HomeVeterinariaMalattia di Legg-Calvé-Perthes nei cani

Malattia di Legg-Calvé-Perthes nei cani

Scritto da Darryl L. Millis

 

La necrosi avascolare della testa femorale, più spesso nota come malattia di Legg-Calvé-Perthes, è un problema comune nelle razze canine di taglia piccola. Il Professor Millis presenta una panoramica della malattia e delle opzioni preferite disponibili per il trattamento della condizione.

Reading time5 - 15 min
Malattia di Legg-Calvé-Perthes nei cani

Punti Chiave

Group 15 1

La malattia di Legg-Calvé-Perthes è una condizione degenerativa della testa e del collo del femore che causa il collasso di queste strutture, accompagnato da osteoartrite secondaria, dolore e zoppia.

Group 15 2

La condizione colpisce le razze canine toy e miniatura di meno di un anno di età.

Group 15 3

Il trattamento coinvolge generalmente l’escissione della testa e del collo femorali, anche se una possibile alternativa è l’artroprotesi d’anca.

Group 15 4

Il trattamento postoperatorio del dolore e la riabilitazione fisica sono la chiave per recuperare l’uso dell’arto.

Introduzione

La malattia di Legg-Calvé-Perthes è una condizione dell’articolazione dell’anca osservata nelle razze canine di taglia piccola. Chiamata anche spesso necrosi asettica della testa femorale, è una necrosi non infiammatoria, avascolare, della testa femorale che colpisce i cani giovani, generalmente di 5-8 mesi di età. La necrosi ossea causa il collasso della testa e del collo femorali, con conseguente deformità, dolore e osteoartrite secondaria. Il trattamento è generalmente costituito dalla chirurgia che, se accompagnata da un valido trattamento del dolore postoperatorio e dalla riabilitazione fisica, può produrre un esito soddisfacente.

Qual è la fisiopatologia sottostante la Legg-Calvé-Perthes?

È stato suggerito che l’ischemia della testa e del collo femorali derivi dalla compromissione vascolare, verosimilmente della capsula articolare che fornisce l’apporto ematico all’epifisi femorale. Di conseguenza, si ha la necrosi della testa e del collo femorali. Il carico naturale causa microfratture delle trabecole necrotiche, esitando infine nel collasso delle strutture ossee [1]. Anche la cartilagine articolare si deforma e potrebbe persino sbriciolarsi, assumendo una superficie irregolare. Di conseguenza, il cane sente dolore, soprattutto all’estensione dell’anca. Esiste anche una zoppia significativa, che spinge spesso il cane a trascinare l’arto affetto.

La malattia è solitamente attiva da tempo prima che il proprie-tario ne osservi i segni clinici; uno studio su cuccioli allevati da genitori con predisposizione nota per la Legg-Calvé-Perthes ha segnalato alterazioni radiografiche nei femori interessati, due o tre settimane prima dell’esordio della zoppia e dell’atro-fia muscolare [2]. Alla fine, le aree necrotiche guariscono con formazione di osso nuovo, ma lasciando una deformità significativa. A causa dell’incongruenza articolare, l’intera articolazione va incontro a degenerazione e osteoartrite. Altre cause potenziali della Legg-Calvé-Perthes includono un eccesso di ormoni sessuali e alterazioni nella conformazione anatomica [3] [4], ma la fisiopatologia della malattia non è ancora pienamente compresa. Uno studio ha valutato le alterazioni strutturali nella testa femorale utilizzando la microtomografia computerizzata (micro-TC) [5] e ha segnalato un risultato inaspettato che contraddiceva quanto si sapeva della Legg-Calvé-Perthes. Invece di osservare un ispessimento delle trabecole ossee causato dalla stratificazione di nuova matrice ossea sulla sommità delle trabecole necrotiche, hanno registrato un aumento nella conta trabecolare e la diminuzione dello spessore trabecolare. Gli autori hanno concluso che la rigenerazione trabecolare è più importante o prevalente rispetto ai processi di stratificazione tradizionalmente descritti nei processi di rivascolarizzazione e riparazione associati a questa condizione.

