HomeVeterinariaImaging del fegato e del pancreas

Imaging del fegato e del pancreas

Scritto da Laurent Blond

 

L'imaging del fegato e del pancreas può offrire informazioni preziose nello studio delle possibili malattie legate a questi organi; Laurent Blond rivede le varie opzioni.

Article

Reading time5 - 15 min
Imaging del fegato e del pancreas

Punti Chiave

Group 15 1

La radiografia consente di valutare le dimensioni e i margini del fegato, ma non permette di indagare le alterazioni parenchimali, salvo in presenza di gas o mineralizzazione.

Group 15 2

L'ecografia è una modalità molto utile per completare la valutazione del fegato, economica e non invasiva, e nella maggior parte dei casi può essere eseguita senza sedazione.

Group 15 3

La TC richiede il paziente in anestesia generale, ma è molto utile per visualizzare l'intero fegato, specialmente nei cani di taglia grande in cui l'ecografia può avere delle limitazioni.

Group 15 4

L'ecografia è utile per l'imaging del pancreas, sebbene valutare e interpretare i dati in modo accurato richieda una certa esperienza.

Introduzione

Le varie modalità di diagnostica per immagini attualmente disponibili nella pratica dei piccoli animali consentono eccezionali opportunità per la diagnosi di molte patologie di fegato e pancreas. Questo articolo analizza brevemente l'anatomia di entrambi gli organi, e discute i pro e i contro di ogni tecnica.

Il fegato

Il fegato è l'organo più grande dell'addome e occupa gran parte della zona craniale. Situato tra il diaframma e lo stomaco, il fegato è suddiviso in diversi lobi: il lobo destro con i settori laterale e mediale, il lobo sinistro con i settori laterale e mediale, il lobo quadrato, e il lobo caudato con i processi papillare e caudato. Il fegato ha due sistemi venosi, portale e sistemico.

Il fegato è strettamente collegato alla cistifellea, localizzata tra il settore mediale del lobo destro e il lobo quadrato, mentre il processo caudato è a contatto con il rene destro.

Radiografia

L’imaging radiografico consente di valutare dimensioni e margini del fegato, ma non di indagare le alterazioni parenchimali, salvo quando associate a gas o mineralizzazioni. Sono necessarie due proiezioni ortogonali dell'addome del paziente (laterale e ventrodorsale), acquisite in espirazione. Per valutare interamente il fegato, è importante includere nelle radiografie addominali il margine craniale del diaframma.

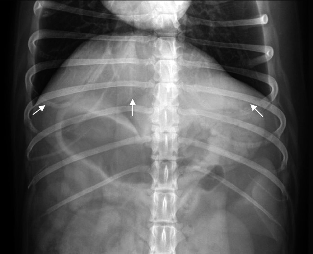
La silhouette epatica non può essere differenziata dal diaframma e viene delineata caudalmente dallo stomaco. L'aspetto caudoventrale del fegato normale ha margini netti (Figura 1a) (Figura 1b). L'asse gastrico può aiutare a valutare le dimensioni del fegato, dal momento che dovrebbe essere visibile in proiezione laterale nell'area compresa tra la linea tracciata a 90 gradi rispetto alla colonna vertebrale e quella parallela all'ultimo paio di coste. Si parla di epatomegalia quando l'asse gastrico è dislocato oltre l'ultimo paio di coste, o il margine caudoventrale del fegato si estende caudalmente alla faccia ventrale dello stomaco. Se lo stomaco è dislocato cranialmente, allora il fegato è probabilmente piccolo, anche se questo aspetto può essere normale nei cani a torace profondo (Boxer, Dobermann o Alano). Le epatopatie sono spesso associate ad ascite, che può precludere la valutazione del fegato, ma la presenza di fluido peritoneale, caratterizzato dalla perdita di definizione di sierosa e, nei casi gravi, dalla presenza di addome pendulo, è generalmente facile da riconoscere nelle radiografie addominali. 

