HomeVétérinaireLa maladie de Legg-Perthes-Calvé chez le chien

La maladie de Legg-Perthes-Calvé chez le chien

Ecrit par Darryl L. Millis

La nécrose aseptique de la tête fémorale, aussi appelée maladie de Legg-Calvé-Perthes, est une affection fréquente chez les chiens de petites races. Le Professeur Millis présente cette maladie ainsi que les options envisageables pour la traiter.

Article

5 - 15 min
La maladie de Legg-Perthes-Calvé chez le chien

Points Clés

Group 15 1

La maladie de Legg-Perthes-Calvé est une maladie dégénérative de la tête et du col du fémur qui conduit à leur tassement avec arthrose secondaire, douleur et boiterie.

Group 15 2

Cette maladie s’observe chez les chiens de petite race et de race naine âgés de moins d’un an.

Group 15 3

Le traitement consiste généralement en une exérèse tête et col du fémur, bien que la prothèse totale de hanche soit une option.

Group 15 4

L’analgésie postopératoire et la rééducation fonctionnelle jouent un rôle essentiel dans la récupération optimale du membre.

Introduction

La maladie de Legg-Perthes-Calvé (MLPC) est une maladie de l’articulation coxofémorale observée chez les chiens de petite race. Egalement souvent appelée ostéo-nécrose avasculaire (ou aseptique) de la tête fémorale, il s’agit d’une nécrose non inflammatoire et aseptique de la tête fémorale qui se développe chez les jeunes chiens, généralement vers l’âge de 5-8 mois. Au fur et à mesure que l’os se nécrose, la tête et le col du fémur se tassent, entraînant déformation, douleur et arthrose secondaire. Le traitement consiste généralement en une intervention chirurgicale qui, associée à une analgésie postopératoire et à une rééducation fonctionnelle efficaces, peut donner des résultats satisfaisants.

Quelle est la physiopathologie sous-jacente à la MLPC ?

Il a été suggéré que l’ischémie de la tête et du col du fémur résulte d’un défaut de vascularisation, probablement de la capsule articulaire d’où provient la vascularisation de l’épiphyse fémorale. La tête et le col du fémur subissent ensuite une nécrose. L’appui du membre entraîne des microfractures des trabécules nécrotiques pouvant aboutir à un écrasement des structures osseuses [1]. Le cartilage articulaire se déforme également et peut se fissurer, conduisant à une irrégularité de sa surface. En conséquence, le chien devient douloureux, notamment à l’extension de la hanche. Une boiterie importante est également présente, entraînant souvent une suppression d’appui du membre touché.

La maladie est généralement bien avancée quand le propriétaire observe les premiers signes cliniques. Une étude réalisée chez des chiots de parents ayant une prédisposition identifiée à la MLPC a mis en évidence des anomalies radiographiques sur les fémurs atteints deux à trois semaines avant l’apparition de la boiterie et de l’atrophie musculaire [2]. Les zones nécrosées finissent par cicatriser en fusionnant avec le nouveau tissu osseux, mais des déformations importantes existent. L’articulation n’étant plus congruente, elle subit une dégénérescence puis devient arthrosique. Les autres causes potentielles de la MLPC incluent un excès d’hormones sexuelles et une conformation anatomique altérée [3] [4], mais la pathogénie n’est pas encore clairement élucidée. Une étude s’est intéressée aux modifications structurelles de la tête fémorale par micro-scanner [5] et a donné un résultat inattendu, en contradiction avec la compréhension couramment admise de la pathogénie de la MLPC. Au lieu d’observer un épaississement des trabécules osseux lié à la superposition de néo-tissu osseux sur les trabécules nécrotiques, une augmentation du nombre de trabécules et une diminution de l’épaisseur des trabécules ont été observées. La conclusion des auteurs est que la régénération trabéculaire est plus importante en soi que les processus de dépôt de substance osseuse classiquement décrits dans les mécanismes de revascularisation et de réparation de cette maladie.