Dato che la maggior parte dei cani affetti da Legg-Calvé-Perthes è costituita da cani di taglia piccola, si potrebbe sospettare una base genetica. Un accoppiamento di prova tra due Manchester terrier affetti da Legg-Calvé-Perthes ha prodotto tre maschi affetti e due femmine non affette; l’analisi dei pedigree e l’accoppiamento di prova suggeriscono che questa malattia sia una condizione ereditaria con ereditarietà elevata [2]. Un’altra analisi dei pedigree di cani affetti ha sug-gerito che la Legg-Calvé-Perthes sia causata da un gene recessivo autosomico omozigote [6], ma potrebbe trattarsi di una semplificazione eccessiva. Il meccanismo genetico potrebbe essere più complesso perché è difficile conciliare un’anomalia scheletrica confinata alla testa femorale con un singolo effetto genetico maggiore [6]. Uno studio ha valutato il DNA genomico per una mutazione genetica. Gli studi sulla Legg-Calvé-Perthes nell’uomo hanno indicato una mutazione nel gene COL2A1, e poiché la Legg-Calvé-Perthes canina è simile a quella umana, COL2A1 è stato studiato come gene candidato per la Legg-Calvé-Perthes nei West Highland White terrier. Tuttavia, il sequenziamento di COL2A1 non è stato associato alla Legg-Calvé-Perthes nei cani affetti [7].

Quali razze canine sono colpite più spesso?

Data la probabile base genetica per la Legg-Calvé-Perthes, si può prevedere una predisposizione in determinate razze. Cani da pastore australiani, Cairn terrier, Chihuahua, Bassotto, Lhasa Apso, Carlino, Yorkshire terrier, West Highland White terrier, Barbone miniatura, Barbone toy e Pinscher miniatura sono le razze identificate come maggiormente a rischio per una diagnosi di Legg-Calvé-Perthes [8] [9]. Maschi e femmine sono ugualmente colpiti, e in alcuni cani (12-16,5%) la condizione potrebbe essere presente in entrambi gli arti pelvici [1] [3].

Quali sono i segni clinici osservati nella Legg-Calvé-Perthes?

I segni clinici più comuni osservati nella Legg-Calvé-Perthes sono generalmente dovuti al dolore. Inizialmente, i cani affetti possono essere irritabili ed evitare di saltare, in particolare su divani e poltrone. Potrebbero anche evitare di salire le scale. Mentre la condizione progredisce, il dolore potrebbe essere suscitato dall’estensione e l’abduzione dell’articolazione dell’anca. La zoppia progredisce generalmente da appena percepibile a carico naturale completamente assente. L’atrofia dei muscoli sul lato colpito viene generalmente osservata entro due settimane dall’esordio.

Quali sono i segni più comuni all’imaging diagnostico?

Anche se i riscontri dell’esame clinico, unitamente al classico segnalamento, sono fortemente suggestivi della Legg-Calvé-Perthes, si eseguono solitamente radiografie come evidenza di supporto a questa condizione. Inizialmente, possono essere presenti aree di lisi e demineralizzazione nella regione subcondrale della testa e del collo femorali (Figura 1). Mentre la condizione progredisce, può apparire un evidente collasso della testa e del collo femorali (Figura 2). Più avanti nel decorso della malattia, può essere presente un’evidenza di rimineralizzazione e guarigione dell’osso. Possono essere osservate alterazioni osteoartritiche secondarie, tra cui la formazione di osteofiti (in particolare lungo la rima acetabolare dorsale e la testa femorale) e l’appiattimento della testa femorale.