Radiografia addominale di un cane (proiezione ventrodorsale) che mostrano un fegato normale (frecce bianche). Il margine caudoventrale del fegato normale ha aspetto angolato.
Figura 1a. Radiografia addominale di un cane (proiezione ventrodorsale) che mostrano un fegato normale (frecce bianche). Il margine caudoventrale del fegato normale ha aspetto angolato.© Laurent Blond
Radiografia addominale di un cane (proiezione laterale) che mostrano un fegato normale (frecce bianche). Il margine caudoventrale del fegato normale ha aspetto angolato.
Figura 1b. Radiografia addominale di un cane (proiezione laterale) che mostrano un fegato normale (frecce bianche). Il margine caudoventrale del fegato normale ha aspetto angolato.© Laurent Blond
Radiografia addominale laterale che mostra colelitiasi nei dotti biliari intraepatici, con il tipico aspetto ramificato.
Figura 2. Radiografia addominale laterale che mostra colelitiasi nei dotti biliari intraepatici, con il tipico aspetto ramificato.© Laurent Blond

Una massa epatica può deformare il margine epatico e indurre effetto massa (causato da una massa che spinge o disloca il tessuto circostante). Un tumore epatico sul lato destro dislocherebbe il piloro caudo-medialmente, se origina dal centro o dal lato sinistro del fegato deformerebbe il margine craniale del fundus gastrico.

Normalmente, la cistifellea non può essere visualizzata in radiografia. Tuttavia, in alcuni gatti, la faccia ventrale della cistifellea può proiettarsi oltre il margine ventrale della silhouette epatica sul grasso falciforme, e non deve essere confusa con una massa. La colelitiasi è una causa comune di mineralizzazione del fegato, e assumerà un aspetto ramificato in radiografia se coinvolge i dotti biliari intraepatici (Figura 2).

Ecografia

L'ecografia è una modalità molto utile per completare la valutazione del fegato, essendo economica e non invasiva (nella maggior parte dei casi può essere eseguita senza sedazione). L'ecografia è particolarmente raccomandata se la radiografia mostra epatomegalia o versamento peritoneale, ma la sua utilità può essere limitata nei cani di taglia grande o se lo stomaco è marcatamente disteso a causa del gas. Il fegato può essere visualizzato con la sonda appoggiata appena sotto il processo xifoideo, passando da sinistra a destra sul piano sagittale, o in direzione cranio-caudale sul piano trasversale, per valutare l'intero organo. La profondità deve essere impostata in modo appropriato per includere tutto il fegato. Come per la radiografia, il diaframma non può essere differenziato dal parenchima epatico, e il margine diaframmatico delimita il margine craniale del fegato. Il margine diaframmatico è caratterizzato da una linea curva di artefatti da riverberazione prodotti dall'aria contenuta nei polmoni. L’immagine a specchio è un comune artefatto dell’ecografia epatica, ed è determinata dalla proiezione dell'immagine epatica cranialmente al diaframma. È importante non confonderlo con un'ernia diaframmatica o una massa toracica.

Il fegato ha un parenchima omogeneo con ecotessitura leggermente granulare, ipoecogeno rispetto al grasso falciforme e alla milza (Figura 3a) (Figura 3b) (Figura 3c) e da isoecogeno a ipoecogeno rispetto al rene destro [1]. I margini del fegato sono di norma lisci e regolari, delineati da una sottile capsula iperecogena. La separazione dei lobi epatici è solitamente evidente, salvo in caso di versamento nella cavità peritoneale. Le vene epatiche sono facilmente visualizzate nel parenchima epatico come strutture anecogene tubolari, mentre le vene portali si differenziano dal sistema venoso sistemico per la loro parete iperecogena. Il grado di visibilità dei vasi portali può anche essere utile per valutare l'ecogenicità epatica. 

Ecografia di un fegato canino normale. Aspetto della parte sinistra del fegato in proiezione sagittale; il fegato ha un parenchima omogeneo ed è ipoecogeno rispetto alla milza (S). I vasi portali (freccia bianca) hanno pareti iperecogene.
Figura 3a. Ecografia di un fegato canino normale. Aspetto della parte sinistra del fegato in proiezione sagittale; il fegato ha un parenchima omogeneo ed è ipoecogeno rispetto alla milza (S). I vasi portali (freccia bianca) hanno pareti iperecogene.© Laurent Blond
Ecografia di un fegato canino normale. Proiezione trasversale con la cistifellea (GB) sulla destra; i vasi portali (freccia bianca) hanno pareti iperecogene.
Figura 3b. Ecografia di un fegato canino normale. Proiezione trasversale con la cistifellea (GB) sulla destra; i vasi portali (freccia bianca) hanno pareti iperecogene.© Laurent Blond
Ecografia di un fegato canino normale. Aspetto della parte destra del fegato in proiezione sagittale.
Figura 3c. Ecografia di un fegato canino normale. Aspetto della parte destra del fegato in proiezione sagittale.© Laurent Blond

Come nel caso della radiografia, le dimensioni del fegato sono valutate soggettivamente, sapendo che di norma l'aspetto caudoventrale non si dovrebbe estendere oltre il fundus dello stomaco. I lobi di destra si estendono più dorsalmente e sono spesso valutati meglio usando una finestra intercostale caudale, tra il 10° o l'11° spazio intercostale destro. Questa finestra è anche utile per valutare la cistifellea, che mostra normalmente un contenuto anecogeno e una parete iperecogena molto sottile. Nella maggior parte dei cani di mezza età, nella cistifellea si osserva materiale ecogeno mobile. Questo riscontro è piuttosto insolito nel gatto e, nel caso, è utile effettuare ulteriori indagini sulla funzionalità delle vie biliari. I dotti biliari intraepatici non sono normalmente visibili.