Sachant que la majorité des chiens souffrant de MLPC sont de petite race, une origine génétique peut être suspectée. Un croisement expérimental entre deux Manchester Terriers atteints de MLPC a donné naissance à trois mâles atteints et deux femelles indemnes. L’analyse des pédigrees et le croisement expérimental suggèrent que la MLPC est une maladie héréditaire à forte héritabilité [2]. Une autre analyse de pédigrees de chiens atteints a suggéré que la MLPC est transmise sur un mode autosomique récessif [6], mais cela pourrait être une explication trop simpliste. Le mécanisme génétique pourrait en réalité être plus complexe car il est difficile d’attribuer une anomalie squelettique limitée à la tête fémorale à l’effet d’un seul gène majeur [6]. Une étude a recherché dans l’ADN génomique une mutation génétique. Les études réalisées sur la MLPC chez l’Homme ont mis en évidence une mutation du gène COL2A1, et comme la MLPC canine est similaire à la MLPC humaine, l’implication du gène COL2A1 comme gène candidat responsable de la MLPC canine a été étudiée chez des West Highland White Terriers. Cependant, aucune mutation du gène COL2A1 n’a été associée à la MLPC chez les chiens touchés [7].

Quelles races de chiens sont les plus touchées ?

Etant donné la probabilité d’une origine génétique de la MLPC, une prédisposition raciale est attendue. Le Berger Australien, le Cairn Terrier, le Chihuahua, le Teckel, le Lhassa Apso, le Carlin, le Yorkshire Terrier, le West Highland White Terrier, le Caniche Nain, le Caniche Miniature et le Pinscher Miniature sont les races identifiées comme étant à haut risque de diagnostic de MLPC [8] [9]. Les mâles et les femelles sont touchés de manière égale et chez certains chiens (12 à 16,5 %), la maladie peut toucher les deux membres postérieurs [1] [3].

Quels sont les signes cliniques de la MLPC ?

Les signes cliniques le plus souvent observés lors de MLPC sont généralement les conséquences de la douleur. Initialement, les chiens touchés peuvent être irritables. Ils hésitent à sauter, par exemple sur les fauteuils ou les canapés. Ils peuvent également se montrer réticents à monter les escaliers. Au fur et à mesure que la maladie évolue, la douleur peut se déclencher à l’extension et à l’abduction de la hanche. La boiterie évolue généralement d’une boiterie quasi invisible à une boiterie sans appui. Une atrophie des muscles du membre touché s’observe habituellement dans les deux semaines.

Quels sont les signes les plus courants à l’imagerie diagnostique ?