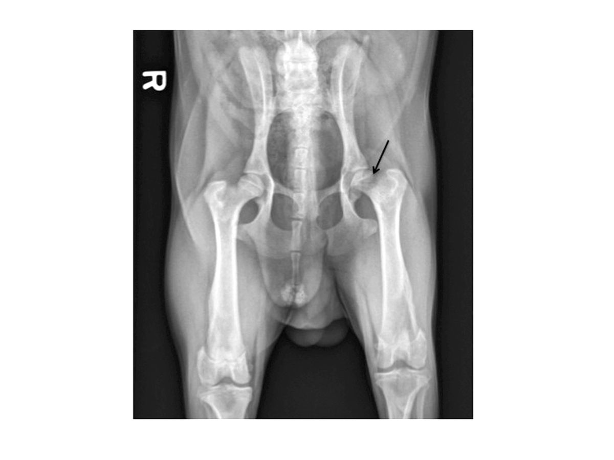
Radiografia di un cane che mostra le tipiche alterazioni iniziali della Legg-Calvé-Perthes. La freccia indica le aree di demineralizzazione precoce.
Figura 1. Radiografia di un cane che mostra le tipiche alterazioni iniziali della Legg-Calvé-Perthes. La freccia indica le aree di demineralizzazione precoce.© Darryl L. Millis
Questa radiografia dimostra le alterazioni moderate osservate con la Legg-Calvé-Perthes. La freccia indica una significativa perdita ossea subcondrale e del collo femorale, con rimodellamento della testa femorale.
Figura 2. Questa radiografia dimostra le alterazioni moderate osservate con la Legg-Calvé-Perthes. La freccia indica una significativa perdita ossea subcondrale e del collo femorale, con rimodellamento della testa femorale.© Darryl L. Millis
Le alterazioni radiografiche sono state classificate in base alla loro gravità durante la progressione della malattia, come indicato nella Tabella 1.

 

Grado 1 Il primo segnale radiografico che appare è uno spazio articolare allargato; all’inizio del decorso della malattia, si possono anche osservare aree a densità ridotta, sia nell’epifisi femorale prossimale che nella metafisi.
Gradi 2/3 Con la progressione della malattia, diventano evidenti l’appiattimento e l’irregolarità della testa femorale; aree più numerose di opacità ridotta possono produrre un aspetto litico della testa e del collo femorali.
Grado 4 Un livello più accentuato di appiattimento e irregolarità della testa e del collo femorali, causato dal collasso e dal rimodellamento dell’osso colpito, potrebbero portare ad allargamento e sublussazione dello spazio articolare coxofemorale.
Grado 5 Nelle fasi avanzate si può verificare la frammentazione della testa femorale con discontinuità della superficie articolare.
Tabella 1. Categorizzazione delle alterazioni radiografiche nella Legg-Calvé-Perthes ( 3 ).

 

Per valutare i cani con Legg-Calvé-Perthes è stata utilizzata sperimentalmente anche la risonanza magnetica (RM) che è generalmente capace di rilevare le alterazioni in anticipo rispetto alla radiografia convenzionale [10]. Tuttavia, l’utilità clinica della RM nei cani affetti è discutibile, poiché la maggior parte dei cani non presenta segni clinici (e quindi non viene portata dal veterinario) finché non è presente una malattia ossea da moderata a grave, nel qual caso appaiono le alterazioni radiografiche. In alcuni casi, la RM può essere utile per valutare i cani con rischio elevato di sviluppare la Legg-Calvé-Perthes come risultato di un’influenza genetica.

Qual è il trattamento preferito per la Legg-Calvé-Perthes?

Generalmente, la Legg-Calvé-Perthes è una condizione gestita chirurgicamente perché la malattia tende a escludere il riconoscimento clinico da parte del proprietario e le alterazioni ossee sono solitamente troppo avanzate perché il trattamento medico abbia successo. Tuttavia, se la condizione viene riconosciuta molto presto, il trattamento medico della Legg-Calvé-Perthes è possibile. In un caso segnalato, la Legg-Calvé-Perthes è stata diagnosticata in uno Schipperke di 5 mesi, prima dello sviluppo del collasso della testa e del collo femorali [11]. Per evitare il carico naturale durante la rivascolarizzazione e la reossificazione dell’osso subcondrale è stata utilizzata una fasciatura a fionda di Ehmer. Le radiografie eseguite a 10 e 24 settimane hanno indicato che tale trattamento conservativo era riuscito a trattare la Legg- Calvé-Perthes e conservare la funzione articolare. Un autore ha suggerito che, se i risultati non sono soddisfacenti, potrebbe essere utile intraprendere un breve periodo di trattamento conservativo seguito dalla chirurgia [4]. Tuttavia, occorre fare attenzione con questo approccio; se l’intervento chirurgico viene ritardato troppo, possono verificarsi alterazioni secondarie (come l’atrofia muscolare), che potrebbero essere difficili da invertire.