Le principali alterazioni apprezzabili all'ecografia sono alterazioni delle dimensioni (più spesso epatomegalia) e dell'ecogenicità, o la presenza di un nodulo o una massa. L'ecografia è molto sensibile per rilevare le alterazioni parenchimali ma non è specifica, e ogni alterazione deve essere interpretata in relazione ai segni clinici. Ad esempio, l'epatomegalia con iperecogenicità può indicare maggiormente una diagnosi di lipidosi nel gatto itterico, mentre costituisce un riscontro comune del cane diabetico. In queste due particolari condizioni, il parenchima epatico sarà anche iper-attenuante (Figura 4). L'epatite acuta può essere caratterizzata da epatomegalia ed ipoecogenicità, mentre nei casi cronici il fegato può apparire eterogeneo con margini irregolari. 

Scansione ecografica di un fegato con parenchima iperecogeno che è anche iper-attenuante (ecogenicità ridotta nel campo profondo).
Figura 4. Scansione ecografica di un fegato con parenchima iperecogeno che è anche iper-attenuante (ecogenicità ridotta nel campo profondo).© Laurent Blond

Una massa epatica può variare nell’aspetto, ma appare generalmente eterogenea e può deformare il margine epatico. È possibile identificare la parte del fegato interessata, ma può essere difficile identificare correttamente l'esatto lobo epatico interessato. D'altra parte, l'ecografia può essere utile per identificare il fegato quando si indaga l'origine di una massa addominale voluminosa.

È importante non interpretare le alterazioni della cistifellea come una massa epatica in particolare nel caso del mucocoele, in cui la cistifellea è piena di materiale eterogeneo, organizzato e statico. 

L'ecografia è molto sensibile anche per rilevare noduli epatici, ma ancora una volta non è specifica per identificarne la natura (molti noduli epatici possono rappresentare alterazioni benigne). Le cisti epatiche appaiono come strutture anecoiche e arrotondate sul piano ortogonale, e ciò produce artefatti. Se necessario, si possono eseguire agoaspirati o biopsie ecoguidate.

La diminuzione delle dimensioni epatiche può essere conseguenza dell'epatite cronica e della cirrosi, e in questo caso l’ecografia evidenzia margini irregolari; è spesso presente anche ascite. Tuttavia, un fegato piccolo può essere anche indicativo di shunt portosistemico congenito in pazienti più giovani, specialmente se lo shunt è extraepatico. Lo shunt intraepatico solitamente è un vaso insolitamente grande, curvilineo e tortuoso all'interno del parenchima epatico, che collega il flusso portale alla porzione epatica della vena cava caudale.

L'ecografia è molto sensibile per rilevare i noduli epatici, ma non è specifica per identificarne la natura; è una questione importante, poiché molti noduli epatici possono avere natura benigna.

Laurent Blond

Dove c'è un'ostruzione biliare cronica, i dotti biliari intraepatici possono essere visualizzati come strutture tubulari anecoiche leggermente tortuose; il color Doppler può aiutare a differenziare i dotti dai vasi sanguigni.

Tomografia computerizzata (TC) 

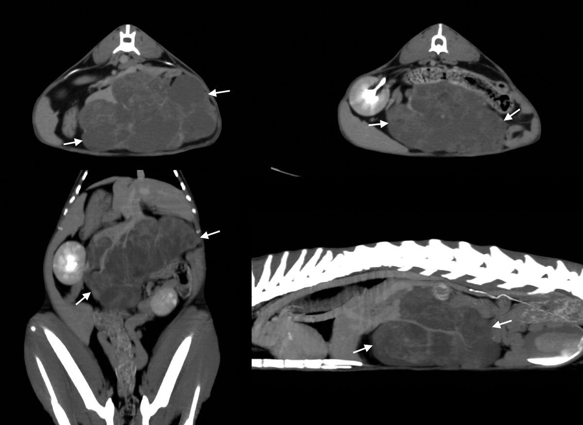
Immagini TC di un tumore epatico in un gatto. Immagini trasversali (sopra) e immagini dorsale e sagittale riformattate nella proiezione di massima intensità (sotto). Al centro del fegato può essere osservata questa grande massa, con contorni chiaramente delineati, che aiuta a pianificare la rimozione chirurgica.
Figura 5. Immagini TC di un tumore epatico in un gatto. Immagini trasversali (sopra) e immagini dorsale e sagittale riformattate nella proiezione di massima intensità (sotto). Al centro del fegato può essere osservata questa grande massa, con contorni chiaramente delineati, che aiuta a pianificare la rimozione chirurgica.© Laurent Blond