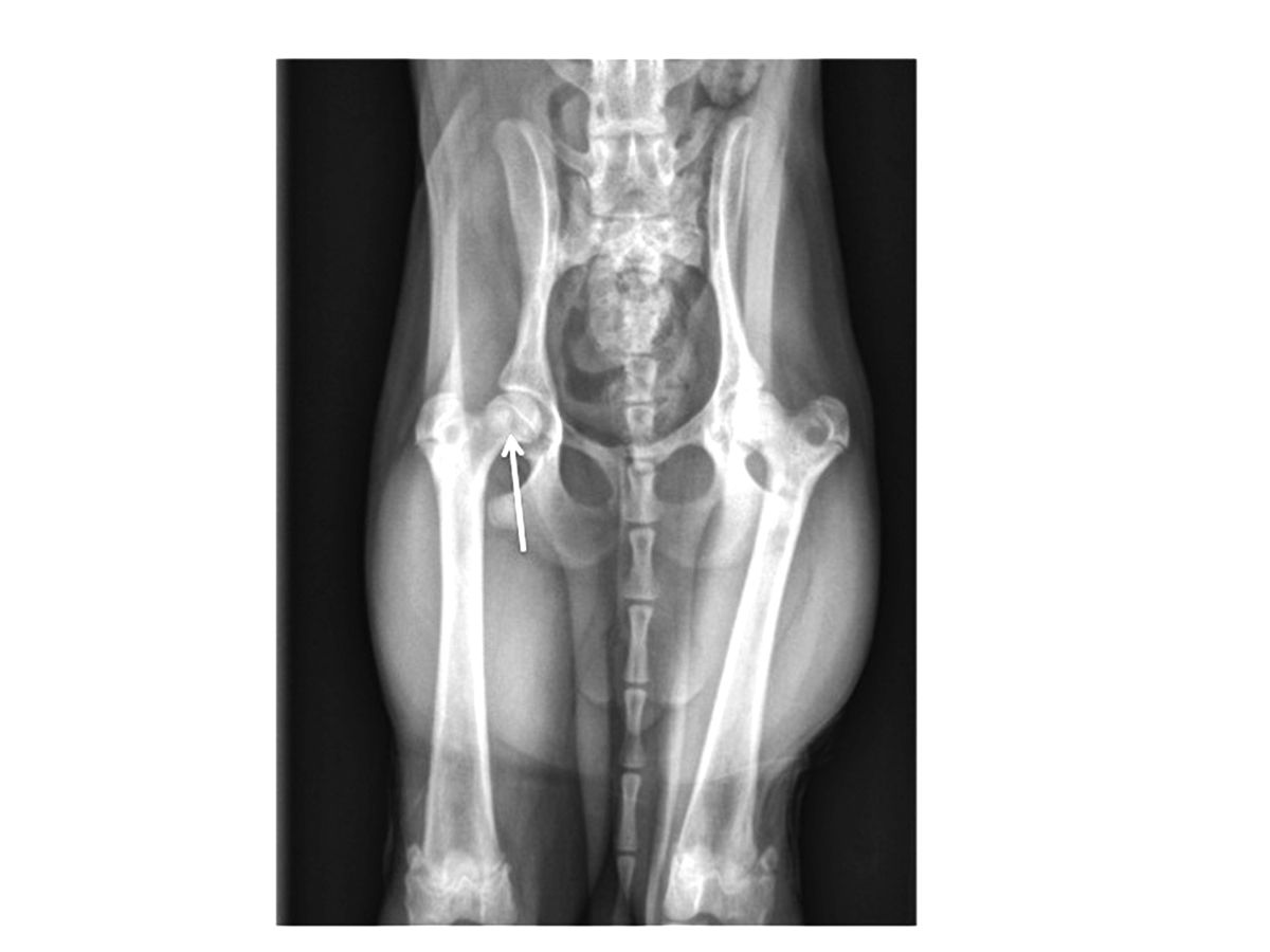
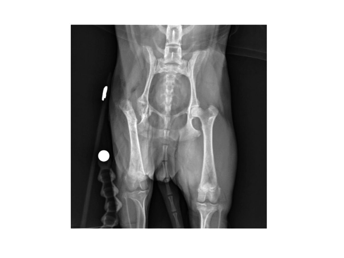
Même si l’examen clinique et l’anamnèse évoquent fortement une MLPC, des radiographies sont généralement réalisées pour confirmer le diagnostic. Initialement, des zones de lyse et de déminéralisation peuvent être présentes en région sous-chondrale de la tête et du col du fémur (Figure 1). La maladie progressant, un tassement franc de la tête et du col peut s’observer (Figure 2). Dans les stades plus avancés, des signes de reminéralisation et de cicatrisation osseuse peuvent être présents. Des anomalies arthrosiques secondaires peuvent s’observer, incluant la formation d’ostéophytes (notamment sur le pourtour acétabulaire dorsal et la tête fémorale) et l’aplatissement de la tête fémorale.

Radiographie d’un chien montrant des signes caractéristiques précoces de MLPC. La flèche indique des zones de déminéralisation débutante.
Figure 1. Radiographie d’un chien montrant des signes caractéristiques précoces de MLPC. La flèche indique des zones de déminéralisation débutante.© Darryl L. Millis
Cette radiographie met en évidence des anomalies modérées liées à la MLPC. La flèche montre une perte significative de la densité osseuse sous-chondrale au niveau du col du fémur, avec remodelage de la tête fémorale.
Figure 2. Cette radiographie met en évidence des anomalies modérées liées à la MLPC. La flèche montre une perte significative de la densité osseuse sous-chondrale au niveau du col du fémur, avec remodelage de la tête fémorale.© Darryl L. Millis

Les anomalies radiographiques ont été classées selon leur gravité au cours de l’évolution de la maladie, comme le montre le Tableau 1.