In quasi tutti i casi, deformità ossee e osteoartrite irreversi-bili si erano già verificate all’epoca della diagnosi clinica e in questi cani l’intervento chirurgico produce verosimilmente l’esito funzionale migliore. La maggior parte dei casi viene trattata con l’osteotomia della testa e del collo femorali.

Escissione della testa e del collo femorali. La freccia nera indica la regione dell’acetabolo craniale (l’area bianca sotto la freccia è la cartilagine articolare dell’acetabolo. Il tessuto indicato dalla punta della freccia è il restante legamento della testa femorale). La parentesi graffa indica il femore dopo l’osteotomia e la rimozione della testa e del collo femorali. L’osteotomia corre dall’aspetto mediale del trocantere maggiore al trocantere minore.
Figura 3. Escissione della testa e del collo femorali. La freccia nera indica la regione dell’acetabolo craniale (l’area bianca sotto la freccia è la cartilagine articolare dell’acetabolo. Il tessuto indicato dalla punta della freccia è il restante legamento della testa femorale). La parentesi graffa indica il femore dopo l’osteotomia e la rimozione della testa e del collo femorali. L’osteotomia corre dall’aspetto mediale del trocantere maggiore al trocantere minore.© Darryl L. Millis
Chiusura della capsula articolare dorsale dell’acetabolo (freccia bianca) alla capsula articolare ventrale (freccia nera). La capsula fornirà i tessuti molli tra l’acetabolo e l’osteotomia femorale, indicata dalla parentesi graffa.
Figura 4. Chiusura della capsula articolare dorsale dell’acetabolo (freccia bianca) alla capsula articolare ventrale (freccia nera). La capsula fornirà i tessuti molli tra l’acetabolo e l’osteotomia femorale, indicata dalla parentesi graffa.© Darryl L. Millis

Per ottenere ottimi risultati con l’osteotomia della testa e del collo femorali, è fondamentale che la chirurgia sia eseguita correttamente. Si esegue un approccio craniolaterale all’articolazione coxofemorale e si espone la capsula articolare. Si effettua quindi un’artrotomia incidendo la capsula articolare appena sopra la sua inserzione sul collo femorale. Il legamento rotondo viene tagliato e la testa femorale ruotata esternamente. Per elevare la testa femorale dall’acetabolo proteggere il nervo sciatico, che corre appena caudalmente al collo femorale, si può utilizzare uno strumento idoneo, ad esempio un uncino da ovariectomia. Per eseguire l’osteotomia si può utilizzare una piccola sega elettrica, una sega a filo di Gigli o un osteotomo con mazzuolo; in alcuni casi l’osso può essere molto morbido o addirittura fratturato e in questo caso si può utilizzare una pinza ossivora per rimuovere la testa femorale residua. Per tenere conto dell’antiversione della testa e del collo femorali, il femore deve essere adeguatamente ruotato verso l’esterno. Questo può essere realizzato appoggiando la punta del garretto (tuberosità calcaneare) contro la parete toracica laterale. L’osteotomia viene eseguita dalla base del trocan-tere maggiore fino al trocantere minore (Figura 3). Dopo la rimozione della testa e del collo femorali, l’area va palpata alla ricerca di eventuali frammenti ossei residui taglienti, tipi-camente sull’aspetto caudomediale del femore osteo- tomizzato. Se identificati, gli speroni ossei possono essere rimossi con pinze ossivore e l’area può quindi essere lisciata con una raspa. L’area deve essere lavata abbondantemente per rimuovere eventuali residui di frammenti o polvere ossea. La pseudoartrosi viene eseguita dopo aver testato l’intera gamma di movimenti per accertare che non vi sia un contatto osso su osso significativo. La capsula articolare che origina dalla rima dorsale dell’acetabolo può essere quindi suturata sull’aspetto ventrale dell’acetabolo per aggiungere l’interposizione dei tessuti molli tra l’acetabolo e il femore rimanente (Figura 4). Si racco-manda l’esecuzione di radiografie postoperatorie per confermare la completa rimozione della testa e del collo femorali (Figura 5).