L'imaging tramite TC richiede il paziente in anestesia generale e l’uso di mezzo di contrasto iodato iniettato per via endovenosa. È molto utile per esaminare l'intero fegato, specialmente nei cani di taglia grande dove l'ecografia può avere dei limiti. Il cane può essere posizionato in decubito dorsale o ventrale, e le immagini acquisite sul piano trasversale possono essere riformattate su piani diversi. Il fegato di norma mostra l'attenuazione omogenea dei tessuti molli. La TC è specificamente raccomandata per valutare l'esatta posizione di una massa epatica e la sua possibile disseminazione in vista di una chirurgia (Figura 5). Inoltre, è molto utile per valutare le anomalie vascolari, soprattutto gli shunt portosistemici (intraepatici o extraepatici); in questo caso, dopo l'iniezione del mezzo di contrasto, sono necessari tre tempi di acquisizione: fase arteriosa, fase portale e fase venosa [2].

Risonanza magnetica (RM)

La RM del fegato non viene utilizzata spesso in medicina veterinaria e le applicazioni sono ancora limitate. Tuttavia, la sua maggiore risoluzione può aiutare a differenziare le lesioni epatiche benigne da quelle maligne. Richiede l'anestesia generale del paziente, l'iniezione di mezzo di contrasto al gadolinio, e una RM ad alto campo (almeno 1.5 Tesla) per evitare gli artefatti da movimento indotti dalla respirazione.

Il pancreas

Il pancreas è un organo piccolo che può essere suddiviso in tre sezioni anatomiche: il lobo destro, localizzato lungo il bordo mesenterico del duodeno, il corpo del pancreas, lungo la faccia caudale dello stomaco, e il lobo sinistro, accanto al colon discendente. I margini dell'organo sono generalmente irregolari.

Radiografia

Il pancreas normale non può essere identificato alla radiografia poiché troppo piccolo. Tuttavia, in alcuni gatti in sovrappeso, con grande quantità di grasso peritoneale, il lobo sinistro del pancreas può essere osservato accanto alla faccia mediale della milza, adiacente al polo craniale del rene destro, e non deve essere confuso con un'anomalia. Tuttavia, la radiografia può essere utile se si sospetta una patologia pancreatica, dal momento che in corso di pancreatite si possono osservare alterazioni indirette come perdita di definizione di sierosa nell'addome craniale, ampliamento dell'angolo piloro-duodenale e dilatazione gassosa del duodeno, dovuta all'induzione secondaria di un ileo funzionale. Inoltre, alcuni tumori pancreatici possono essere mineralizzati, e una massa addominale craniale con focolai di mineralizzazione può essere di origine pancreatica.

