diplôme Vétérinaire et une Maîtrise en Sciences en poche, William Thomas effectue un résidanat en neurologie et neurochirurgie à l’Université d’Auburn et il est actuellement Professeur de neurologie et neurochirurgie à l’Université du Tennessee. Diplômé ACVIM en neurologie, il est co-auteur de deux manuels de neurologie et auteur de chapitres d’ouvrages et de plus de 75 articles publiés dans des revues à comité de lecture.



Bibliographie
  1. Rekate HL. A contemporary definition and classification of hydrocephalus. Semin Pediatr Neurol 2009;16:9-15.
  2. Yamada H, Yokota A, Furuta A, et al. Reconstitution of shunted mantle in experimental hydrocephalus. J Neurosurg 1992;76:856-862.
  3. Selby LA, Hayes HM, Jr, Becker SV. Epizootiologic features of canine hydrocephalus. Am J Vet Res 1979;40:411-413.
  4. Simpson ST. Hydrocephalus. In: Kirk RW, Bonagura, JD. (eds.) Current Veterinary Therapy X Small Animal Practice. Philadelphia: WB Saunders; 1989;842-845.
  5. Nykamp S, Scrivani P, DeLahunta A, et al. Chronic subdural hematomas and hydrocephalus in a dog. Vet Radiol Ultrasound 2001;42:511-514.
  6. Laubner S, Ondreka N, Failing K, et al. Magnetic resonance imaging signs of high intraventricular pressure – comparison of findings in dogs with clinically relevant internal hydrocephalus and asymptomatic dogs with ventriculomegaly. BMC Vet Res 2015;11:181.
  7. Naidich TP, Schott LH, Baron RL. Computed tomography in evaluation of hydrocephalus. Radiol Clin North Am 1982;20:143-167.
  8. Javaheri S, Corbett WS, Simbartl LA, et al. Different effects of omeprazole and Sch 28080 on canine cerebrospinal fluid production. Brain Res 1997;754:321-324.
  9. Girod M, Allerton F, Gommeren K, et al. Evaluation of the effect of oral omeprazole on canine cerebrospinal fluid production: a pilot study. Vet J 2016;209:119-124.
  10. Iantosca MR, Drake JM. Cerebrospinal fluid shunts. In: Albright AL, Pollack IF, Adelson PD, (eds.) Operative Techniques in Pediatric Neurosurgery. New York: Thieme; 2001;3-14.
  11. Cozzens JW, Chandler JP. Increased risk of distal ventriculoperitoneal shunt obstruction associated with slit valves or distal slits in the peritoneal catheter. J Neurosurg 1997;87:682-686.
  12. Robinson S, Kaufman BA, Park TS. Outcome analysis of initial neonatal shunts: does the valve make a difference? Pediatr Neurosurg 2002;37:287-294.
  13. Biel M, Kramer M, Forterre F, et al. Outcome of ventriculoperitoneal shunt implantation for treatment of congenital internal hydrocephalus in dogs and cats: 36 cases (2001-2009). J Am Vet Med Assoc 2013;242:948-958.
  14. Shihab N, Davies E, Kenny PJ, et al. Treatment of hydrocephalus with ventriculoperitoneal shunting in twelve dogs. Vet Surg 2011;40:477-484.
  15. de Stefani A, de Risio L, Platt SR, et al. Surgical technique, postoperative complications and outcome in 14 dogs treated for hydrocephalus by ventriculoperitoneal shunting. Vet Surg 2011;40:183-191.
  16. Kitagawa M, Kanayama K, Sakai T. Subdural accumulation of fluid in a dog after the insertion of a ventriculoperitoneal shunt. Vet Rec 2005;156:206-208.
  17. Sainte-Rose C, Piatt JH, Renier D, et al. Mechanical complications in shunts. Pediatr Neurosurg 1991;17:2-9.

Partager sur les réseaux sociaux