Stade 1 Le premier signe radiographique à apparaître est un élargissement de l’espace articulaire. Au début de la maladie, des zones de moindre densité peuvent également être observées au niveau à la fois de l’épiphyse fémorale proximale et de la métaphyse.
Stade 2/3 Au fur et à mesure que la maladie progresse, un aplatissement et une irrégularité de la tête fémorale apparaissent. Des zones d’opacité réduite plus nombreuses peuvent donner une apparence lytique à la tête et au col. 
Stade 4 Une accentuation de l’aplatissement et de l’irrégularité de la tête et du col, due au tassement et au remodelage de l’os touché, peut entraîner un élargissement et une subluxation de l’espace articulaire coxofémoral. 
Stade 5 En stade avancé, une fragmentation de la tête fémorale et une discontinuité de la surface articulaire peuvent s’observer.
Tableau 1. Stadification des anomalies radiographiques lors de MLPC ( 3 ).

L’imagerie par résonance magnétique (IRM) a également été utilisée de manière expérimentale pour évaluer des chiens atteints de MLPC et elle permet généralement de détecter les anomalies avant l’examen radiographique [10]. Toutefois, l’intérêt clinique de l’IRM lors de MLPC canine est discutable, car la plupart des chiens ne présentent des signes cliniques (et ne sont donc amenés en consultation) que lorsque des modifications osseuses modérées à sévères existent déjà, stade auquel les anomalies sont radiologiquement visibles. Dans certains cas, l’IRM peut être utile pour évaluer précocement les chiens à risque génétique de MLPC.

Quel est le traitement de choix de la MLPC ?

La MLPC est habituellement traitée chirurgicalement car son développement ne permet généralement pas au propriétaire de l’identifier précocement, ce qui fait que les remaniements osseux présents au moment du diagnostic sont généralement trop avancés pour qu’un traitement médical puisse être efficace. Cependant, si la maladie est détectée très tôt, il est possible de la traiter médicalement. Dans une étude de cas, une MLPC a été diagnostiquée chez un Schipperke de 5 mois, avant qu’il y ait un tassement de la tête et du col du fémur [11]. Un bandage de Ehmer a été mis en place pour empêcher l’appui du membre pendant la revascularisation et la réossification de l’os sous-chondral. Les radiographies réalisées à 10 et 24 semaines ont montré que ce traitement conservateur avait été efficace pour traiter la MLCP et préserver la fonction articulaire. Un auteur a suggéré qu’il pourrait être intéressant d’initier une courte période de traitement conservateur, qui serait suivie d’une intervention chirurgicale si les résultats ne sont pas satisfaisants [4]. Il faut toutefois être prudent avec cette approche car si l’intervention chirurgicale intervient trop tard, des anomalies secondaires difficilement réversibles (atrophie musculaire, par exemple) peuvent se développer.

Dans la quasi-totalité des cas, des déformations osseuses irréversibles et une arthrose seront déjà présentes au moment du diagnostic et le traitement chirurgical conduit alors au meilleur résultat fonctionnel. La majorité des cas sont traités par exérèse de la tête et du col du fémur (ETCF).