Ecografia

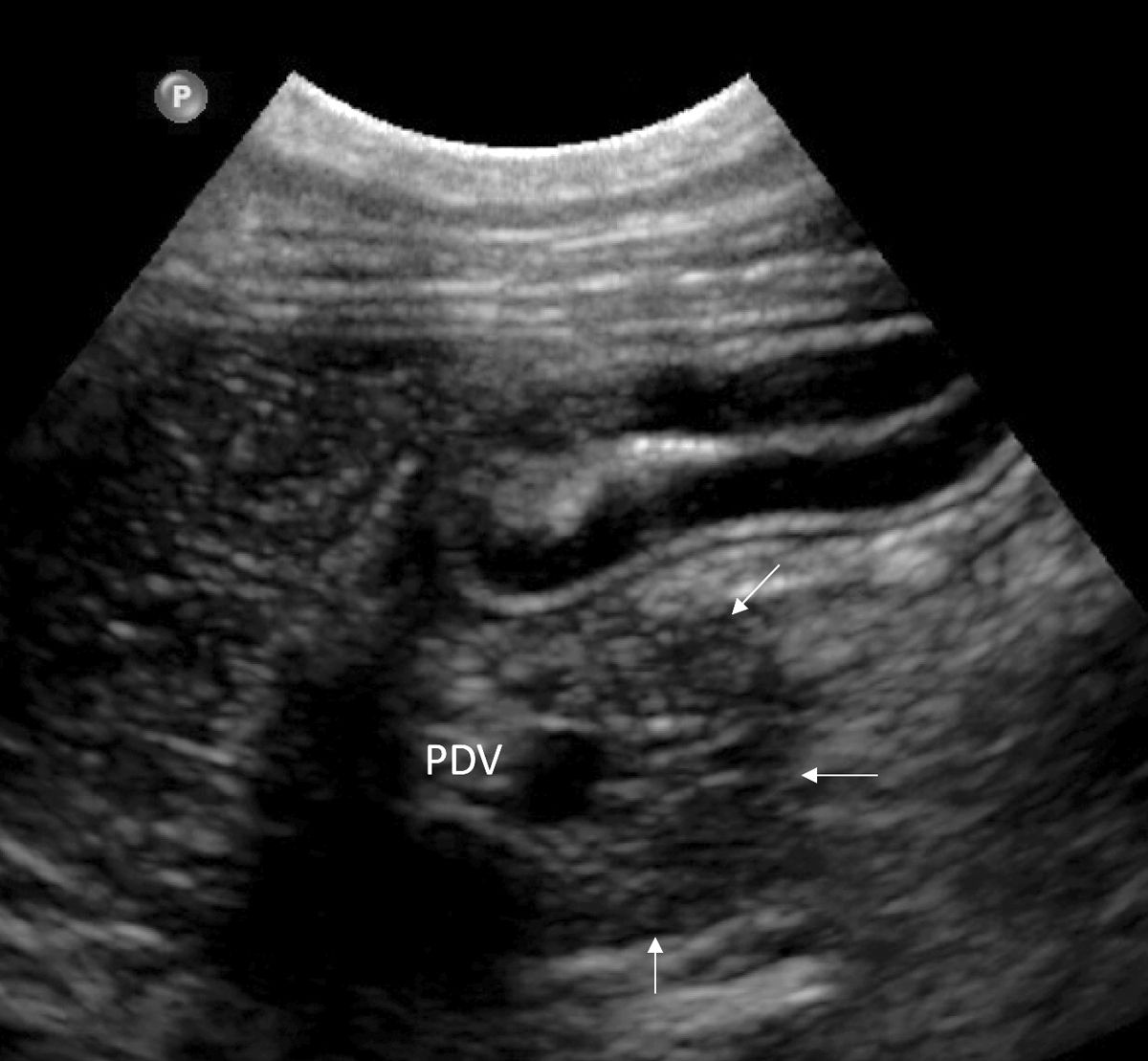
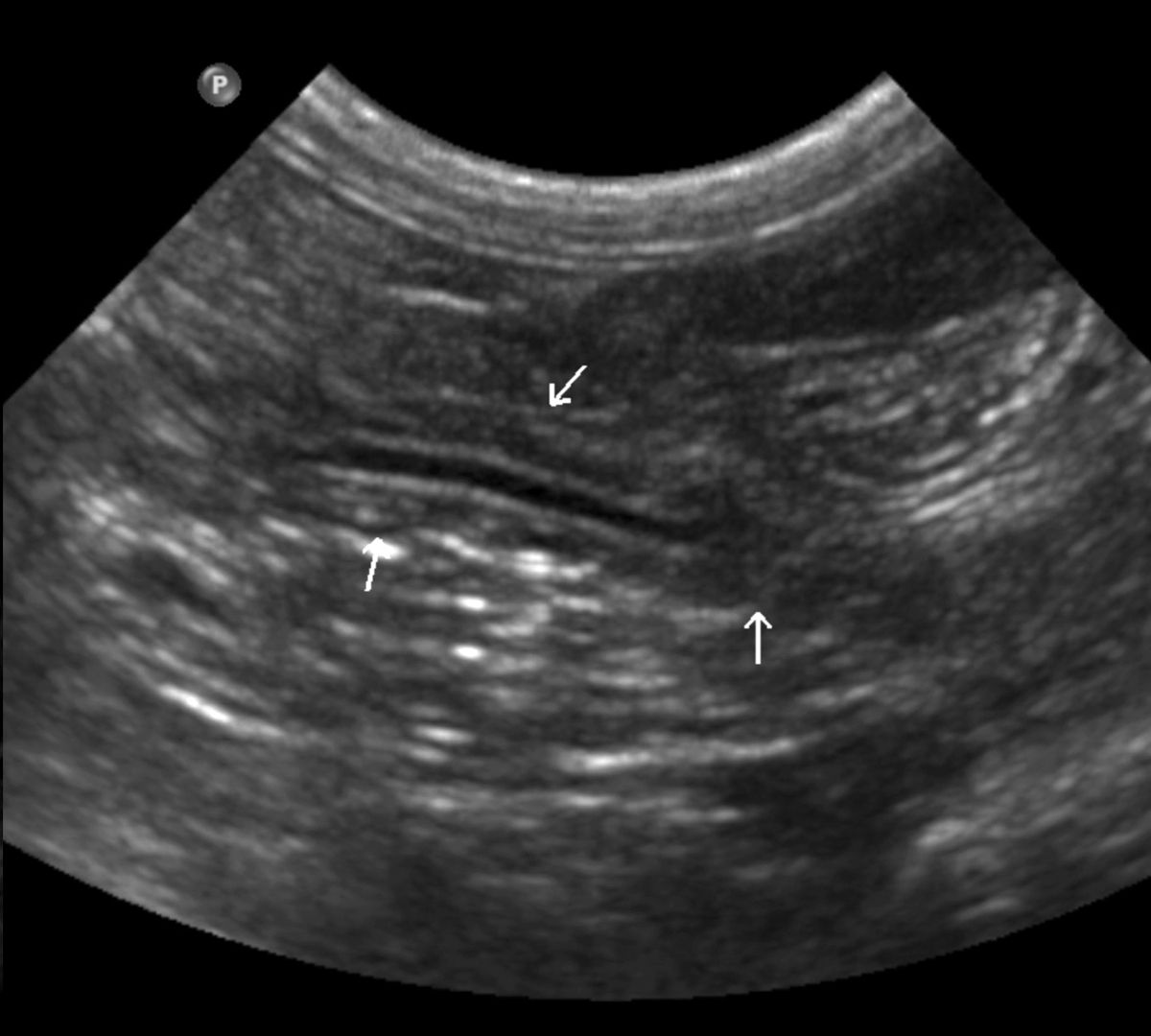
L'ecografia è utile per l'imaging del pancreas, sebbene la valutazione in modo accurato richieda una certa esperienza. Il pancreas normale è discretamente eterogeneo e di solito leggermente ipoecogeno rispetto al grasso circostante, con margini scarsamente definiti [3]. Può avere la stessa ecogenicità del grasso circostante nei gatti, e iperecogeno nello Yorkshire terrier [4]. La valutazione del pancreas si basa principalmente sull'identificazione di specifici punti di repere. Per valutare il lobo destro è importante identificare la porzione di duodeno che si estende dal rene destro, caudalmente, al piloro, cranialmente. Nel cane, la vena pancreatico-duodenale è una struttura anecogena tortuosa e tubolare facilmente identificabile, parallela alla faccia mediale del duodeno (Figura 6a); il tessuto circostante questo vaso è il pancreas. Il color Doppler può essere utile per localizzare meglio tale vaso. Nel gatto, in questa posizione si trova il dotto pancreatico, che aiuta a localizzare il lobo destro del pancreas. Il dotto pancreatico è fisiologicamente dilatato nel gatto (specialmente nei gatti anziani può arrivare fino a 3 mm di diametro) e si congiunge al dotto biliare comune a livello della papilla duodenale maggiore. Il corpo del pancreas è localizzato caudalmente rispetto al piloro e ventralmente alla vena porta, tra stomaco e colon trasverso. Il lobo pancreatico sinistro può essere visualizzato sull'aspetto laterale del colon discendente, caudalmente al fondus dello stomaco, medialmente alla milza, e cranialmente al polo craniale del rene sinistro. Anche il dotto pancreatico può aiutare a localizzare questo lobo nel gatto (Figura 6b). Nei gatti lo spessore del pancreas non deve superare il centimetro [5]. 