Recentemente, con l’avanzamento e il 

Recentemente, con l’avanzamento e il miglioramento degli impianti per l’artroprotesi d’anca, è stata eseguita una micro-artroprotesi d’anca su alcuni cani con Legg-Calvé-Perthes, ma una discussione completa su questa opzione esula dal campo d’applicazione di questo articolo. È tuttavia importante sotto-lineare che, sebbene siano stati ottenuti ottimi risultati con un sistema di microartroprotesi d’anca [12], l’utilizzo di un nanosistema ha comportato un tasso di complicanze del 33% [13].

Come viene trattata la Legg-Calvé-Perthes nel postoperatorio?

Le cure postoperatorie dopo l’osteotomia della testa e del collo femorali sono fondamentali per il successo dell’inter-vento [14]. In realtà, le cure postoperatorie iniziano con la gestione preventiva del dolore. La maggior parte dei cani riceve già un farmaco antinfiammatorio non steroideo (FANS) prima della chirurgia; per ridurre il rischio di eventi avversi è meglio utilizzare un inibitore selettivo della COX-2. Inoltre, la somministrazione di analgesici oppioidi, l’epidurale, un’eccellente analgesia postoperatoria, ad esempio con medicinali in infusione a velocità costante, contribuisce a mantenere il comfort del paziente. Per integrare il FANS nel postoperatorio si potrebbe anche aggiungere il gabapentin. Nel periodo postoperatorio può essere talvolta utile la somministrazione di oppioidi orali, come ad esempio la codeina.

La riabilitazione può iniziare subito dopo la chirurgia, cioè mentre il paziente sta ancora riprendendosi dall’anestesia. L’articolazione viene riattivata attraverso una gamma di movimenti lenti e continui finché il paziente non inizia a risvegliarsi. Se il cane non è ipotermico a causa dell’anestesia, si può applicare all’area un impacco freddo per contribuire a ridurre l’infiammazione, la tumefazione e il dolore. Se il paziente è ipotermico, la crioterapia può essere istituita dopo che il cane ha riottenuto una temperatura corporea interna adeguata.

La mattina dopo la chirurgia, prima dell’inizio della riabi litazione si somministrano gli analgesici. La crioterapia può essere applicata per 15-20 minuti sulla sede chirurgica. Allo stesso tempo, è anche possibile utilizzare la stimolazione elettrica nervosa transcutanea (TENS) come ulteriore controllo del dolore; l’autore preferisce applicare quattro elettrodi con un pattern a croce con corrente interferenziale per fornire una valida analgesia. Dopo la crioterapia, la pseudoartrosi viene delicatamente flessa ed estesa per 20 volte. Anche un laser terapeutico potrebbe contribuire a ridurre la tumefazione e controllare il dolore. Spostare il peso mentre il cane è in piedi aiuta a stimolare l’appoggio corretto dell’arto operato. La passeggiata assistita con un’imbracatura posta sotto l’addome aiuta a stimolare il movimento dell’arto e il carico naturale. Se l’arto è tenuto in posizione fortemente flessa, è necessario somministrare un medicinale analgesico supplementare. I cani che sono relativamente a proprio agio trascineranno l’arto tenendolo vicino al suolo, in modo che le dita tocchino quasi il pavimento. Quando si raggiunge questo punto, inizia spesso il carico naturale, soprattutto dopo gli esercizi di spostamento del peso. Crioterapia, gamma di movimenti, spostamento del peso e passeggiata assistita con imbracatura possono essere eseguiti 3-4 volte al giorno finché non inizia il carico naturale iniziale, tipicamente 3-5 giorni dopo l’intervento.