Exérèse tête et col du fémur. La flèche noire indique la région de l’acétabulum crânial (la zone blanche située sous la flèche est le cartilage articulaire de l’acétabulum. Le tissu à l’extrémité de la flèche est le reste de ligament de la tête fémorale). L’accolade montre le fémur après ostéotomie et exérèse tête et col. L’ostéotomie va de la face médiale du grand trochanter jusqu’au petit trochanter.
Figure 3. Exérèse tête et col du fémur. La flèche noire indique la région de l’acétabulum crânial (la zone blanche située sous la flèche est le cartilage articulaire de l’acétabulum. Le tissu à l’extrémité de la flèche est le reste de ligament de la tête fémorale). L’accolade montre le fémur après ostéotomie et exérèse tête et col. L’ostéotomie va de la face médiale du grand trochanter jusqu’au petit trochanter.© Darryl L. Millis
Suture de la capsule articulaire dorsale de l’acétabulum (flèche blanche) avec la capsule ventrale (flèche noire). La capsule formera une couche de tissus mous entre l’acétabulum et le fémur ostéotomisé, indiqué par l’accolade.
Figure 4. Suture de la capsule articulaire dorsale de l’acétabulum (flèche blanche) avec la capsule ventrale (flèche noire). La capsule formera une couche de tissus mous entre l’acétabulum et le fémur ostéotomisé, indiqué par l’accolade.© Darryl L. Millis

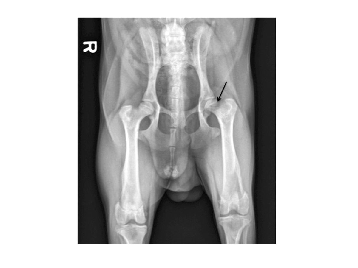
Pour obtenir d’excellents résultats avec l’ETCF, il est essentiel d’adopter une bonne technique opératoire. Un abord crâniolatéral de l’articulation coxofémorale est réalisé et la capsule articulaire est exposée. Une arthrotomie est effectuée en incisant la capsule articulaire juste au-dessus de son insertion sur le col du fémur. Le ligament rond est sectionné et la tête fémorale est luxée vers l’extérieur. Un instrument de type crochet à ovariectomie peut être utilisé pour surélever la tête fémorale par rapport à l’acétabulum et aider à protéger le nerf sciatique qui longe caudalement le col fémoral. Une petite scie électrique, une scie fil ou un ostéotome et un marteau peuvent être utilisés pour réaliser l’ostéotomie. Dans certains cas, l’os peut être très mou ou fracturé et une pince-gouge peut alors suffire à retirer le reste de la tête fémorale. Pour tenir compte de l’antéversion de la tête et du col, il faut appliquer une rotation externe suffisante au fémur, en amenant par exemple la pointe du tarse (tuber calcis) contre la paroi thoracique latérale. L’ostéotomie est effectuée de la base du grand trochanter jusqu’au petit trochanter (Figure 3). Après ETCF, il est nécessaire de palper le site d’ostéotomie pour détecter tout éclat d’os restant, généralement sur la face caudomédiale du fémur. Le cas échéant, les excroissances osseuses peuvent être retirées avec une pince gouge et le site d’ostéotomie peut ensuite être lissé à l’aide d’une râpe. Puis, la zone est abondamment rincée pour éliminer les fragments restants ou les poussières d’os. La néoarticulation est mobilisée pour s’assurer qu’il n’existe pas de contact interosseux important. La partie de la capsule articulaire venant du bord dorsal de l’acétabulum peut alors être suturée sur la face ventrale de l’acétabulum pour interposer une couche de tissu mou entre l’acétabulum et le fémur ostéotomisé (Figure 4). Des radiographies postopératoires doivent être réalisées pour confirmer que la totalité de la tête et du col a bien été retirée (Figure 5).

Radiographie postopératoire après une exérèse tête et col du fémur. La ligne d’ostéotomie part de la face médiale du grand trochanter et rejoint le petit trochanter pour limiter le contact interosseux.
Figure 5. Radiographie postopératoire après une exérèse tête et col du fémur. La ligne d’ostéotomie part de la face médiale du grand trochanter et rejoint le petit trochanter pour limiter le contact interosseux.© Darryl L. Millis

Récemment, grâce aux progrès et à l’amélioration des techniques de prothèse totale de hanche, une micro-prothèse totale de hanche a pu être réalisée chez certains chiens souffrant de MLPC, mais une discussion approfondie de cette option thérapeutique dépasse le cadre de cet article. Il est toutefois intéressant de noter que, même si les résultats obtenus avec un système de micro-prothèse totale de hanche ont été très bons [12], l’utilisation d’un système nano a entraîné un taux de complications de 33 % [13].