Ecografia di un pancreas normale (frecce bianche) in un cane. Il lobo pancreatico destro si trova accanto al duodeno e può essere localizzato mediante ricerca della vena pancreatico-duodenale (PDV).
Figura 6a. Ecografia di un pancreas normale (frecce bianche) in un cane. Il lobo pancreatico destro si trova accanto al duodeno e può essere localizzato mediante ricerca della vena pancreatico-duodenale (PDV).© Laurent Blond
Ecografia di un pancreas normale (frecce bianche) in un gatto; il dotto pancreatico può aiutare a identificarlo.
Figura 6b. Ecografia di un pancreas normale (frecce bianche) in un gatto; il dotto pancreatico può aiutare a identificarlo.© Laurent Blond
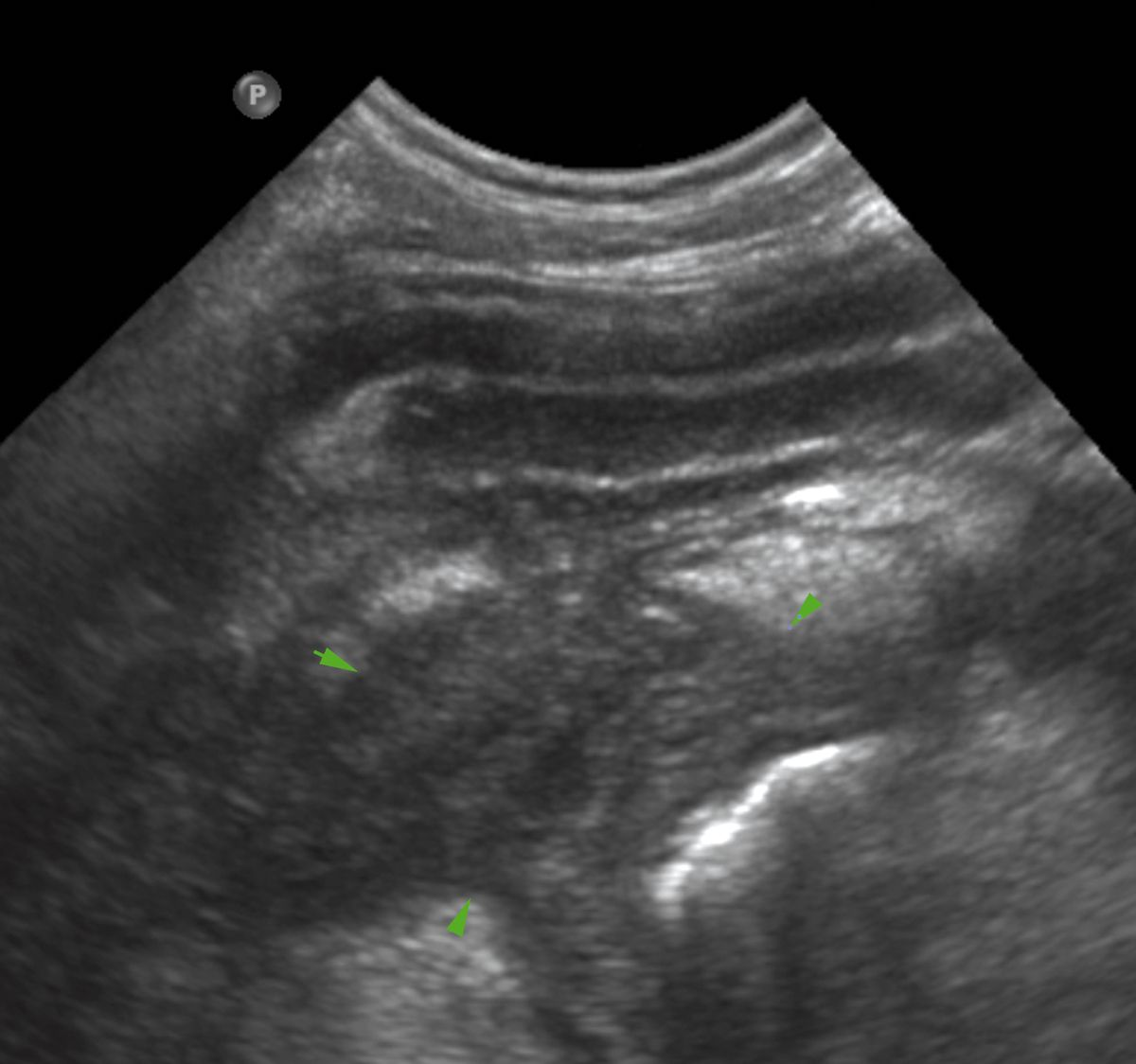
immagine ecografica in corso di pancreatite in un cane: il pancreas appare ispessito ed ipoecogeno (frecce verdi) ed è circondato da grasso, iperecogeno. La parete duodenale adiacente è ispessita.
Figura 7. Immagine ecografica in corso di pancreatite in un cane: il pancreas appare ispessito ed ipoecogeno (frecce verdi) ed è circondato da grasso, iperecogeno. La parete duodenale adiacente è ispessita.© Laurent Blond