È importante cercare di recuperare la gamma di movimenti massima possibile della pseudoartrosi nelle prime due settimane, in particolare l’estensione. Se la gamma di movimenti è limitata, l’applicazione di un impacco caldo per 15-20 minuti prima della fisioterapia può favorire l’estensibilità del tessuto; si noti che gli impacchi caldi non devono essere utilizzati nelle prime 72 ore dopo la chirurgia perché potrebbero aumentare l’infiammazione. Lo stretching della pseudoartrosi può essere anche effettuato tenendo bloccata l’articolazione all’estremità della gamma di movimenti per 15 secondi, mantenendo al tempo stesso una certa tensione durante l’allungamento e ripetendo l’operazione 10-15 volte per sessione, con tre sessioni al giorno. Altre attività utili nelle prime 2-3 settimane del postoperatorio sono le passeggiate su tapis roulant a pavimento e gli esercizi di bilanciamento su un disco o cuscino gonfiato. Non appena il paziente migliora, altre attività come passeggiate su piani inclinati, esercizi di passaggio dalla posizione seduta a quella quadrupedale, passeggiate su tapis roulant subacqueo, nuoto, passeggiate su scalette e jogging aiutano migliorare l’uso dell’arto e la massa muscolare. Per i pazienti che non utilizzano bene l’arto dopo 10-14 giorni, si può applicare un materiale fastidioso sotto la zampa dell’arto controlaterale, come ad esempio un tappo di bottiglia o un cappuccio di siringa; questo può contribuire a incoraggiare il carico naturale sull’arto operato. Un peso per arti leggero fissato all’arto colpito può contribuire a rafforzare i muscoli flessori. La consultazione con un esperto in riabilitazione canina può essere utile per ulteriori indicazioni.

Qual è la prognosi della Legg-Calvé-Perthes?

La prognosi dopo la diagnosi e il trattamento dei cani affetti da Legg-Calvé-Perthes è generalmente buona. Vale la pena di ricordare che occorre accertare l’assenza di altre condizioni ortopediche, come ad esempio lussazioni rotulee, che potrebbero compromettere l’uso dell’arto affetto. La Tabella 2 offre al lettore una breve serie di diagnosi differenziali relativa alle condizioni ortopediche dell’arto pelvico dei cani di taglia piccola. Di solito, i cani di taglia piccola si riprendono abastanza bene dopo l’osteotomia della testa e del collo femorali e la riabilitazione. Uno studio retrospettivo [4] ha valutato il trattamento conservativo (fisioterapia) e il trattamento chirurgico (osteotomia della testa e del collo femorali) in cani con Legg-Calvé-Perthes, concludendo che l’osteotomia della testa e del collo femorali è indicata quando il trattamento conservativo non produce miglioramenti clinici entro quattro settimane. L’osteotomia della testa e del collo femorali ha una prognosi a lungo termine buona, anche se può persistere una zoppia intermittente. Analogamente, è prevedibile che anche i cani con artroprotesi d’anca si riprendano bene. Data la probabilità di una componente genetica, non è raccomandata la riproduzione degli individui affetti e può essere opportuno considerare la sterilizzazione degli animali affetti.

Radiografia postoperatoria dopo l’osteotomia della testa e del collo femorali. La linea dell’osteotomia corre dall’aspetto mediale del trocantere maggiore al trocantere minore per minimizzare il contatto osso su osso.
Figura 5. Radiografia postoperatoria dopo l’osteotomia della testa e del collo femorali. La linea dell’osteotomia corre dall’aspetto mediale del trocantere maggiore al trocantere minore per minimizzare il contatto osso su osso.© Darryl L. Millis

Per valutare i cani con Legg-Calvé-Perthes è stata utilizzata sperimentalmente anche la risonanza magnetica (RM) che è generalmente capace di rilevare le alterazioni in anticipo rispetto alla radiografia convenzionale [10]. Tuttavia, l’utilità clinica della RM nei cani affetti è discutibile, poiché la maggior parte dei cani non presenta segni clinici (e quindi non viene portata dal veterinario) finché non è presente una malattia ossea da moderata a grave, nel qual caso appaiono le alterazioni radiografiche. In alcuni casi, la RM può essere utile per valutare i cani con rischio elevato di sviluppare la Legg-Calvé-Perthes come risultato di un’influenza genetica.