En quoi consiste la prise en charge postopératoire de la MLPC ?

Les soins postopératoires après ETCF sont essentiels à la réussite du traitement [14]. Ceux-ci débutent concrètement par une analgésie préventive. La plupart des chiens ont déjà été placés sous anti-inflammatoires non stéroïdiens (AINS) avant la chirurgie, et il est préférable d’utiliser un inhibiteur COX-2 pour réduire le risque d’effets indésirables. En outre, des analgésiques opiacés, une épidurale et une excellente analgésie postopératoire, en perfusion continue, par exemple, aideront à préserver le confort du patient. La gabapentine peut également être ajoutée en complément des AINS en postopératoire. À l’occasion, l’administration orale d’opiacés tels que la codéine peut aussi se révéler utile après l’opération.

La rééducation peut commencer immédiatement après l’intervention, c’est-à-dire quand l’animal est encore sous l’effet de l’anesthésie. L’articulation est mobilisée lentement et de façon continue jusqu’à ce que le chien commence à se réveiller. Si l’animal n’est pas en hypothermie du fait de l’anesthésie, une poche de froid peut être placée sur le site chirurgical pour aider à réduire l’inflammation, l’oedème et la douleur. S’il est en hypothermie, la cryothérapie pourra être instaurée dès qu’il aura retrouvé une température corporelle normale. Le lendemain matin de la chirurgie, des analgésiques sont administrés avant de commencer la rééducation. Une poche de froid peut être appliquée pendant 15-20 minutes sur le site chirurgical. Dans le même temps, il est possible d’effectuer une électro stimulation (TENS) pour compléter l’analgésie. A ce propos, l’auteur préfère utiliser quatre électrodes avec courants interférentiels croisés pour obtenir une analgésie de qualité. Après la cryothérapie, la néoarticulation est fléchie et étendue délicatement 20 fois de suite. Le laser thérapeutique peut également aider à contrôler l’oedème et la douleur. Le fait de soulager le poids du chien tandis que celui-ci est en position debout l’incitera à poser l’extrémité du membre. Le faire marcher en le soutenant avec une sangle placée sous l’abdomen favorisera la mobilité du membre et son appui. Si l’animal garde son membre en flexion haute, il faudra administrer un analgésique supplémentaire. Les chiens qui n’ont pas trop mal maintiennent leur membre près du sol, de sorte que son extrémité touche quasiment par terre. A partir de là, ils commencent généralement à s’appuyer dessus, notamment après les exercices de transfert de poids. Les séances de cryothérapie, mobilisation, soulagement du poids et marche assistée peuvent être réalisées 3-4 fois par jour jusqu’à ce que l’animal recommence à appuyer son membre, généralement au bout de 3 à 5 jours après l’opération.

Il est important d’essayer de regagner le plus possible la mobilité de la néoarticulation pendant les deux premières semaines, notamment en extension. Si la mobilité est limitée, il peut être utile d’appliquer une poche de chaleur durant 15- 20 minutes avant la physiothérapie afin d’assouplir les tissus. Notons que les poches de chaleur sont à proscrire au cours des 72 premières heures après l’opération car elles risquent alors d’augmenter l’inflammation. Des étirements de la néo- articulation peuvent également être réalisés en maintenant l’articulation en flexion ou extension maximale pendant 15 secondes tout en appliquant une certaine pression, ceci 10- 15 fois par session à raison de 3 sessions par jour.

Les autres activités qui peuvent être utiles pendant les 2- 3 premières semaines suivant l’opération sont la marche sur tapis roulant et les exercices d’équilibre sur disque ou coussin gonflable. Au fur et à mesure des progrès du chien, d’autres activités telles que la marche sur plan incliné, les mouvements assis-debout, la marche sur tapis roulant immergé, la nage, la montée de marches et la course peuvent aider à améliorer l’utilisation du membre et la masse musculaire. Pour les animaux qui n’utilisent toujours pas bien leur membre après 10-14 jours, un objet inconfortable de type bouchon de bouteille ou capuchon de seringue peut être placé sous le membre controlatéral pour inciter l’animal à s’appuyer sur le membre opéré. Pour aider à renforcer les muscles fléchisseurs, un poids léger peut être attaché au membre opéré. Une consultation avec un professionnel de la rééducation canine peut aider pour de plus amples conseils.