La pancreatite acuta è generalmente caratterizzata da un ispessimento ipoecogeno ed eterogeneo del pancreas, circondato da grasso iperecogeno e iper-attenuante. Spesso è presente versamento nelle vicinanze del pancreas. La parete duodenale adiacente è spesso ispessita e plicata, con perdita di definizione dei suoi strati (Figura 7). Il dolore addominale può spesso limitare l'esame del pancreas e richiedere analgesia o sedazione. È possibile la formazione di ascessi o cisti, che appaiono come strutture tondeggianti piene di fluido, da ipo ad anecogene. Tali lesioni possono essere drenate per via ecoguidata. La pancreatite cronica può essere più difficile da riconoscere ed essere caratterizzata da aree eterogenee all'interno del parenchima pancreatico e focolai di grasso iperecogeno adiacenti. 

Immagine ecografica di un carcinoma pancreatico in un gatto, visualizzato come un nodulo ipoecogeno ben definito.
Figura 8. Immagine ecografica di un carcinoma pancreatico in un gatto, visualizzato come un nodulo ipoecogeno ben definito.© Laurent Blond

L'iperplasia nodulare si osserva spesso nei gatti anziani ed è caratterizzata da noduli ipoecogeni ben definiti che misurano meno di 1 cm di diametro [6]. I tumori pancreatici sono spesso ipoecogeni e leggermente eterogenei, deformanti il margine del pancreas (Figura 8). I carcinomi pancreatici sono spesso associati alla carcinomatosi, caratterizzata da versamento peritoneale e noduli ipoecogeni diffusi a mesentere e peritoneo.

Gli insulinomi appaiono di solito come piccoli noduli ipoecogeni e possono essere difficili da visualizzare. Le metastasi epatiche o ai linfonodi adiacenti vengono spesso rilevate prima dell'identificazione del tumore primario.

Tomografia computerizzata

La TC, insieme ai punti di repere descritti nella precedente sezione, è utile per la valutazione del pancreas, che appare come un organo parenchimatoso a margini irregolari. Può essere particolarmente utile per la ricerca degli insulinomi poiché non ha le stesse limitazioni di altri esami dovute al gas nel tratto gastrointestinale, ed è più sensibile per identificare le lesioni piccole, sebbene sia solitamente necessaria la tomografia computerizzata a due fasi. L'insulinoma si presenta come un nodulo ipo-attenuante che mostra una forte intensificazione in la fase arteriosa, ma non durante le altre fasi dello studio [7].

La diagnostica per indagine ha una grande potenzialità quando si indagano fegato e pancreas, ma è essenziale che il clinico abbia familiarità con la normale anatomia ed aspetto degli organi nelle diverse modalità di imaging. È inoltre necessario essere consapevoli dei limiti associati all'uso di tali tecniche diagnostiche, ma la cura appropriata e un approccio standardizzato consentono generalmente risultati positivi nella maggior parte dei casi.

Laurent Blond

Laurent Blond

DVM, MSc, Dipl. ACVR

Francia

Il Dr. Blond ha conseguito la laurea all'Ecole Nationale Vétérinaire di Tolosa nel 1999, quindi ha svolto un internship all'Università di Montreal, Quebec, in Canada, prima di svolgere una residency in diagnostica per immagini presso la North Carolina State University, Stati Uniti. È stato Professore di diagnostica per immagini all'Università di Montreal, prima di unirsi al team del Centre Hospitalier Vétérinaire Languedocia nel 2012. È interessato a tutti gli aspetti della diagnostica per immagini e ha scritto numerosi articoli scientifici e capitoli di libri sull'argomento.

Riferimenti
  1. Larson MM. Ultrasound imaging of the hepatobiliary system and pancreas. Vet Clin North Am Small Anim Pract 2016;46(3):453-80.
  2. Zwingenberger AL, Schwarz T, Saunders HM. Helical computed tomographic angiography of canine portosystemic shunts. Vet Radiol Ultrasound 2005;46(1):27-32.
  3. Hecht S, Henry G. Sonographic evaluation of the normal and abnormal pancreas. Clin Tech Small Anim Pract 2007;22(3):115-121.
  4. Granger LA, Hilferty M, Francis T, et al. Variability in the ultrasonographic appearance of the pancreas in healthy dogs compared to dogs with hyperadrenocorticism. Vet Radiol Ultrasound 2015;56(5):540-548.
  5. Etue SM, Penninck DG, Labato MA, et al. Ultrasonography of the normal feline pancreas and associated anatomic landmarks: a prospective study of 20 cats. Vet Radiol Ultrasound 2001;42(4):330-336.
  6. Larson MM, Panciera DL, Ward DL, et al. Age-related changes in the ultrasound appearance of the normal feline pancreas. Vet Radiol Ultrasound 2005;46(3):238-242.
  7. Mai W, Cáceres AV. Dual-phase computed tomographic angiography in three dogs with pancreatic insulinoma. Vet Radiol Ultrasound 2008;49(2):141-148.

Condividi sui social media