Qual è il trattamento preferito per la Legg-Calvé-Perthes?

Generalmente, la Legg-Calvé-Perthes è una condizione gestita chirurgicamente perché la malattia tende a escludere il riconoscimento clinico da parte del proprietario e le alterazioni ossee sono solitamente troppo avanzate perché il trattamento medico abbia successo. Tuttavia, se la condizione viene riconosciuta molto presto, il trattamento medico della Legg-Calvé-Perthes è possibile. In un caso segnalato, la Legg-Calvé-Perthes è stata diagnosticata in uno Schipperke di 5 mesi, prima dello sviluppo del collasso della testa e del collo femorali [11]. Per evitare il carico naturale durante la rivascolarizzazione e la reossificazione dell’osso subcondrale è stata utilizzata una fasciatura a fionda di Ehmer. Le radiografie eseguite a 10 e 24 settimane hanno indicato che tale trattamento conservativo era riuscito a trattare la Legg- Calvé-Perthes e conservare la funzione articolare. Un autore ha suggerito che, se i risultati non sono soddisfacenti, potrebbe essere utile intraprendere un breve periodo di trattamento conservativo seguito dalla chirurgia [4]. Tuttavia, occorre fare attenzione con questo approccio; se l’intervento chirurgico viene ritardato troppo, possono verificarsi alterazioni secondarie (come l’atrofia muscolare), che potrebbero essere difficili da invertire.

In quasi tutti i casi, deformità ossee e osteoartrite irreversi-bili si erano già verificate all’epoca della diagnosi clinica e in questi cani l’intervento chirurgico produce verosimilmente l’esito funzionale migliore. La maggior parte dei casi viene trattata con l’osteotomia della testa e del collo femorali.

Pelvi
Neoplasia
Trauma/fratture
Articolazione coxofemorale Displasia dell’anca
Malattia di Legg-Calvé-Perthes (comune)
Lussazione dell’anca (anamnesi traumatica)
Distorsione del muscolo/tendine ileopsoas
Osteocondrite disseccante della testa femorale (improbabile)
Trauma/fratture (anamnesi traumatica)
Femore Panosteite (improbabile)
Osteosarcoma (improbabile)
Trauma/fratture (anamnesi traumatica)
Articolazione del ginocchio Rottura del legamento crociato craniale (improbabile in un cane giovane)
Lesione del menisco mediale (improbabile in un cane giovane)
Rottura del legamento crociato caudale (improbabile)
Danno del legamento collaterale (anamnesi traumatica)
Disturbo dell’articolazione del ginocchio (anamnesi traumatica)
Lussazione rotulea (lussazione mediale più comune della lussazione laterale)
Osteocondrite disseccante del condilo femorale laterale (improbabile)
Trauma/fratture (anamnesi traumatica) Lacerazione/strappo del tendine dell’estensore lungo delle dita (improbabile)
Tibia Panosteite (improbabile)
Osteosarcoma (improbabile)
Trauma/fratture (anamnesi traumatica)
Articolazione del tarso Osteocondrite disseccante delle creste trocleari per il talo (improbabile)
Lesioni del tendine calcaneale (improbabili salvo in caso di traumi)
Lussazione del tendine del flessore superficiale delle dita dalla tuberosità calcaneare (improbabile)
Lesioni da slittamento/danno del legamento collaterale (anamnesi traumatica)
Trauma/fratture (anamnesi traumatica)
Dita e ossa metatarsali Lussazioni articolari (anamnesi traumatica)
Lacerazioni/lesioni tendinee e legamentose (anamnesi traumatica)
Osteopatia ipertrofica (improbabile)
Trauma/fratture (anamnesi traumatica)
Lesioni da slittamento (anamnesi traumatica)
Cause nutrizionali e metaboliche di zoppia Sovralimentazione (comune)
Iperparatiroidismo secondario nutrizionale o renale
Neoplasia diversa dall’osteosarcoma (non comune)
Considerazioni neurologiche

Instabilità lombosacrale (improbabile)
Lesioni del midollo spinale:

  • Discopatia intervertebrale toracolombare (comune)
  • Neoplasia del midollo spinale (improbabile)
  • Mielopatia degenerativa (improbabile)

Trauma spinale (anamnesi traumatica)

Tabella 2. Diagnosi differenziali delle condizioni ortopediche dell’arto pelvico nei cani di taglia piccola.