Quel est le pronostic de la MLPC ?

Le pronostic après diagnostic et traitement des chiens atteints de MLPC est généralement bon. Rappelons toutefois qu’il est essentiel de s’assurer de l’absence de toute autre affection orthopédique risquant de compromettre l’utilisation du membre (luxation de rotule, par exemple), et le lecteur est invité à se reporter au Tableau 2, qui propose un rapide diagnostic différentiel des affections orthopédiques du membre postérieur chez les chiens de petite race. Les petits chiens récupèrent généralement très bien après ETCF et rééducation. Une étude rétrospective [4] comparant traitement conservateur (kinésithérapie) et traitement chirurgical (ETCF) chez des chiens atteints de MLPC a conclu que l’ETCF est indiquée lorsque le traitement conservateur n’entraîne pas d’amélioration clinique sous quatre semaines. L’ETCF a un bon pronostic à long terme, bien qu’une légère boiterie intermittente puisse persister. De même, la mise en place d’une prothèse totale de hanche est de bon pronostic. Etant donné la probabilité d’une composante génétique, la reproduction des individus touchés n’est pas recommandée, et il peut être pertinent d’envisager de stériliser ces animaux.

Bassin
Tumeur
Traumatisme/fracture 
Articulation coxo-fémorale Dysplasie de la hanche
Maladie de Legg-Perthes-Calvé (fréquente)
Luxation de la hanche (antécédent de traumatisme)
Déchirure du tendon/muscle iliopsoas
Ostéochondrite disséquante de la tête fémorale (peu probable)
Traumatisme/fracture (antécédent de traumatisme) 
Fémur Panostéite (peu probable)
Ostéosarcome (peu probable)
Traumatisme/fracture (antécédent de traumatisme)
Genou Rupture du ligament croisé crânial (peu probable chez un jeune chien)
Lésion du ménisque médial (peu probable chez un jeune chien)
Rupture du ligament croisé caudal (peu probable)
Lésion du ligament collatéral (antécédent de traumatisme)
Entorse du genou (antécédent de traumatisme)
Luxation de la rotule (médiale plus fréquente que latérale)
Ostéochondrite disséquante du condyle fémoral latéral (peu probable)
Traumatisme/fracture (antécédent de traumatisme)
Déchirure/lacération du tendon du long extenseur des doigts (peu probable) 
Tibia Panostéite (peu probable)
Ostéosarcome (peu probable)
Traumatisme/fracture (antécédent de traumatisme) 
Tarse Ostéochondrite disséquante des crêtes trochléaires du talus (peu probable)
Lésion du tendon calcanéen (peu probable à moins d’un traumatisme)
Luxation du tendon du fléchisseur superficiel des doigts par rapport à la tubérosité calcanéenne (peu probable)
Abrasion/lésions du ligament collatéral (antécédent de traumatisme)
Traumatisme/fracture (antécédent de traumatisme) 
Métatarse et phalanges Luxation articulaire (antécédent de traumatisme)
Lacération/lésion des tendons et ligaments (antécédent de traumatisme)
Ostéopathie hypertrophique (peu probable)
Traumatisme/fracture (antécédent de traumatisme)
Lésions d’abrasion (antécédent de traumatisme)
Causes nutritionnelles et métaboliques Suralimentation (fréquente)
Hyperparathyroïdie secondaire d’origine nutritionnelle ou rénale
Tumeur autre qu’ostéosarcome (rare)
NFacteurs neurologiques

Instabilité lombo-sacrée (peu probable)
Lésions de la moelle épinière :

Hernie discale thoraco-lombaire (fréquente)
Tumeur médullaire (peu probable)
Myélopathie dégénérative (peu probable)
Traumatisme de la colonne vertébrale (antécédent de traumatisme)

Tableau 2. Diagnostic différentiel des troubles orthopédiques des membres postérieurs chez les chiens de petite race.