In conclusione, la diagnosi della malattia di Legg-Calvé-Perthes è generalmente semplice nei giovani delle razze canine toy e miniatura che mostrano dolore all’anca, atrofia muscolare e zoppia da moderata a grave. La gestione chirurgica è anche generalmente chiara, ma occorre sottolineare che una valida assistenza postoperatoria può fare una differenza significativa nel recupero, così come nell’uso finale dell’arto.

Darryl L. Millis

Darryl L. Millis

University of Tennessee College of Veterinary Medicine, Knoxville, TN, Stati Uniti

Stati Uniti d'America

Il Dr. Millis è docente di Chirurgia ortopedica e direttore del centro di Veterinary Sports Medicine presso l’University of Tennessee College of Veterinary Medicine. Titolare dei diplomi dell’American College of Veterinary Surgeons e dell’American College of Veterinary Sports Medicine and Rehabilitation, il Dr. Millis è stato autore o editore di numerose pubblicazioni, tra cui i libri di testo Small Animal Physical Therapy and Rehabilitation ed Essential Facts of Physiotherapy. Nel 2006 ha vinto il WSAVA Iams Paatsama Award.

Riferimenti
  1. Lee R. A study of the radiographic and histological changes occurring in Legg-Calvé-Perthes Disease (LCP) in the dog. J Small Anim Pract 1970;11:621-638.
  2. Vasseur PB, Foley P, Stevenson S, et al. Mode of inheritance of Perthes’ disease in Manchester terriers. Clin Orthop Relat Res 1989;244:281-292.
  3. Ljunggren, G. Legg-Perthes disease in the dog. Acta Orthop Scand 1967;95(Suppl):22-26.
  4. Piek CJ, Hazewinkel HAW, Wolvekamp WTC, et al. Long-term follow-up of avascular necrosis of the femoral head in the dog. J Small Anim Pract 1996;37:12-18.
  5. Scherzer C, Windhagen H, Nellesen J, et al. Comparative structural analysis of the canine femoral head in Legg-Calvé-Perthes Disease. Vet Radiol Ultrasound 2009;50:404-411.
  6. Pidduck H, Webbon PM. The genetic control of Perthes’ disease in toy poodles — a working hypothesis. J Small Anim Pract 1978;19:729-733.
  7. Starr-Moss AN, Nowend KL, Alling KM, et al. Exclusion of COL2A1 in canine Legg-Calvé-Perthes disease. Animal Genetics 2011;43:112-113.
  8. LaFond E, Breur GJ, Austin CC. Breed susceptibility for developmental orthopedic diseases in dogs. J Am Anim Hosp Assoc 2002;38:467-477.
  9. Robinson R. Legg-Calvé-Perthes disease in dogs: genetic aetiology. J Small Anim Pract 1992;33:275-276.
  10. Bowlus RA, Armbrust LJ, Biller DS, et al. Magnetic resonance imaging of the femoral head of normal dogs and dogs with avascular necrosis. Vet Radiol Ultrasound 2008;49:7-12.
  11. Gibson KL, Lewis DD, Pechman RD. Use of external co-aptation for the treatment of avascular necrosis of the femoral head in a dog. J Am Vet Med Assoc 1990;197:868-870.
  12. Jankovits DA, Liska WD, Russell H, et al. Treatment of avascular necrosis of the femoral head in small dogs with micro total hip replacement. Vet Surg 2012;41:143-147.
  13. Ireifej S, Marino D, Loughin C. Nano total hip replacement in 12 dogs. Vet Surg 2012;41:130-135.
  14. Millis DL, Levine D. Canine Physical Therapy and Rehabilitation. Philadelphia: Elsevier Saunders 2013; Appendix 1, 703-706.

Condividi sui social media