En conclusion, le diagnostic de la maladie de Legg-Perthes-Calvé est généralement simple chez les jeunes chiens de races naine et miniature présentant douleur, atrophie musculaire et boiterie modérée à sévère de la hanche. Le traitement chirurgical est généralement évident, mais soulignons que les soins postopératoires peuvent faire une différence significative dans la récupération et l’utilisation finale du membre.

Darryl L. Millis

Darryl L. Millis

MS, Dr Vétérinaire, Dipl. ACVS, CCRP, Dipl. ACVSMR

Le Dr Millis est Professeur de chirurgie orthopédique et Directeur du service de médecine vétérinaire du sport au Collège de Médecine Vétérinaire de l’Université du Tennessee. Diplômé des Collèges Américains de Chirurgie Vétérinaire et de Médecine Vétérinaire du Sport et de la Rééducation (ACVS et ACVSMR), le Dr Millis a écrit et publié de nombreux textes, dont les ouvrages intitulés Small Animal Physical Therapy and Rehabilitation et Essential Facts of Physiotherapy. Il est également le lauréat du prix WSAVA Iams Paatsama Award 2006.

Bibliographie
  1. Lee R. A study of the radiographic and histological changes occurring in Legg-Calvé-Perthes Disease (LCP) in the dog. J Small Anim Pract 1970;11:621-638.
  2. Vasseur PB, Foley P, Stevenson S, et al. Mode of inheritance of Perthes’ disease in Manchester terriers. Clin Orthop Relat Res 1989;244:281-292.
  3. Ljunggren, G. Legg-Perthes disease in the dog. Acta Orthop Scand 1967;95(Suppl):22-26.
  4. Piek CJ, Hazewinkel HAW, Wolvekamp WTC, et al. Long-term follow-up of avascular necrosis of the femoral head in the dog. J Small Anim Pract 1996;37:12-18.
  5. Scherzer C, Windhagen H, Nellesen J, et al. Comparative structural analysis of the canine femoral head in Legg-Calvé-Perthes Disease. Vet Radiol Ultrasound 2009;50:404-411.
  6. Pidduck H, Webbon PM. The genetic control of Perthes’ disease in toy poodles — a working hypothesis. J Small Anim Pract 1978;19:729-733.
  7. Starr-Moss AN, Nowend KL, Alling KM, et al. Exclusion of COL2A1 in canine Legg-Calvé-Perthes disease. Animal Genetics 2011;43:112-113.
  8. LaFond E, Breur GJ, Austin CC. Breed susceptibility for developmental orthopedic diseases in dogs. J Am Anim Hosp Assoc 2002;38:467-477.
  9. Robinson R. Legg-Calvé-Perthes disease in dogs: genetic aetiology. J Small Anim Pract 1992;33:275-276.
  10. Bowlus RA, Armbrust LJ, Biller DS, et al. Magnetic resonance imaging of the femoral head of normal dogs and dogs with avascular necrosis. Vet Radiol Ultrasound 2008;49:7-12.
  11. Gibson KL, Lewis DD, Pechman RD. Use of external co-aptation for the treatment of avascular necrosis of the femoral head in a dog. J Am Vet Med Assoc 1990;197:868-870.
  12. Jankovits DA, Liska WD, Russell H, et al. Treatment of avascular necrosis of the femoral head in small dogs with micro total hip replacement. Vet Surg 2012;41:143-147.
  13. Ireifej S, Marino D, Loughin C. Nano total hip replacement in 12 dogs. Vet Surg 2012;41:130-135.
  14. Millis DL, Levine D. Canine Physical Therapy and Rehabilitation. Philadelphia: Elsevier Saunders 2013; Appendix 1, 703-706.
Accéder au PDF du magazine

Partager sur les réseaux sociaux